| UNIPROT | P17813 |
Anti-CD105/ENG Antibody (R3E82) (RHD26504)
Реактивность подтвержденная:
человек
Источник (хозяин):
мышь
Валидировано для:
ELISA
FCM
IHC
WB
Характеристики
Техническое описание
| Русское название | RHD26504 Моноклональное антитело к CD105/ENG (R3E82) <AntibodySystem,Китай> |
| Каталожный номер | RHD26504 |
| Название антигена | Endoglin (ENG) |
| UNIPROT | P17813 |
| Английские синонимы | CD105, CD 105, CD-105, END, HHT1, ORW, ORW1, Osler-Rendu-Weber Syndrome 1 |
Реактивность подтвержденная Нужна другая реактивность? |
человек |
| Источник (хозяин) | мышь |
| Изотип | IgG1 |
| Клональность | моноклональное |
| Клон | R3E82 |
| Рекомбинантное | да |
| Готовое к использованию | нет |
| Концентрация | 1 мг/мл |
| Конъюгат | нет |
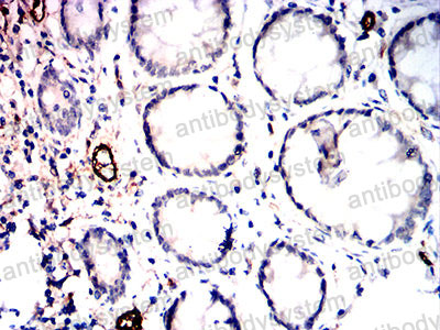
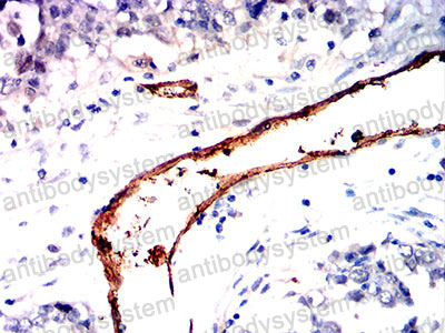
| Валидировано для | ELISA FCM IHC WB Иммуноферментный анализ; Проточная цитометрия; Иммуногистохимия; Вестерн-блоттинг |
| Рекомендуемые разведения | ELISA: 1:10000, FCM: 1:200-1:400, IHC: 1:200-1:1000, WB: 1:500-1:2000 |
| Метод очистки | Очистка с белками A/G из супернатанта клеточной культуры |
| Чистота | >95% |
| Состав буфера | 0.01M PBS, pH 7.4, 0.05% натрия азид |
| Условия доставки | термобокс с аккумуляторами холода |
| Условия хранения | Хранить при 4°C не более 1-2 недель. Хранить при -20°C - 12 месяцев |
| Срок хранения | 12 месяцев |
| Производитель | AntibodySystem |
| Ссылка на страницу товара на сайте производителя | https://www.antibodysystem.com/product/35160.html |
|
Артикул
|
Наименование |
Производитель
|
|---|
|
Артикул
|
Наименование |
Производитель
|
|---|
|
Артикул
|
Наименование |
Производитель
|
|---|
|
Артикул
|
Наименование |
Производитель
|
|---|
|
Артикул
|
Наименование |
Производитель
|
|---|
|
Артикул
|
Наименование |
Производитель
|
|---|
Акции и предложения
Популярные продукты:
Goat Angiopoietin 2 ELISA kit (E06A0503)
Организм: коза
Rat GTPase NRas(NRAS) ELISA kit (E02G0453)
Организм: крыса
Canine Actin binding protein anillin(ANLN) ELISA kit (E08A1525)
Организм: собака
Rat Cylicin 2(CYLC2) ELISA kit (E02C2221)
Организм: крыса
Goat Adseverin(SCIN) ELISA kit (E06A1963)
Организм: коза
Monkey F box only protein 5(FBXO5) ELISA kit (E09F0306)
Организм: обезьяна

