| UNIPROT | P22083 |
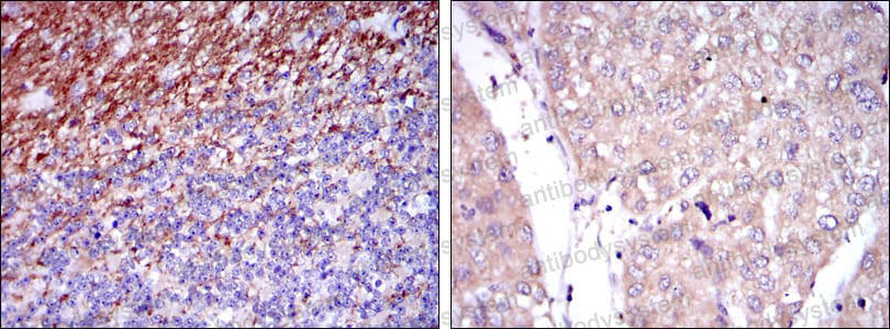
Anti-CD15/FUT4 Antibody (R3G04) (RHD50002)
Реактивность подтвержденная:
человек
Источник (хозяин):
мышь
Валидировано для:
ELISA
IF
IHC
Характеристики
Техническое описание
| Русское название | RHD50002 Моноклональное антитело к CD15/FUT4 (R3G04) <AntibodySystem,Китай> |
| Каталожный номер | RHD50002 |
| Название антигена | Fucosyltransferase 4 (FUT4) |
| UNIPROT | P22083 |
| Английские синонимы | CD15, CD 15, CD-15, 3FAL, FCT3A, ELFT, SSEA-1, LeX, Lewis x, Stage Specific Embryonic Antigen 1, 3-Fucosyl-N-Acetyl Lactosamine, Alpha(1,3)Fucosyltransferase,Myeloid-Specific |
Реактивность подтвержденная Нужна другая реактивность? |
человек |
| Источник (хозяин) | мышь |
| Изотип | IgG1 |
| Клональность | моноклональное |
| Клон | R3G04 |
| Рекомбинантное | да |
| Готовое к использованию | нет |
| Концентрация | 1 мг/мл |
| Конъюгат | нет |
| Валидировано для | ELISA IF IHC Иммуноферментный анализ; Иммунофлуоресценция; Иммуногистохимия |
| Рекомендуемые разведения | ELISA: 1:10000, IF: 1:200-1:1000, IHC: 1:200-1:1000 |
| Метод очистки | Очистка с белками A/G из супернатанта клеточной культуры |
| Чистота | >95% |
| Состав буфера | 0.01M PBS, pH 7.4, 0.05% натрия азид |
| Условия хранения | Хранить при 4°C не более 1-2 недель. Хранить при -20°C - 12 месяцев |
| Срок хранения | 12 месяцев |
| Производитель | AntibodySystem |
| Ссылка на страницу товара на сайте производителя | https://www.antibodysystem.com/product/35280.html |
|
Артикул
|
Наименование |
Производитель
|
|---|
|
Артикул
|
Наименование |
Производитель
|
|---|
|
Артикул
|
Наименование |
Производитель
|
|---|
Акции и предложения
Популярные продукты:
Mouse Lysosomal protective protein ELISA kit (E03L0309)
Организм: мышь
Anti-CD15/FUT4 Antibody (R3G04) (RHD50002)
Источник (хозяин): мышь
Реактивность подтвержденная: человек
Валидировано для: ELISA, IF, IHC
Реактивность подтвержденная: человек
Валидировано для: ELISA, IF, IHC
Anti-CD155/PVR Antibody (R1P61) (RHD09001)
Источник (хозяин): кролик
Реактивность подтвержденная: человек
Валидировано для: IHC, WB
Реактивность подтвержденная: человек
Валидировано для: IHC, WB
CCL13 Polyclonal Antibody (E-AB-17299)
Источник (хозяин): кролик
Реактивность подтвержденная: человек
Валидировано для: IHC
Реактивность подтвержденная: человек
Валидировано для: IHC
Recombinant Microfibrillar Associated Protein 4 (MFAP4) (RPF589Ra01)
Источник (хозяин): E.coli
Организм: крыса
Теги: N-концевой His-Tag
Биоактивность: нет
Организм: крыса
Теги: N-концевой His-Tag
Биоактивность: нет

