| UNIPROT | P15941 |
Anti-CD227/MUC1 Antibody (R3E19) (RHD14205)
Реактивность подтвержденная:
человек
Источник (хозяин):
мышь
Валидировано для:
ELISA
FCM
IHC
Характеристики
Техническое описание
| Русское название | RHD14205 Моноклональное антитело к CD227/MUC1 (R3E19) <AntibodySystem,Китай> |
| Каталожный номер | RHD14205 |
| Название антигена | Mucin 1 (MUC1) |
| UNIPROT | P15941 |
| Английские синонимы | CD227, CD 227, CD-227, EMA, H23AG, KL-6, PEM, PEMT, PUM, CA15-3, Cancer antigen 15-3, Carcinoma-associated mucin, Episialin, Peanut-reactive urinary mucin, Polymorphic epithelial mucin |
| Русские синонимы | Муцин-1 |
Реактивность подтвержденная Нужна другая реактивность? |
человек |
| Источник (хозяин) | мышь |
| Изотип | IgG1 |
| Клональность | моноклональное |
| Клон | R3E19 |
| Рекомбинантное | да |
| Готовое к использованию | нет |
| Концентрация | 1 мг/мл |
| Конъюгат | нет |
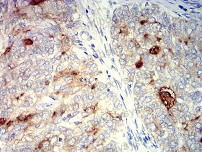
| Валидировано для | ELISA FCM IHC Иммуноферментный анализ; Проточная цитометрия; Иммуногистохимия |
| Рекомендуемые разведения | ELISA: 1:10000, FCM: 1:200-1:400, IHC: 1:200-1:1000 |
| Метод очистки | Очистка с белками A/G из супернатанта клеточной культуры |
| Чистота | >95% |
| Состав буфера | 0.01M PBS, pH 7.4, 0.05% натрия азид |
| Условия доставки | термобокс с аккумуляторами холода |
| Условия хранения | Хранить при 4°C не более 1-2 недель. Хранить при -20°C - 12 месяцев |
| Срок хранения | 12 месяцев |
| Производитель | AntibodySystem |
| Ссылка на страницу товара на сайте производителя | https://www.antibodysystem.com/product/35097.html |
|
Артикул
|
Наименование |
Производитель
|
|---|
|
Артикул
|
Наименование |
Производитель
|
|---|
|
Артикул
|
Наименование |
Производитель
|
|---|
|
Артикул
|
Наименование |
Производитель
|
|---|
|
Артикул
|
Наименование |
Производитель
|
|---|
|
Артикул
|
Наименование |
Производитель
|
|---|
|
Артикул
|
Наименование |
Производитель
|
|---|
Акции и предложения
Популярные продукты:
Bovine Phospholipase A2, membrane associated ELISA kit (E11P1084)
Организм: корова
Goat X Box Binding Protein 1 ELISA kit (E06X0002)
Организм: коза
KRIBIOLISA Trevogrumab ELISA (KBI1706)
Организм: человек
Диапазон определения: 0 - 2000 нг/мл
Чувствительность: 15 нг/мл
Диапазон определения: 0 - 2000 нг/мл
Чувствительность: 15 нг/мл
Anti-MAPK6 Polyclonal Antibody (PHH34001)
Источник (хозяин): кролик
Реактивность подтвержденная: человек, мышь, крыса
Валидировано для: ELISA, IHC, WB
Реактивность подтвержденная: человек, мышь, крыса
Валидировано для: ELISA, IHC, WB
Recombinant Human SERPINF2 Protein, N-His (YHC35601)
Источник (хозяин): E.coli
Организм: человек
Фрагмент: Asn40-Lys491
Теги: N-His
Биоактивность: нет
Организм: человек
Фрагмент: Asn40-Lys491
Теги: N-His
Биоактивность: нет
Recombinant Human CD227/MUC1 Protein, N-His (YHD14201)
Источник (хозяин): E.coli
Организм: человек
Фрагмент: Ser24-Pro146
Теги: N-His
Биоактивность: нет
Организм: человек
Фрагмент: Ser24-Pro146
Теги: N-His
Биоактивность: нет

