| UNIPROT | Q14790 |
Anti-CASP8 Antibody (R3T33) (RHG90203)
Реактивность подтвержденная:
человек, мышь, крыса, обезьяна
Источник (хозяин):
мышь
Валидировано для:
ELISA
FCM
IHC
WB
Характеристики
Техническое описание
| Русское название | RHG90203 Моноклональное антитело к CASP8 (R3T33) <AntibodySystem,Китай> |
| Каталожный номер | RHG90203 |
| Название антигена | Caspase 8 (CASP8) |
| UNIPROT | Q14790 |
| Английские синонимы | CAP4, FLICE, MACH, MCH5, Cysteinyl Aspartate Specific Proteinases 8, Apoptotic cysteine protease, FADD-homologous ICE/ced-3-like protease, MORT1-associated ced-3 homolog, CASP-8, Caspase-8 |
| Русские синонимы | каспаза-8 |
Реактивность подтвержденная Нужна другая реактивность? |
человек, мышь, крыса, обезьяна |
| Источник (хозяин) | мышь |
| Изотип | IgG1 |
| Клональность | моноклональное |
| Клон | R3T33 |
| Рекомбинантное | да |
| Готовое к использованию | нет |
| Концентрация | 1 мг/мл |
| Конъюгат | нет |
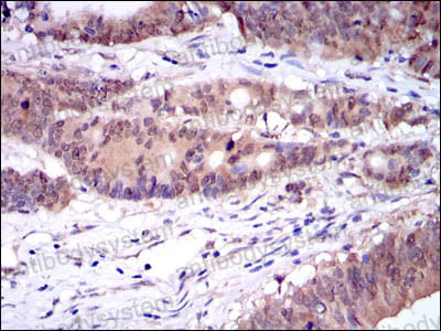
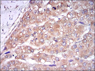
| Валидировано для | ELISA FCM IHC WB Иммуноферментный анализ; Проточная цитометрия; Иммуногистохимия; Вестерн-блоттинг |
| Рекомендуемые разведения | ELISA: 1:10000, FCM: 1:200-1:400, IHC: 1:200-1:1000, WB: 1:500-1:2000 |
| Метод очистки | Очистка с белками A/G из супернатанта клеточной культуры |
| Чистота | >95% |
| Состав буфера | 0.01M PBS, pH 7.4, 0.05% натрия азид |
| Условия хранения | Хранить при 4°C не более 1-2 недель. Хранить при -20°C - 12 месяцев |
| Срок хранения | 12 месяцев |
| Производитель | AntibodySystem |
| Ссылка на страницу товара на сайте производителя | https://www.antibodysystem.com/product/36397.html |
|
Артикул
|
Наименование |
Производитель
|
|---|
|
Артикул
|
Наименование |
Производитель
|
|---|
|
Артикул
|
Наименование |
Производитель
|
|---|
|
Артикул
|
Наименование |
Производитель
|
|---|
|
Артикул
|
Наименование |
Производитель
|
|---|
|
Артикул
|
Наименование |
Производитель
|
|---|
|
Артикул
|
Наименование |
Производитель
|
|---|
|
Артикул
|
Наименование |
Производитель
|
|---|
|
Артикул
|
Наименование |
Производитель
|
|---|
Акции и предложения
Популярные продукты:
Guinea Pig Occludin ELISA kit (E05O0009)
Организм: морская свинка
Porcine Caspase 8 ELISA kit (E07C0095)
Организм: свинья
Guinea Pig Caspase 8 ELISA kit (E05C0095)
Организм: морская свинка
Recombinant Human UROD Protein (His Tag) (PKSH033199)
Источник (хозяин): E.coli
Организм: человек
Фрагмент: Met 1-Asn367
Теги: N-His
Биоактивность: нет
Организм: человек
Фрагмент: Met 1-Asn367
Теги: N-His
Биоактивность: нет
Recombinant Human PBEF/NAMPT Protein (His Tag) (PDEH100673)
Источник (хозяин): E.coli
Организм: человек
Фрагмент: Met1-His491
Теги: N-His
Биоактивность: нет
Организм: человек
Фрагмент: Met1-His491
Теги: N-His
Биоактивность: нет

