| UNIPROT | Q9UM73 |
Anti-CD246/ALK Antibody (R3X54) (RHJ81202)
Реактивность подтвержденная:
человек
Источник (хозяин):
мышь
Валидировано для:
ELISA
FCM
IHC
WB
Характеристики
Техническое описание
| Русское название | RHJ81202 Моноклональное антитело к CD246/ALK (R3X54) <AntibodySystem,Китай> |
| Каталожный номер | RHJ81202 |
| Название антигена | Anaplastic Lymphoma Kinase (ALK) |
| UNIPROT | Q9UM73 |
| Английские синонимы | CD246, CD 246, CD-246, TFG/ALK, Ki1, Anaplastic Lymphoma Receptor Tyrosine Kinase |
Реактивность подтвержденная Нужна другая реактивность? |
человек |
| Источник (хозяин) | мышь |
| Изотип | IgG1 |
| Клональность | моноклональное |
| Клон | R3X54 |
| Рекомбинантное | да |
| Готовое к использованию | нет |
| Концентрация | 1 мг/мл |
| Конъюгат | нет |
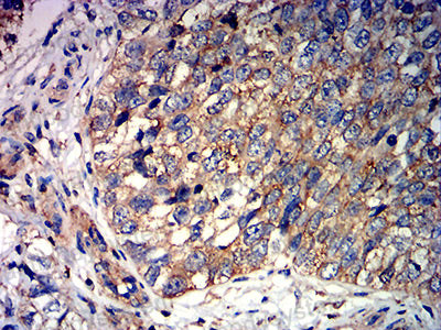
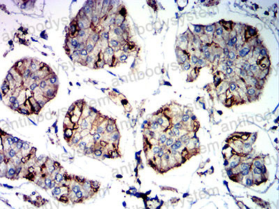
| Валидировано для | ELISA FCM IHC WB Иммуноферментный анализ; Проточная цитометрия; Иммуногистохимия; Вестерн-блоттинг |
| Рекомендуемые разведения | ELISA: 1:10000, FCM: 1:200-1:400, IHC: 1:200-1:1000, WB: 1:500-1:2000 |
| Метод очистки | Очистка с белками A/G из супернатанта клеточной культуры |
| Чистота | >95% |
| Состав буфера | 0.01M PBS, pH 7.4, 0.05% натрия азид |
| Условия хранения | Хранить при 4°C не более 1-2 недель. Хранить при -20°C - 12 месяцев |
| Срок хранения | 12 месяцев |
| Производитель | AntibodySystem |
| Ссылка на страницу товара на сайте производителя | https://www.antibodysystem.com/product/36814.html |
|
Артикул
|
Наименование |
Производитель
|
|---|
|
Артикул
|
Наименование |
Производитель
|
|---|
|
Артикул
|
Наименование |
Производитель
|
|---|
|
Артикул
|
Наименование |
Производитель
|
|---|
Акции и предложения
Популярные продукты:
Anti-Myxovirus Resistance 1 (MX1) Polyclonal Antibody (FAL763Mu01)
Источник (хозяин): кролик
Реактивность подтвержденная: мышь
Валидировано для: FCM
Реактивность подтвержденная: мышь
Валидировано для: FCM
ELISA Kit DIY Materials for WNT1 Inducible Signaling Pathway Protein 2 (WISP2) (KSG894Hu01)
Организм: человек
Диапазон определения: 0.312-20 нг/мл
Чувствительность: 0.119 нг/мл
Диапазон определения: 0.312-20 нг/мл
Чувствительность: 0.119 нг/мл
Monoclonal Antibody to Complement Component 5 (C5) (MAB969Hu21)
Источник (хозяин): мышь
Реактивность подтвержденная: человек
Валидировано для: WB
Реактивность подтвержденная: человек
Валидировано для: WB
Bovine Parkinson Disease Protein 7 ELISA kit (E11P1009)
Организм: корова
Canine Carboxypeptidase Z(CPZ) ELISA kit (E08C2032)
Организм: собака
Canine Calpain 11(CAPN11) ELISA kit (E08C1355)
Организм: собака

