Ваш браузер устарел и не обеспечивает полноценную и безопасную работу с сайтом. Пожалуйста обновите браузер чтобы улучшить взаимодействие с сайтом.
Мы обновили сайт, попробуйте новые функции в личном кабинете!

+7 (495) 798-02-48

Anti-CD134/TNFRSF4/OX40 Antibody (R3L21) (RHE43202)

Реактивность подтвержденная: человек
Источник (хозяин): мышь
Валидировано для:
ELISA
FCM
IHC
Валидация AntibodySystem RHE43202
Валидация AntibodySystem RHE43202
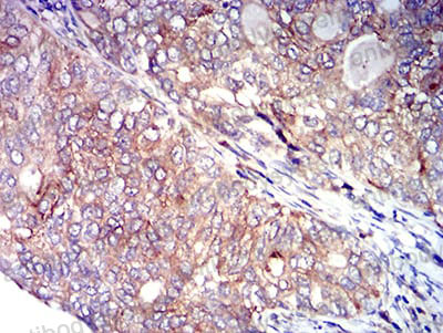
Immunohistochemical analysis of paraffin-embedded human cervical cancer tissues using CD134 mouse mAb with DAB staining.
Валидация AntibodySystem RHE43202 (2156)
Валидация AntibodySystem RHE43202 (2156)
Immunohistochemical analysis of paraffin-embedded human cervical cancer tissues using CD134 mouse mAb with DAB staining.
Валидация AntibodySystem RHE43202
Валидация AntibodySystem RHE43202 (2156)
Ближайшая поставка
29.05.26
Характеристики
Техническое описание
Русское название RHE43202 Моноклональное антитело к CD134/TNFRSF4/OX40 (R3L21) <AntibodySystem,Китай>
Каталожный номер RHE43202
Название антигена Tumor Necrosis Factor Receptor Superfamily, Member 4 (TNFRSF4)
UNIPROT P43489
Английские синонимы CD134, CD 134, CD-134, TNFRSF4, ACT35, OX40, TXGP1L, TAX transcriptionally-activated glycoprotein 1 receptor
Реактивность подтвержденная
Нужна другая реактивность?
человек
Источник (хозяин) мышь
Изотип IgG1
Клональность моноклональное
Клон R3L21
Рекомбинантное да
Готовое к использованию нет
Концентрация 1 мг/мл
Конъюгат нет
Валидировано для
ELISA
FCM
IHC
Иммуноферментный анализ; Проточная цитометрия; Иммуногистохимия
Рекомендуемые разведения ELISA: 1:10000, FCM: 1:200-1:400, IHC: 1:200-1:1000
Метод очистки Очистка с белками A/G из супернатанта клеточной культуры
Чистота >95%
Состав буфера 0.01M PBS, pH 7.4, 0.05% натрия азид
Условия хранения Хранить при 4°C не более 1-2 недель. Хранить при -20°C - 12 месяцев
Срок хранения 12 месяцев
Производитель AntibodySystem
Ссылка на страницу товара на сайте производителя https://www.antibodysystem.com/product/35693.html

Назначение

моноклональное антитело от производителя AntibodySystem к Tumor Necrosis Factor Receptor Superfamily, Member 4 (TNFRSF4) источник — мышь предназначено для детекции целевого антигена в биологических образцах. Продукт характеризуется подтвержденной реактивностью к человек.

Преимущества

  • Высокая специфичность и аффинность
  • Концентрация: 1 мг/мл
  • Оптимизированный состав буфера: 0.01M PBS, pH 7.4, 0.05% натрия азид
  • Стабильность: 12 месяцев

Применение в исследованиях

Антитело валидировано для методов: ELISA, FCM, IHC. Подходит для научных исследований в области иммунологии, клеточной биологии и молекулярной диагностики.

Условия хранения

Срок годности: 12 месяцев. Хранить при 4°C не более 1-2 недель. Хранить при -20°C - 12 месяцев. Рекомендуется соблюдать температурный режим при транспортировке и хранении.
UNIPROT P43489
Артикул
Наименование
Производитель
Артикул
Наименование
Производитель
Артикул
Наименование
Производитель
Артикул
Наименование
Производитель

С нами успешно сотрудничают:

Московский государственный университет им. Ломоносова
Московский государственный университет им. Ломоносова
Московский государственный университет им. Ломоносова
МФТИ
МФТИ
МФТИ
Центр вирусологии и биотехнологии „Вектор“
Центр вирусологии и биотехнологии „Вектор“
Центр вирусологии и биотехнологии „Вектор“
Институт физиологии имени Павлова
Институт физиологии имени Павлова
Институт физиологии имени Павлова
Сеченовский университет
Сеченовский университет
Сеченовский университет
Исследовательский центр им. Алмазова
Исследовательский центр им. Алмазова
Исследовательский центр им. Алмазова
BIOCAD
BIOCAD
BIOCAD
Университет Сириус
Университет Сириус
Университет Сириус
Р-Фарм
Р-Фарм
Р-Фарм
Сколтех
Сколтех
Сколтех
Курчатовский институт
Курчатовский институт
Курчатовский институт
ИБХ РАН
ИБХ РАН
ИБХ РАН
НИЦ эпидемиологии и микробиологии им. Н.Ф.Гамалеи
НИЦ эпидемиологии и микробиологии им. Н.Ф.Гамалеи
НИЦ эпидемиологии и микробиологии им. Н.Ф.Гамалеи
Томский НИМЦ
Томский НИМЦ
Томский НИМЦ
ФИЦ ВИЖ имени Л.К. Эрнста
ФИЦ ВИЖ имени Л.К. Эрнста
ФИЦ ВИЖ имени Л.К. Эрнста
Фонд "Наука - Детям"
Фонд "Наука - Детям"
Фонд "Наука - Детям"
Институт цитологии и генетики СО РАН
Институт цитологии и генетики СО РАН
Институт цитологии и генетики СО РАН
Генериум
Генериум
Генериум

Новости

0
0
0