| UNIPROT | P24385 |
Anti-CCND1 Antibody (R3G54) (RHD62202)
Реактивность подтвержденная:
человек
Источник (хозяин):
мышь
Валидировано для:
ELISA
FCM
IF
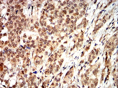
IHC
Характеристики
Техническое описание
| Русское название | RHD62202 Моноклональное антитело к CCND1 (R3G54) <AntibodySystem,Китай> |
| Каталожный номер | RHD62202 |
| Название антигена | Cyclin D1 (CCND1) |
| UNIPROT | P24385 |
| Английские синонимы | CCN-D1, BCL1, PRAD1, U21B31, G1/S-Specific Cyclin-D1, Parathyroid Adenomatosis 1, B-Cell CLL/Lymphoma 1, G1/S-Specific Cyclin D1, PRAD1 oncogene |
Реактивность подтвержденная Нужна другая реактивность? |
человек |
| Источник (хозяин) | мышь |
| Изотип | IgG1 |
| Клональность | моноклональное |
| Клон | R3G54 |
| Рекомбинантное | да |
| Готовое к использованию | нет |
| Концентрация | 1 мг/мл |
| Конъюгат | нет |
| Валидировано для | ELISA FCM IF IHC Иммуноферментный анализ; Проточная цитометрия; Иммунофлуоресценция; Иммуногистохимия |
| Рекомендуемые разведения | ELISA: 1:10000, FCM: 1:200-1:400, IF: 1:100-1:500, IHC: 1:200-1:1000 |
| Метод очистки | Очистка с белками A/G из супернатанта клеточной культуры |
| Чистота | >95% |
| Состав буфера | 0.01M PBS, pH 7.4, 0.05% натрия азид |
| Условия хранения | Хранить при 4°C не более 1-2 недель. Хранить при -20°C - 12 месяцев |
| Срок хранения | 12 месяцев |
| Производитель | AntibodySystem |
| Ссылка на страницу товара на сайте производителя | https://www.antibodysystem.com/product/35330.html |
|
Артикул
|
Наименование |
Производитель
|
|---|
|
Артикул
|
Наименование |
Производитель
|
|---|
|
Артикул
|
Наименование |
Производитель
|
|---|
|
Артикул
|
Наименование |
Производитель
|
|---|
|
Артикул
|
Наименование |
Производитель
|
|---|
|
Артикул
|
Наименование |
Производитель
|
|---|
|
Артикул
|
Наименование |
Производитель
|
|---|
Акции и предложения
Популярные продукты:
Anti-HIV-1 p24 Antibody (SAb2366) (RVV19306)
Источник (хозяин): мышь
Реактивность подтвержденная: вирусы
Валидировано для: CLIA, ELISA
Реактивность подтвержденная: вирусы
Валидировано для: CLIA, ELISA
Monkey A Disintegrin And Metalloprotease 19 ELISA kit (E09A0033)
Организм: обезьяна
Mouse Costimulatory molecules B7H4 ELISA kit (E03C0839)
Организм: мышь
Rabbit ATPase inhibitor, mitochondrial(ATPIF1) ELISA kit (E04A1764)
Организм: кролик
Canine Annexin A10(ANXA10) ELISA kit (E08A1542)
Организм: собака

