| UNIPROT | P35613 |
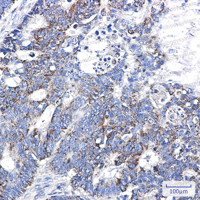
Anti-CD147/BSG Antibody (R1V18) (RHE14003)
Реактивность подтвержденная:
человек
Источник (хозяин):
кролик
Валидировано для:
IF
IHC
WB
Характеристики
Техническое описание
| Русское название | RHE14003 Моноклональное антитело к CD147/BSG (R1V18) <AntibodySystem,Китай> |
| Каталожный номер | RHE14003 |
| Название антигена | Extracellular Matrix Metalloproteinase Inducer (EMMPRIN) |
| UNIPROT | P35613 |
| Английские синонимы | CD147, CD 147, CD-147, BSG, 5F7, M6, OK, TCSF, Basigin(Ok Blood Group), Collagenase stimulatory factor, OK blood group antigen, Tumor cell-derived collagenase stimulatory factor |
| Русские синонимы | Базигин, Кластер дифференцировки 147 |
Реактивность подтвержденная Нужна другая реактивность? |
человек |
| Источник (хозяин) | кролик |
| Изотип | IgG |
| Клональность | моноклональное |
| Клон | R1V18 |
| Рекомбинантное | да |
| Готовое к использованию | нет |
| Концентрация | 1 мг/мл |
| Конъюгат | нет |
| Валидировано для | IF IHC WB Иммунофлуоресценция; Иммуногистохимия; Вестерн-блоттинг |
| Рекомендуемые разведения | IF: 1:50-1:200, IHC: 1:50-1:100, WB: 1:500-1:1000 |
| Метод очистки | Очистка с белками A/G из супернатанта клеточной культуры |
| Чистота | >95% |
| Состав буфера | 0.01M PBS, pH 7.4, 0.05% БСА, 50% глицерин, 0.05% азид натрия |
| Условия доставки | термобокс с аккумуляторами холода |
| Условия хранения | Хранить при -20 С -12 месяцев |
| Срок хранения | 12 месяцев |
| Производитель | AntibodySystem |
| Ссылка на страницу товара на сайте производителя | https://www.antibodysystem.com/product/31552.html |
|
Артикул
|
Наименование |
Производитель
|
|---|
|
Артикул
|
Наименование |
Производитель
|
|---|
|
Артикул
|
Наименование |
Производитель
|
|---|
|
Артикул
|
Наименование |
Производитель
|
|---|
|
Артикул
|
Наименование |
Производитель
|
|---|
Акции и предложения
Популярные продукты:
ELISA Kit DIY Materials for Cytochrome P450 11B1 (CYP11B1) (KSD546Mu01)
Организм: мышь
Диапазон определения: 0.156-10 нг/мл
Чувствительность: 0.057 нг/мл
Диапазон определения: 0.156-10 нг/мл
Чувствительность: 0.057 нг/мл
Porcine Galanin Receptor 2 ELISA kit (E07G0078)
Организм: свинья
Canine Carboxylesterase 1 ELISA kit (E08C0060)
Организм: собака
Anti-CD147/BSG Antibody (R1V18) (RHE14003)
Источник (хозяин): кролик
Реактивность подтвержденная: человек
Валидировано для: IF, IHC, WB
Реактивность подтвержденная: человек
Валидировано для: IF, IHC, WB

