| UNIPROT | P16144 |
Anti-CD104/ITGB4 Antibody (R3E32) (RHD15401)
Реактивность подтвержденная:
человек
Источник (хозяин):
мышь
Валидировано для:
ELISA
FCM
IF
IHC
Характеристики
Техническое описание
| Русское название | RHD15401 Моноклональное антитело к CD104/ITGB4 (R3E32) <AntibodySystem,Китай> |
| Каталожный номер | RHD15401 |
| Название антигена | Integrin Beta 4 (ITGb4) |
| UNIPROT | P16144 |
| Английские синонимы | CD104, CD 104, CD-104, ITG-B4, GP150 |
Реактивность подтвержденная Нужна другая реактивность? |
человек |
| Источник (хозяин) | мышь |
| Изотип | IgG2a |
| Клональность | моноклональное |
| Клон | R3E32 |
| Рекомбинантное | да |
| Готовое к использованию | нет |
| Концентрация | 1 мг/мл |
| Конъюгат | нет |
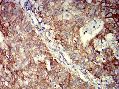
| Валидировано для | ELISA FCM IF IHC Иммуноферментный анализ; Проточная цитометрия; Иммунофлуоресценция; Иммуногистохимия |
| Рекомендуемые разведения | ELISA: 1:10000, FCM: 1:200-1:400, IF: 1:200-1:1000, IHC: 1:200-1:1000 |
| Метод очистки | Очистка с белками A/G из супернатанта клеточной культуры |
| Чистота | >95% |
| Состав буфера | 0.01M PBS, pH 7.4, 0.05% натрия азид |
| Условия доставки | термобокс с аккумуляторами холода |
| Условия хранения | Хранить при 4°C не более 1-2 недель. Хранить при -20°C - 12 месяцев |
| Срок хранения | 12 месяцев |
| Производитель | AntibodySystem |
| Ссылка на страницу товара на сайте производителя | https://www.antibodysystem.com/product/35110.html |
|
Артикул
|
Наименование |
Производитель
|
|---|
|
Артикул
|
Наименование |
Производитель
|
|---|
|
Артикул
|
Наименование |
Производитель
|
|---|
Акции и предложения
Популярные продукты:
Recombinant Human ITGA10 Protein, N-His (YHB25201)
Источник (хозяин): E.coli
Организм: человек
Фрагмент: Asp167-Leu350
Теги: N-His
Биоактивность: нет
Организм: человек
Фрагмент: Asp167-Leu350
Теги: N-His
Биоактивность: нет
Recombinant Human GFRA3 Protein, C-His (EHA95601)
Источник (хозяин): клетки млекопитающих
Организм: человек
Фрагмент: Met1-Asn374
Теги: C-His
Биоактивность: нет
Организм: человек
Фрагмент: Met1-Asn374
Теги: C-His
Биоактивность: нет
Recombinant Human CD104/ITGB4 Protein, C-His (EHD15401)
Источник (хозяин): клетки млекопитающих
Организм: человек
Фрагмент: Met1-Ser710
Теги: C-His
Биоактивность: нет
Организм: человек
Фрагмент: Met1-Ser710
Теги: C-His
Биоактивность: нет
Anti-Human CD7 Nanobody (SAA1260) (RHC41801)
Источник (хозяин): альпака
Реактивность подтвержденная: человек
Валидировано для: ELISA, FCM
Реактивность подтвержденная: человек
Валидировано для: ELISA, FCM
Anti-CD104/ITGB4 Antibody (R3E32) (RHD15401)
Источник (хозяин): мышь
Реактивность подтвержденная: человек
Валидировано для: ELISA, FCM, IF, IHC
Реактивность подтвержденная: человек
Валидировано для: ELISA, FCM, IF, IHC
Recombinant Human GFRA3 Protein, C-His (Active) (AHA95601)
Источник (хозяин): клетки млекопитающих
Организм: человек
Фрагмент: Asp32-Asn374
Теги: C-His
Биоактивность: да
Организм: человек
Фрагмент: Asp32-Asn374
Теги: C-His
Биоактивность: да

