| UNIPROT | P20273 |
Anti-CD22 Antibody (R3F61) (RHD38503)
Реактивность подтвержденная:
человек
Источник (хозяин):
мышь
Валидировано для:
ELISA
FCM
IF
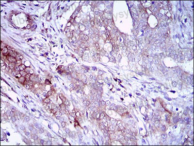
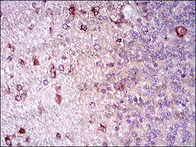
IHC
WB
Характеристики
Техническое описание
| Русское название | RHD38503 Моноклональное антитело к CD22 (R3F61) <AntibodySystem,Китай> |
| Каталожный номер | RHD38503 |
| Название антигена | Sialic Acid Binding Ig Like Lectin 2 (SIGLEC2) |
| UNIPROT | P20273 |
| Английские синонимы | CD22, CD 22, CD-22, BL-CAM, B-cell receptor CD22, B-lymphocyte cell adhesion molecule, T-cell surface antigen Leu-14 |
| Русские синонимы | Рецептор B-клеток CD22 |
Реактивность подтвержденная Нужна другая реактивность? |
человек |
| Источник (хозяин) | мышь |
| Изотип | IgG1 |
| Клональность | моноклональное |
| Клон | R3F61 |
| Рекомбинантное | да |
| Готовое к использованию | нет |
| Концентрация | 1 мг/мл |
| Конъюгат | нет |
| Валидировано для | ELISA FCM IF IHC WB Иммуноферментный анализ; Проточная цитометрия; Иммунофлуоресценция; Иммуногистохимия; Вестерн-блоттинг |
| Рекомендуемые разведения | ELISA: 1:10000, FCM: 1:200-1:400, IF: 1:50-1:200, IHC: 1:200-1:1000, WB: 1:500-1:2000 |
| Метод очистки | Очистка с белками A/G из супернатанта клеточной культуры |
| Чистота | >95% |
| Состав буфера | 0.01M PBS, pH 7.4, 0.05% натрия азид |
| Условия хранения | Хранить при 4°C не более 1-2 недель. Хранить при -20°C - 12 месяцев |
| Срок хранения | 12 месяцев |
| Производитель | AntibodySystem |
| Ссылка на страницу товара на сайте производителя | https://www.antibodysystem.com/product/35238.html |
|
Артикул
|
Наименование |
Производитель
|
|---|
|
Артикул
|
Наименование |
Производитель
|
|---|
|
Артикул
|
Наименование |
Производитель
|
|---|
|
Артикул
|
Наименование |
Производитель
|
|---|
Акции и предложения
Популярные продукты:
Recombinant Tissue Inhibitors Of Metalloproteinase 1 (TIMP1) (RPA552Mu02)
Источник (хозяин): E.coli
Организм: мышь
Теги: N-концевой His-Tag
Биоактивность: нет
Организм: мышь
Теги: N-концевой His-Tag
Биоактивность: нет
CLIA Kit for Reelin (RELN) (RC775L-Ra)
Организм: крыса
Диапазон определения: 1.37-1000 пг/мл
Чувствительность: 0.64 пг/мл
Диапазон определения: 1.37-1000 пг/мл
Чувствительность: 0.64 пг/мл
ELISA Kit DIY Materials for Adrenergic Receptor Alpha 1A (ADRa1A) (KSB298Hu01)
Организм: человек
Диапазон определения: 0.312-20 нг/мл
Чувствительность: 0.113 нг/мл
Диапазон определения: 0.312-20 нг/мл
Чувствительность: 0.113 нг/мл

