| UNIPROT | O43490 |
Anti-CD133/PROM1 Antibody (R2U89) (RHA68405)
Реактивность подтвержденная:
человек
Источник (хозяин):
мышь
Валидировано для:
ELISA
FCM
IHC
Характеристики
Техническое описание
| Русское название | RHA68405 Моноклональное антитело к CD133/PROM1 (R2U89) <AntibodySystem,Китай> |
| Каталожный номер | RHA68405 |
| Название антигена | Prominin 1 (PROM1) |
| UNIPROT | O43490 |
| Английские синонимы | CD133, CD 133, CD-133, PROML1, Macular Dystrophy,Retinal 2, Stargardt Disease 4(Autosomal Dominant), Prominin-like protein 1, Antigen AC133 |
| Русские синонимы | Антиген CD133 |
Реактивность подтвержденная Нужна другая реактивность? |
человек |
| Источник (хозяин) | мышь |
| Изотип | IgG1 |
| Клональность | моноклональное |
| Клон | R2U89 |
| Рекомбинантное | да |
| Готовое к использованию | нет |
| Концентрация | 1 мг/мл |
| Конъюгат | нет |
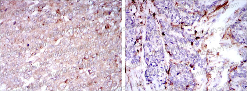
| Валидировано для | ELISA FCM IHC Иммуноферментный анализ; Проточная цитометрия; Иммуногистохимия |
| Рекомендуемые разведения | ELISA: 1:10000, FCM: 1:200-1:400, IHC: 1:200-1:1000 |
| Метод очистки | Очистка с белками A/G из супернатанта клеточной культуры |
| Чистота | >95% |
| Состав буфера | 0.01M PBS, pH 7.4, 0.05% натрия азид |
| Условия доставки | термобокс с аккумуляторами холода |
| Условия хранения | Хранить при 4°C не более 1-2 недель. Хранить при -20°C - 12 месяцев |
| Срок хранения | 12 месяцев |
| Производитель | AntibodySystem |
| Ссылка на страницу товара на сайте производителя | https://www.antibodysystem.com/product/34177.html |
|
Артикул
|
Наименование |
Производитель
|
|---|
|
Артикул
|
Наименование |
Производитель
|
|---|
|
Артикул
|
Наименование |
Производитель
|
|---|
|
Артикул
|
Наименование |
Производитель
|
|---|
|
Артикул
|
Наименование |
Производитель
|
|---|
Акции и предложения
Популярные продукты:
Mouse Carboxypeptidase O(CPO) ELISA kit (E03C2019)
Организм: мышь
Bovine Anthrax toxin receptor 2(ANTXR2) ELISA kit (E11A1539)
Организм: корова
Guinea Pig Rho Associated Coiled Coil Containing Protein Kinase 1 (E05R0476)
Организм: морская свинка
Mouse Hyaluronidase 2 ELISA kit (E03H1414)
Организм: мышь
Canine Fibroblast Growth Factor 21 ELISA kit (E08F0016)
Организм: собака
Диапазон определения: 0.5-10 нг/мл
Чувствительность: 0.1 нг/мл
Диапазон определения: 0.5-10 нг/мл
Чувствительность: 0.1 нг/мл

