| UNIPROT | P16144 |
Anti-CD104/ITGB4 Antibody (R3E30) (RHD15402)
Реактивность подтвержденная:
человек
Источник (хозяин):
мышь
Валидировано для:
ELISA
FCM
IHC
Характеристики
Техническое описание
| Русское название | RHD15402 Моноклональное антитело к CD104/ITGB4 (R3E30) <AntibodySystem,Китай> |
| Каталожный номер | RHD15402 |
| Название антигена | Integrin Beta 4 (ITGb4) |
| UNIPROT | P16144 |
| Английские синонимы | CD104, CD 104, CD-104, ITG-B4, GP150 |
Реактивность подтвержденная Нужна другая реактивность? |
человек |
| Источник (хозяин) | мышь |
| Изотип | IgG1 |
| Клональность | моноклональное |
| Клон | R3E30 |
| Рекомбинантное | да |
| Готовое к использованию | нет |
| Концентрация | 1 мг/мл |
| Конъюгат | нет |
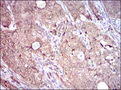
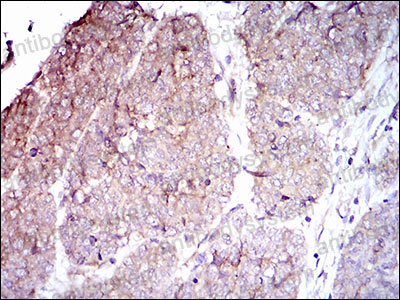
| Валидировано для | ELISA FCM IHC Иммуноферментный анализ; Проточная цитометрия; Иммуногистохимия |
| Рекомендуемые разведения | ELISA: 1:10000, FCM: 1:200-1:400, IHC: 1:200-1:1000 |
| Метод очистки | Очистка с белками A/G из супернатанта клеточной культуры |
| Чистота | >95% |
| Состав буфера | 0.01M PBS, pH 7.4, 0.05% натрия азид |
| Условия доставки | термобокс с аккумуляторами холода |
| Условия хранения | Хранить при 4°C не более 1-2 недель. Хранить при -20°C - 12 месяцев |
| Срок хранения | 12 месяцев |
| Производитель | AntibodySystem |
| Ссылка на страницу товара на сайте производителя | https://www.antibodysystem.com/product/35108.html |
|
Артикул
|
Наименование |
Производитель
|
|---|
|
Артикул
|
Наименование |
Производитель
|
|---|
|
Артикул
|
Наименование |
Производитель
|
|---|
Акции и предложения
Популярные продукты:
InVivoMAb Anti-Human CD274/PD-L1/B7-H1 Antibody (29E.2A3) (VHJ70102)
Источник (хозяин): мышь
Реактивность подтвержденная: человек
Валидировано для: ELISA, FuncS
Реактивность подтвержденная: человек
Валидировано для: ELISA, FuncS
Anti-Human CDON Antibody (SAA1692) (RHH79401)
Источник (хозяин): мышь
Реактивность подтвержденная: человек
Валидировано для: ELISA
Реактивность подтвержденная: человек
Валидировано для: ELISA
Recombinant PDCoV S1/Spike glycoprotein 1 (NTD) Protein, C-Fc (EVV41601)
Источник (хозяин): клетки млекопитающих
Организм: вирусы
Фрагмент: Phe53-Glu278
Теги: C-Fc
Биоактивность: нет
Организм: вирусы
Фрагмент: Phe53-Glu278
Теги: C-Fc
Биоактивность: нет
Recombinant Human ITGA10 Protein, N-His (YHB25201)
Источник (хозяин): E.coli
Организм: человек
Фрагмент: Asp167-Leu350
Теги: N-His
Биоактивность: нет
Организм: человек
Фрагмент: Asp167-Leu350
Теги: N-His
Биоактивность: нет
Recombinant Human GFRA3 Protein, C-His (EHA95601)
Источник (хозяин): клетки млекопитающих
Организм: человек
Фрагмент: Met1-Asn374
Теги: C-His
Биоактивность: нет
Организм: человек
Фрагмент: Met1-Asn374
Теги: C-His
Биоактивность: нет
Recombinant Human CD104/ITGB4 Protein, N-His (YHD15401)
Источник (хозяин): E.coli
Организм: человек
Фрагмент: Leu923-Cys1197
Теги: N-His
Биоактивность: нет
Организм: человек
Фрагмент: Leu923-Cys1197
Теги: N-His
Биоактивность: нет

