| UNIPROT | P51636 |
Anti-CAV2 Antibody (R3M56) (RHE84303)
Реактивность подтвержденная:
человек
Источник (хозяин):
мышь
Валидировано для:
ELISA
FCM
IHC
WB
Характеристики
Техническое описание
| Русское название | RHE84303 Моноклональное антитело к CAV2 (R3M56) <AntibodySystem,Китай> |
| Каталожный номер | RHE84303 |
| Название антигена | Caveolin 2 (CAV2) |
| UNIPROT | P51636 |
Реактивность подтвержденная Нужна другая реактивность? |
человек |
| Источник (хозяин) | мышь |
| Изотип | IgG1 |
| Клональность | моноклональное |
| Клон | R3M56 |
| Рекомбинантное | да |
| Готовое к использованию | нет |
| Концентрация | 1 мг/мл |
| Конъюгат | нет |
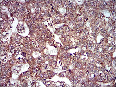
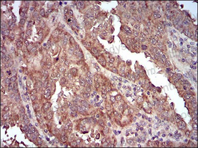
| Валидировано для | ELISA FCM IHC WB Иммуноферментный анализ; Проточная цитометрия; Иммуногистохимия; Вестерн-блоттинг |
| Рекомендуемые разведения | ELISA: 1:10000, FCM: 1:200-1:400, IHC: 1:200-1:1000, WB: 1:500-1:2000 |
| Метод очистки | Очистка с белками A/G из супернатанта клеточной культуры |
| Чистота | >95% |
| Состав буфера | 0.01M PBS, pH 7.4, 0.05% натрия азид |
| Условия хранения | Хранить при 4°C не более 1-2 недель. Хранить при -20°C - 12 месяцев |
| Срок хранения | 12 месяцев |
| Производитель | AntibodySystem |
| Ссылка на страницу товара на сайте производителя | https://www.antibodysystem.com/product/35827.html |
|
Артикул
|
Наименование |
Производитель
|
|---|
|
Артикул
|
Наименование |
Производитель
|
|---|
|
Артикул
|
Наименование |
Производитель
|
|---|
|
Артикул
|
Наименование |
Производитель
|
|---|
Акции и предложения
Популярные продукты:
ELISA Kit for Pituitary Tumor Transforming 1 (PTTG1) (SEC739Hu)
Организм: человек
Диапазон определения: 0.156-10 нг/мл
Чувствительность: 0.057 нг/мл
Диапазон определения: 0.156-10 нг/мл
Чувствительность: 0.057 нг/мл
Human Carbohyde sulfotransferase 1(CHST1) ELISA kit (E01C1703)
Организм: человек
Диапазон определения: 250-5000 пг/мл
Чувствительность: 1 пг/мл
Диапазон определения: 250-5000 пг/мл
Чувствительность: 1 пг/мл
Sheep β klotho(KLB) ELISA kit (E14B0942)
Организм: овца
Guinea Pig Arylsulfatase E(ARSE) ELISA kit (E05A1686)
Организм: морская свинка
Canine Reverse Tri iodothyronine ELISA kit (E08R0360)
Организм: собака
Bovine Very Low Density Lipoproteins ELISA kit (E11V0006)
Организм: корова
Диапазон определения: 1-25 нг/мл
Чувствительность: 0.1 нг/мл
Диапазон определения: 1-25 нг/мл
Чувствительность: 0.1 нг/мл

