| UNIPROT | P11215 |
Anti-CD11b/ITGAM Antibody (R3C48) (RHC86604)
Реактивность подтвержденная:
человек
Источник (хозяин):
мышь
Валидировано для:
ELISA
FCM
IHC
Характеристики
Техническое описание
| Русское название | RHC86604 Моноклональное антитело к CD11b/ITGAM (R3C48) <AntibodySystem,Китай> |
| Каталожный номер | RHC86604 |
| Название антигена | Integrin Alpha M (ITGaM) |
| UNIPROT | P11215 |
| Английские синонимы | CD11b, CD 11b, CD-11b, ITG-AM, CR3A, MAC-1, MAC1A, MO1A, Complement Component 3 Receptor 3 Subunit, Cell surface glycoprotein MAC-1 subunit alpha, Neutrophil adherence receptor |
| Русские синонимы | αM, CD11b |
Реактивность подтвержденная Нужна другая реактивность? |
человек |
| Источник (хозяин) | мышь |
| Изотип | IgG1 |
| Клональность | моноклональное |
| Клон | R3C48 |
| Рекомбинантное | да |
| Готовое к использованию | нет |
| Концентрация | 1 мг/мл |
| Конъюгат | нет |
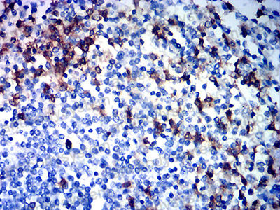
| Валидировано для | ELISA FCM IHC Иммуноферментный анализ; Проточная цитометрия; Иммуногистохимия |
| Рекомендуемые разведения | ELISA: 1:10000, FCM: 1:200-1:400, IHC: 1:200-1:1000 |
| Метод очистки | Очистка с белками A/G из супернатанта клеточной культуры |
| Чистота | >95% |
| Состав буфера | 0.01M PBS, pH 7.4, 0.05% натрия азид |
| Условия доставки | термобокс с аккумуляторами холода |
| Условия хранения | Хранить при 4°C не более 1-2 недель. Хранить при -20°C - 12 месяцев |
| Срок хранения | 12 месяцев |
| Производитель | AntibodySystem |
| Ссылка на страницу товара на сайте производителя | https://www.antibodysystem.com/product/34928.html |
|
Артикул
|
Наименование |
Производитель
|
|---|
|
Артикул
|
Наименование |
Производитель
|
|---|
|
Артикул
|
Наименование |
Производитель
|
|---|
|
Артикул
|
Наименование |
Производитель
|
|---|
|
Артикул
|
Наименование |
Производитель
|
|---|
Акции и предложения
Популярные продукты:
Recombinant Human RPS8 Protein, N-His (YHF48801)
Источник (хозяин): E.coli
Организм: человек
Фрагмент: Arg41-Lys208
Теги: N-His
Биоактивность: нет
Организм: человек
Фрагмент: Arg41-Lys208
Теги: N-His
Биоактивность: нет
ELISA Kit DIY Materials for Urocortin (UCN) (KSA231Mu01)
Организм: мышь
Диапазон определения: 12.35-1000 пг/мл
Чувствительность: 4.84 пг/мл
Диапазон определения: 12.35-1000 пг/мл
Чувствительность: 4.84 пг/мл
ELISA Kit DIY Materials for Dystrophin (DMD) (KSB503Hu01)
Организм: человек
Диапазон определения: 0.156-10 нг/мл
Чувствительность: 0.059 нг/мл
Диапазон определения: 0.156-10 нг/мл
Чувствительность: 0.059 нг/мл
Monoclonal Antibody to Acetylcholinesterase (ACHE) (MAB447Hu26)
Источник (хозяин): мышь
Реактивность подтвержденная: человек
Валидировано для: ICC, IF
Реактивность подтвержденная: человек
Валидировано для: ICC, IF
Bovine Calreticulin 3(CALR3) ELISA kit (E11C1330)
Организм: корова

