| UNIPROT | P20023 |
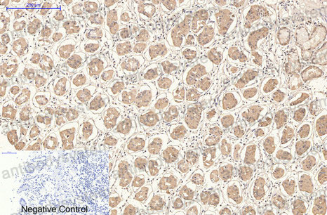
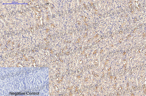
Anti-CD21/CR2 Antibody (R3F48) (RHD36801)
Реактивность подтвержденная:
человек, мышь, крыса
Источник (хозяин):
мышь
Валидировано для:
IF
IHC
Характеристики
Техническое описание
| Русское название | RHD36801 Моноклональное антитело к CD21/CR2 (R3F48) <AntibodySystem,Китай> |
| Каталожный номер | RHD36801 |
| Название антигена | Complement Receptor 2 (CR2) |
| UNIPROT | P20023 |
| Английские синонимы | CD21, CD 21, CD-21, C3DR, Complement Component(3d/Epstein Barr Virus)Receptor 2, Complement C3d receptor, Epstein-Barr virus receptor, EBV receptor |
Реактивность подтвержденная Нужна другая реактивность? |
человек, мышь, крыса |
| Источник (хозяин) | мышь |
| Изотип | IgG1 |
| Клональность | моноклональное |
| Клон | R3F48 |
| Рекомбинантное | да |
| Готовое к использованию | нет |
| Концентрация | 1 мг/мл |
| Конъюгат | нет |
| Валидировано для | IF IHC Иммунофлуоресценция; Иммуногистохимия |
| Рекомендуемые разведения | IF: 1:50-1:200, IHC: 1:50-1:100 |
| Метод очистки | Очистка с белками A/G из супернатанта клеточной культуры |
| Чистота | >95% |
| Состав буфера | 0.01M PBS, pH 7.4, 0.5% БСА, 0.05% натрия азид,50% глицерин |
| Условия доставки | термобокс с аккумуляторами холода |
| Условия хранения | Хранить при 4°C не более 1-2 недель. Хранить при -20°C - 12 месяцев |
| Срок хранения | 12 месяцев |
| Производитель | AntibodySystem |
| Ссылка на страницу товара на сайте производителя | https://www.antibodysystem.com/product/35225.html |
|
Артикул
|
Наименование |
Производитель
|
|---|
|
Артикул
|
Наименование |
Производитель
|
|---|
|
Артикул
|
Наименование |
Производитель
|
|---|
|
Артикул
|
Наименование |
Производитель
|
|---|
|
Артикул
|
Наименование |
Производитель
|
|---|
Акции и предложения
Популярные продукты:
Elab Fluor®Violet 500 Anti-Human HLA-DR Antibody[L243] (E-AB-F1111R)
Источник (хозяин): мышь
Реактивность подтвержденная: человек
Валидировано для: FCM
Реактивность подтвержденная: человек
Валидировано для: FCM
Polyclonal Antibody to C Reactive Protein (CRP) (PAA821Ra06)
Источник (хозяин): кролик
Реактивность подтвержденная: крыса
Валидировано для: WB
Реактивность подтвержденная: крыса
Валидировано для: WB
Mouse ATP binding cassette sub family F member 1(ABCF1) ELISA kit (E03A1150)
Организм: мышь
Диапазон определения: 0.5-10 нг/мл
Чувствительность: 0.1 нг/мл
Диапазон определения: 0.5-10 нг/мл
Чувствительность: 0.1 нг/мл
Rat Arylsulfatase A(ARSA) ELISA kit (E02A1683)
Организм: крыса
Human Calmodulin like protein 3(CALML3) ELISA kit (E01C1324)
Организм: человек
Диапазон определения: 1-25 нг/мл
Чувствительность: 0.1 нг/мл
Диапазон определения: 1-25 нг/мл
Чувствительность: 0.1 нг/мл
Bovine Adrenocorticotropic Hormone ELISA kit (E11A0005)
Организм: корова
Диапазон определения: 50-1000 пг/мл
Чувствительность: 1 пг/мл
Диапазон определения: 50-1000 пг/мл
Чувствительность: 1 пг/мл

