| UNIPROT | P04156 |
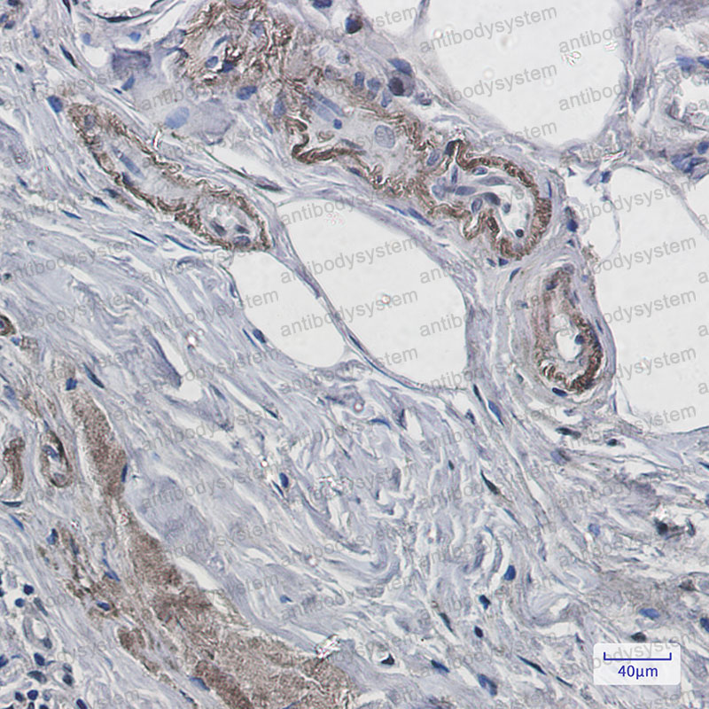
Anti-CD230/PRNP Antibody (R1J55) (RHC07003)
Реактивность подтвержденная:
человек, мышь, крыса
Источник (хозяин):
кролик
Валидировано для:
IHC
WB
Характеристики
Техническое описание
| Русское название | RHC07003 Моноклональное антитело к CD230/PRNP (R1J55) <AntibodySystem,Китай> |
| Каталожный номер | RHC07003 |
| Название антигена | Prion Protein (PRNP) |
| UNIPROT | P04156 |
| Английские синонимы | CD230, GSS, ASCR, CJD, PRIP, PrP, PrP2730, PrPc, Major prion protein, Creutzfeldt-Jakob Disease, Gerstmann-Strausler-Scheinker Syndrome, Fatal Familial Insomnia |
Реактивность подтвержденная Нужна другая реактивность? |
человек, мышь, крыса |
| Источник (хозяин) | кролик |
| Изотип | IgG |
| Клональность | моноклональное |
| Клон | R1J55 |
| Рекомбинантное | да |
| Готовое к использованию | нет |
| Концентрация | 1 мг/мл |
| Конъюгат | нет |
| Валидировано для | IHC WB Иммуногистохимия; Вестерн-блоттинг |
| Рекомендуемые разведения | IHC: 1:50-1:100, WB: 1:500-1:1000 |
| Метод очистки | Очистка с белками A/G из супернатанта клеточной культуры |
| Чистота | >95% |
| Состав буфера | 0.01M PBS, pH 7.4, 0.05% БСА, 50% глицерин, 0.05% азид натрия |
| Условия доставки | термобокс с аккумуляторами холода |
| Условия хранения | Хранить при -20 С -12 месяцев |
| Срок хранения | 12 месяцев |
| Производитель | AntibodySystem |
| Ссылка на страницу товара на сайте производителя | https://www.antibodysystem.com/product/30500.html |
|
Артикул
|
Наименование |
Производитель
|
|---|
|
Артикул
|
Наименование |
Производитель
|
|---|
|
Артикул
|
Наименование |
Производитель
|
|---|
|
Артикул
|
Наименование |
Производитель
|
|---|
Акции и предложения
Популярные продукты:
ELISA Kit DIY Materials for Neuronal Pentraxin I (NPTX1) (KSA298Hu01)
Организм: человек
Диапазон определения: 0.156-10 нг/мл
Чувствительность: 0.057 нг/мл
Диапазон определения: 0.156-10 нг/мл
Чувствительность: 0.057 нг/мл
Mouse Ribosomal Protein L10 ELISA kit (E03R0072)
Организм: мышь
Porcine Neuregulin 4 ELISA kit (E07N0602)
Организм: свинья
Sheep Heat Shock 70kDa Protein 1A ELISA kit (E14H0123)
Организм: овца
Monkey Soluble endothelium selectin ELISA kit (E09S0252)
Организм: обезьяна
Диапазон определения: 0.5-10 нг/мл
Чувствительность: 0.1 нг/мл
Диапазон определения: 0.5-10 нг/мл
Чувствительность: 0.1 нг/мл
Sheep Endothelial Selectin ELISA kit (E14S0079)
Организм: овца

