| UNIPROT | P08473 |
Anti-CD10/MME Antibody (R3A75) (RHC33004)
Реактивность подтвержденная:
человек
Источник (хозяин):
мышь
Валидировано для:
ELISA
IHC
WB
Характеристики
Техническое описание
| Русское название | RHC33004 Моноклональное антитело к CD10/MME (R3A75) <AntibodySystem,Китай> |
| Каталожный номер | RHC33004 |
| Название антигена | Neprilysin (NEP) - CD10 |
| UNIPROT | P08473 |
| Английские синонимы | CD10, CD 10, CD-10, MME, CALLA, SFE, Atriopeptidase, Enkephalinase, Skin fibroblast elastase, Common Acute Lymphoblastic Leukemia Antigen, Membrane Metallo-Endopeptidase |
Реактивность подтвержденная Нужна другая реактивность? |
человек |
| Источник (хозяин) | мышь |
| Изотип | IgG1 |
| Клональность | моноклональное |
| Клон | R3A75 |
| Рекомбинантное | да |
| Готовое к использованию | нет |
| Концентрация | 1 мг/мл |
| Конъюгат | нет |
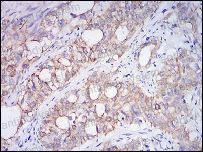
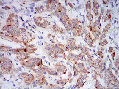
| Валидировано для | ELISA IHC WB Иммуноферментный анализ; Иммуногистохимия; Вестерн-блоттинг |
| Рекомендуемые разведения | ELISA: 1:10000, IHC: 1:200-1:1000, WB: 1:500-1:2000 |
| Метод очистки | Очистка с белками A/G из супернатанта клеточной культуры |
| Чистота | >95% |
| Состав буфера | 0.01M PBS, pH 7.4, 0.05% натрия азид |
| Условия доставки | термобокс с аккумуляторами холода |
| Условия хранения | Хранить при 4°C не более 1-2 недель. Хранить при -20°C - 12 месяцев |
| Срок хранения | 12 месяцев |
| Производитель | AntibodySystem |
| Ссылка на страницу товара на сайте производителя | https://www.antibodysystem.com/product/34757.html |
|
Артикул
|
Наименование |
Производитель
|
|---|
|
Артикул
|
Наименование |
Производитель
|
|---|
|
Артикул
|
Наименование |
Производитель
|
|---|
|
Артикул
|
Наименование |
Производитель
|
|---|
Акции и предложения
Популярные продукты:
ELISA Kit DIY Materials for Colony Stimulating Factor 1, Macrophage (MCSF) (KSA090Hu01)
Организм: человек
Диапазон определения: 15.6-1000 пг/мл
Чувствительность: 5.5 пг/мл
Диапазон определения: 15.6-1000 пг/мл
Чувствительность: 5.5 пг/мл
Monkey Endoribonuclease Dicer ELISA Kit (E09D0330)
Организм: обезьяна
Guinea Pig Transcriptional activator GLI3(GLI3) ELISA kit (E05T0618)
Организм: морская свинка
Chicken Fibrinogen Like Protein 1 ELISA kit (E12F0080)
Организм: курица
Sheep Regucalcin(RGN) ELISA kit (E14R0407)
Организм: овца

