| UNIPROT | O14672 |
Anti-CD156c/ADAM10 Antibody (R2T79) (RHA26602)
Реактивность подтвержденная:
человек
Источник (хозяин):
мышь
Валидировано для:
ELISA
FCM
IHC
Характеристики
Техническое описание
| Русское название | RHA26602 Моноклональное антитело к CD156c/ADAM10 (R2T79) <AntibodySystem,Китай> |
| Каталожный номер | RHA26602 |
| Название антигена | A Disintegrin And Metalloprotease 10 (ADAM10) |
| UNIPROT | O14672 |
| Английские синонимы | CD156-C, CD156c, CD 156c, CD-156c, MADM, Kuz, CDw156, Kuzbanian protein homolog, Mammalian disintegrin-metalloprotease |
Реактивность подтвержденная Нужна другая реактивность? |
человек |
| Источник (хозяин) | мышь |
| Изотип | IgG1 |
| Клональность | моноклональное |
| Клон | R2T79 |
| Рекомбинантное | да |
| Готовое к использованию | нет |
| Концентрация | 1 мг/мл |
| Конъюгат | нет |
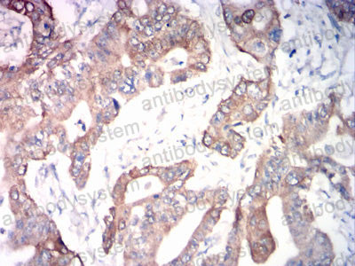
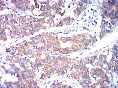
| Валидировано для | ELISA FCM IHC Иммуноферментный анализ; Проточная цитометрия; Иммуногистохимия |
| Рекомендуемые разведения | ELISA: 1:10000, FCM: 1:200-1:400, IHC: 1:200-1:1000 |
| Метод очистки | Очистка с белками A/G из супернатанта клеточной культуры |
| Чистота | >95% |
| Состав буфера | 0.01M PBS, pH 7.4, 0.05% натрия азид |
| Условия доставки | термобокс с аккумуляторами холода |
| Условия хранения | Хранить при 4°C не более 1-2 недель. Хранить при -20°C - 12 месяцев |
| Срок хранения | 12 месяцев |
| Производитель | AntibodySystem |
| Ссылка на страницу товара на сайте производителя | https://www.antibodysystem.com/product/34068.html |
|
Артикул
|
Наименование |
Производитель
|
|---|
|
Артикул
|
Наименование |
Производитель
|
|---|
|
Артикул
|
Наименование |
Производитель
|
|---|
|
Артикул
|
Наименование |
Производитель
|
|---|
|
Артикул
|
Наименование |
Производитель
|
|---|
Акции и предложения
Популярные продукты:
Porcine Steroidogenic acute regulatory protein ELISA kit (E07S0208)
Организм: свинья
Rabbit Vitamin B7 ELISA kit (E04V0434)
Организм: кролик
Rat Glucose,Free ELISA kit (E02G0030)
Организм: крыса
Guinea Pig Signal Transducer And Activator Of Transcription 3 ELISA kit (E05S0204)
Организм: морская свинка
Rabbit Bone Morphogenetic Protein 2 ELISA kit (E04B0542)
Организм: кролик
Диапазон определения: 50-1000 пг/мл
Чувствительность: 1 пг/мл
Диапазон определения: 50-1000 пг/мл
Чувствительность: 1 пг/мл
Recombinant Human KISS1 Protein, N-His (YHH17601)
Источник (хозяин): E.coli
Организм: человек
Фрагмент: Glu20-Gly138
Теги: N-His
Биоактивность: нет
Организм: человек
Фрагмент: Glu20-Gly138
Теги: N-His
Биоактивность: нет

