| UNIPROT | P08887 |
Anti-CD126/IL6R/IL-6RA Antibody (R3B41) (RHC36903)
Реактивность подтвержденная:
человек, мышь
Источник (хозяин):
мышь
Валидировано для:
ELISA
FCM
IF
IHC
WB
Характеристики
Техническое описание
| Русское название | RHC36903 Моноклональное антитело к CD126/IL6R/IL-6RA (R3B41) <AntibodySystem,Китай> |
| Каталожный номер | RHC36903 |
| Название антигена | Interleukin 6 Receptor (IL6R) |
| UNIPROT | P08887 |
| Английские синонимы | CD126, CD 126, CD-126, gp80, IL6R, IL-6R-1, IL-6R-Alpha, IL6RA, IL-6 receptor subunit alpha, Membrane glycoprotein 80 |
| Русские синонимы | Кластер дифференцировки 126 |
Реактивность подтвержденная Нужна другая реактивность? |
человек, мышь |
| Источник (хозяин) | мышь |
| Изотип | IgG1 |
| Клональность | моноклональное |
| Клон | R3B41 |
| Рекомбинантное | да |
| Готовое к использованию | нет |
| Концентрация | 1 мг/мл |
| Конъюгат | нет |
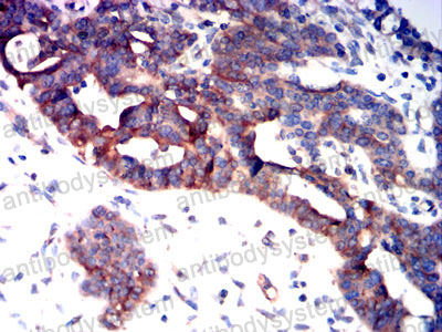
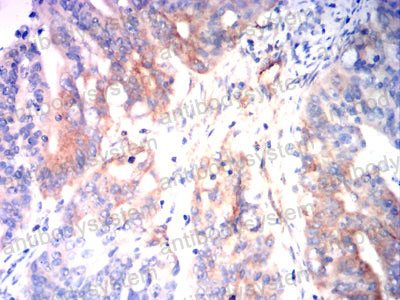
| Валидировано для | ELISA FCM IF IHC WB Иммуноферментный анализ; Проточная цитометрия; Иммунофлуоресценция; Иммуногистохимия; Вестерн-блоттинг |
| Рекомендуемые разведения | ELISA: 1:10000, FCM: 1:200-1:400, IF: 1:200-1:1000, IHC: 1:200-1:1000, WB: 1:500-1:2000 |
| Метод очистки | Очистка с белками A/G из супернатанта клеточной культуры |
| Чистота | >95% |
| Состав буфера | 0.01M PBS, pH 7.4, 0.05% натрия азид |
| Условия доставки | термобокс с аккумуляторами холода |
| Условия хранения | Хранить при 4°C не более 1-2 недель. Хранить при -20°C - 12 месяцев |
| Срок хранения | 12 месяцев |
| Производитель | AntibodySystem |
| Ссылка на страницу товара на сайте производителя | https://www.antibodysystem.com/product/34822.html |
|
Артикул
|
Наименование |
Производитель
|
|---|
|
Артикул
|
Наименование |
Производитель
|
|---|
|
Артикул
|
Наименование |
Производитель
|
|---|
|
Артикул
|
Наименование |
Производитель
|
|---|
|
Артикул
|
Наименование |
Производитель
|
|---|
|
Артикул
|
Наименование |
Производитель
|
|---|
Акции и предложения
Популярные продукты:
Anti-Human Tissue transglutaminase Antibody (Fs0330) (RHD49204)
Источник (хозяин): человек
Реактивность подтвержденная: человек
Валидировано для: ELISA, FuncS
Реактивность подтвержденная: человек
Валидировано для: ELISA, FuncS
Bovine Coactosin like protein(COTL1) ELISA kit (E11C1959)
Организм: корова
Guinea Pig 26S protease regulatory subunit 6B ELISA kit (E05P0913)
Организм: морская свинка
Chicken Neurolysin, mitochondrial(NLN) ELISA kit (E12N0548)
Организм: курица
Guinea Pig Sulfhydryl Oxidase 2 ELISA kit (E05Q0004)
Организм: морская свинка

