| UNIPROT | Q9Y4X3 |
Anti-CCL27/CTACK Antibody (R3X69) (RHJ88602)
Реактивность подтвержденная:
человек
Источник (хозяин):
мышь
Валидировано для:
ELISA
FCM
IF
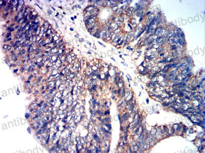
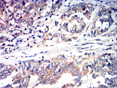
IHC
Характеристики
Техническое описание
| Русское название | RHJ88602 Моноклональное антитело к CCL27/CTACK (R3X69) <AntibodySystem,Китай> |
| Каталожный номер | RHJ88602 |
| Название антигена | Cutaneous T-Cell Attracting Chemokine (CTACK) |
| UNIPROT | Q9Y4X3 |
| Английские синонимы | CCL27, ILC, SCYA27, ALP, Skinkine, ESkine, PESKY, CTAK, Chemokine(C-C-Motif)ligand 27, Small Inducible Cytokine Subfamily A Member 27, IL-11 R-alpha-locus chemokine |
Реактивность подтвержденная Нужна другая реактивность? |
человек |
| Источник (хозяин) | мышь |
| Изотип | IgG1 |
| Клональность | моноклональное |
| Клон | R3X69 |
| Рекомбинантное | да |
| Готовое к использованию | нет |
| Концентрация | 1 мг/мл |
| Конъюгат | нет |
| Валидировано для | ELISA FCM IF IHC Иммуноферментный анализ; Проточная цитометрия; Иммунофлуоресценция; Иммуногистохимия |
| Рекомендуемые разведения | ELISA: 1:10000, FCM: 1:200-1:400, IF: 1:200-1:1000, IHC: 1:200-1:1000 |
| Метод очистки | Очистка с белками A/G из супернатанта клеточной культуры |
| Чистота | >95% |
| Состав буфера | 0.01M PBS, pH 7.4, 0.05% натрия азид |
| Условия хранения | Хранить при 4°C не более 1-2 недель. Хранить при -20°C - 12 месяцев |
| Срок хранения | 12 месяцев |
| Производитель | AntibodySystem |
| Ссылка на страницу товара на сайте производителя | https://www.antibodysystem.com/product/36829.html |
|
Артикул
|
Наименование |
Производитель
|
|---|
|
Артикул
|
Наименование |
Производитель
|
|---|
|
Артикул
|
Наименование |
Производитель
|
|---|
Акции и предложения
Популярные продукты:
ELISA Kit DIY Materials for Cystatin 1 (CST1) (KSJ330Hu01)
Организм: человек
Диапазон определения: 0.156-10 нг/мл
Чувствительность: 0.064 нг/мл
Диапазон определения: 0.156-10 нг/мл
Чувствительность: 0.064 нг/мл
ELISA Kit DIY Materials for Aldosterone (ALD) (KSA911Ge11)
Организм: для всех
Диапазон определения: 24.69-2000 пг/мл
Чувствительность: 9.41 пг/мл
Диапазон определения: 24.69-2000 пг/мл
Чувствительность: 9.41 пг/мл
ELISA Kit DIY Materials for Caspase 8 (CASP8) (KSA853Ra01)
Организм: крыса
Диапазон определения: 0.312-20 нг/мл
Чувствительность: 0.129 нг/мл
Диапазон определения: 0.312-20 нг/мл
Чувствительность: 0.129 нг/мл
ELISA Kit for Angiotensin II (AngII) (CEA005Ra)
Организм: крыса
Диапазон определения: 24.69-2000 пг/мл
Чувствительность: 9.17 пг/мл
Диапазон определения: 24.69-2000 пг/мл
Чувствительность: 9.17 пг/мл
Rabbit ADP ribosylation factor 6(ARF6) ELISA kit (E04A1025)
Организм: кролик
Rabbit ADP ribosylation factor 5(ARF5) ELISA kit (E04A1024)
Организм: кролик

