| UNIPROT | P20701 |
Anti-CD11a/ITGAL Antibody (R3F76) (RHD41004)
Реактивность подтвержденная:
человек
Источник (хозяин):
мышь
Валидировано для:
ELISA
FCM
IHC
WB
Характеристики
Техническое описание
| Русское название | RHD41004 Моноклональное антитело к CD11a/ITGAL (R3F76) <AntibodySystem,Китай> |
| Каталожный номер | RHD41004 |
| Название антигена | Lymphocyte Function Associated Antigen 1 Alpha (LFA1a) |
| UNIPROT | P20701 |
| Английские синонимы | CD11a, CD 11a, CD-11a, ITG-AL, LFA-1, LFA1-A, ITGAL, Integrin,Alpha L, CD11 antigen-like family member A, Leukocyte function-associated molecule 1 alpha chain |
| Русские синонимы | Интегрин αLβ2 |
Реактивность подтвержденная Нужна другая реактивность? |
человек |
| Источник (хозяин) | мышь |
| Изотип | IgG2a |
| Клональность | моноклональное |
| Клон | R3F76 |
| Рекомбинантное | да |
| Готовое к использованию | нет |
| Концентрация | 1 мг/мл |
| Конъюгат | нет |
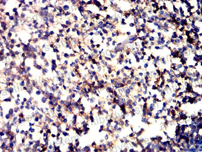
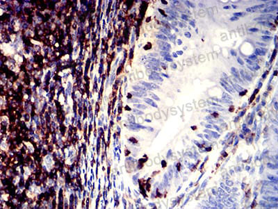
| Валидировано для | ELISA FCM IHC WB Иммуноферментный анализ; Проточная цитометрия; Иммуногистохимия; Вестерн-блоттинг |
| Рекомендуемые разведения | ELISA: 1:10000, FCM: 1:200-1:400, IHC: 1:200-1:1000, WB: 1:500-1:2000 |
| Метод очистки | Очистка с белками A/G из супернатанта клеточной культуры |
| Чистота | >95% |
| Состав буфера | 0.01M PBS, pH 7.4, 0.05% натрия азид |
| Условия хранения | Хранить при 4°C не более 1-2 недель. Хранить при -20°C - 12 месяцев |
| Срок хранения | 12 месяцев |
| Производитель | AntibodySystem |
| Ссылка на страницу товара на сайте производителя | https://www.antibodysystem.com/product/35253.html |
|
Артикул
|
Наименование |
Производитель
|
|---|
|
Артикул
|
Наименование |
Производитель
|
|---|
|
Артикул
|
Наименование |
Производитель
|
|---|
|
Артикул
|
Наименование |
Производитель
|
|---|
|
Артикул
|
Наименование |
Производитель
|
|---|
|
Артикул
|
Наименование |
Производитель
|
|---|
Акции и предложения
Популярные продукты:
Nono Antibody (DF7254)
Источник (хозяин): кролик
Реактивность подтвержденная: человек, мышь, крыса
Валидировано для: IHC, WB, IF, ICC
Реактивность подтвержденная: человек, мышь, крыса
Валидировано для: IHC, WB, IF, ICC
ELISA Kit DIY Materials for Interferon Beta (IFNb) (KSA222Ca01)
Организм: собака
Диапазон определения: 15.6-1000 пг/мл
Чувствительность: 6.0 пг/мл
Диапазон определения: 15.6-1000 пг/мл
Чувствительность: 6.0 пг/мл
Guinea Pig Coiled coil domain containing protein 85B(CCDC85B) ELISA kit (E05C1117)
Организм: морская свинка
Sheep Cochlin(COCH) ELISA kit (E14C1879)
Организм: овца

