| UNIPROT | P08637 |
Anti-CD16a/FCGR3A Antibody (R3B14) (RHC35004)
Реактивность подтвержденная:
человек
Источник (хозяин):
мышь
Валидировано для:
IHC
WB
Характеристики
Техническое описание
| Русское название | RHC35004 Моноклональное антитело к CD16a/FCGR3A (R3B14) <AntibodySystem,Китай> |
| Каталожный номер | RHC35004 |
| Название антигена | Fc Fragment Of IgG Low Affinity IIIa Receptor (FcgR3A) |
| UNIPROT | P08637 |
| Английские синонимы | CD16a, CD 16a, CD-16a, CD16-A, FCGR3-A, FCG3, FcgRIII, IGFR3, NA, Neutrophil Antigen, Low affinity immunoglobulin gamma Fc region receptor III-A |
Реактивность подтвержденная Нужна другая реактивность? |
человек |
| Источник (хозяин) | мышь |
| Изотип | IgG1 |
| Клональность | моноклональное |
| Клон | R3B14 |
| Рекомбинантное | да |
| Готовое к использованию | нет |
| Концентрация | 1 мг/мл |
| Конъюгат | нет |
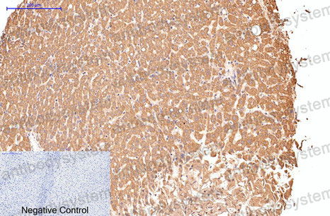
| Валидировано для | IHC WB Иммуногистохимия; Вестерн-блоттинг |
| Рекомендуемые разведения | IHC: 1:50-1:100, WB: 1:500-1:1000 |
| Метод очистки | Очистка с белками A/G из супернатанта клеточной культуры |
| Чистота | >95% |
| Состав буфера | 0.01M PBS, pH 7.4, 0.5% БСА, 0.05% натрия азид,50% глицерин |
| Условия доставки | термобокс с аккумуляторами холода |
| Условия хранения | Хранить при 4°C не более 1-2 недель. Хранить при -20°C - 12 месяцев |
| Срок хранения | 12 месяцев |
| Производитель | AntibodySystem |
| Ссылка на страницу товара на сайте производителя | https://www.antibodysystem.com/product/34795.html |
|
Артикул
|
Наименование |
Производитель
|
|---|
|
Артикул
|
Наименование |
Производитель
|
|---|
|
Артикул
|
Наименование |
Производитель
|
|---|
|
Артикул
|
Наименование |
Производитель
|
|---|
|
Артикул
|
Наименование |
Производитель
|
|---|
Акции и предложения
Популярные продукты:
Anti-Cystatin 6 (CST6) Monoclonal Antibody (FAJ326Hu02)
Источник (хозяин): мышь
Реактивность подтвержденная: человек
Валидировано для: FCM
Реактивность подтвержденная: человек
Валидировано для: FCM
Porcine Anti Glycolipid AutoAntibody ELISA kit (E07A0441)
Организм: свинья
Chicken Lipocalin 2 ELISA kit (E12L0211)
Организм: курица
Human CXC chemokine ligand 16 ELISA kit (E01C0851)
Организм: человек
Диапазон определения: 0.5-10 нг/мл
Чувствительность: 0.1 нг/мл
Диапазон определения: 0.5-10 нг/мл
Чувствительность: 0.1 нг/мл

