| UNIPROT | P06734 |
Anti-CD23/FCER2 Antibody (R2Z95) (RHC21301)
Реактивность подтвержденная:
человек, мышь, крыса
Источник (хозяин):
мышь
Валидировано для:
IF
IHC
Характеристики
Техническое описание
| Русское название | RHC21301 Моноклональное антитело к CD23/FCER2 (R2Z95) <AntibodySystem,Китай> |
| Каталожный номер | RHC21301 |
| Название антигена | Receptor II For The Fc Region Of Immunoglobulin E (FceRII) |
| UNIPROT | P06734 |
| Английские синонимы | CD23, CD 23, CD-23, FCER2, BLAST-2, CLEC4J, FCE2, IGEBF, C-type lectin domain family 4 member J, Immunoglobulin E-binding factor, Lymphocyte IgE receptor |
Реактивность подтвержденная Нужна другая реактивность? |
человек, мышь, крыса |
| Источник (хозяин) | мышь |
| Изотип | IgG1 |
| Клональность | моноклональное |
| Клон | R2Z95 |
| Рекомбинантное | да |
| Готовое к использованию | нет |
| Концентрация | 1 мг/мл |
| Конъюгат | нет |
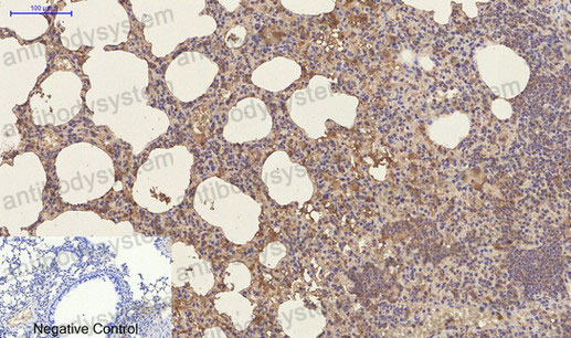
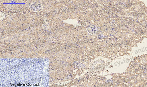
| Валидировано для | IF IHC Иммунофлуоресценция; Иммуногистохимия |
| Рекомендуемые разведения | IF: 1:50-1:200, IHC: 1:50-1:100 |
| Метод очистки | Очистка с белками A/G из супернатанта клеточной культуры |
| Чистота | >95% |
| Состав буфера | 0.01M PBS, pH 7.4, 0.5% БСА, 0.05% натрия азид,50% глицерин |
| Условия доставки | термобокс с аккумуляторами холода |
| Условия хранения | Хранить при 4°C не более 1-2 недель. Хранить при -20°C - 12 месяцев |
| Срок хранения | 12 месяцев |
| Производитель | AntibodySystem |
| Ссылка на страницу товара на сайте производителя | https://www.antibodysystem.com/product/34678.html |
|
Артикул
|
Наименование |
Производитель
|
|---|
|
Артикул
|
Наименование |
Производитель
|
|---|
|
Артикул
|
Наименование |
Производитель
|
|---|
Акции и предложения
Популярные продукты:
Anti-Cluster Of Differentiation 42b (CD42b) Monoclonal Antibody (FAB108Hu06)
Источник (хозяин): мышь
Реактивность подтвержденная: человек
Валидировано для: FCM
Реактивность подтвержденная: человек
Валидировано для: FCM
Canine Survival Of Motor Neuron 1(SMN1) ELISA kit (E08S0124)
Организм: собака
Bovine ADP ribosyl cyclase 2(BST1) ELISA kit (E11A1785)
Организм: корова
Chicken Zinc protoporphyrin ELISA Kit (E12Z0039)
Организм: курица
Rabbit Taxilin Alpha /IL 14 ELISA kit (E04T0375)
Организм: кролик

