| UNIPROT | P01589 |
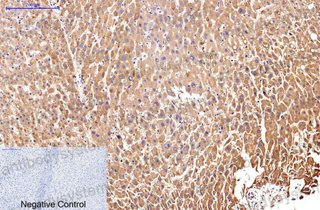
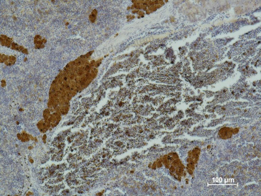
Anti-CD25/IL2RA Antibody (R2X51) (RHB95804)
Реактивность подтвержденная:
человек
Источник (хозяин):
мышь
Валидировано для:
IHC
Характеристики
Техническое описание
| Русское название | RHB95804 Моноклональное антитело к CD25/IL2RA (R2X51) <AntibodySystem,Китай> |
| Каталожный номер | RHB95804 |
| Название антигена | Interleukin 2 Receptor Alpha (IL2Ra) |
| UNIPROT | P01589 |
| Английские синонимы | CD25, CD 25, CD-25, IL2R-a, IL2-RA, IDDM10, IL2R, TCGFR, p55, TAC antigen, IL-2RA |
| Русские синонимы | Кластер дифференцировки 25 |
Реактивность подтвержденная Нужна другая реактивность? |
человек |
| Источник (хозяин) | мышь |
| Изотип | IgG1 |
| Клональность | моноклональное |
| Клон | R2X51 |
| Рекомбинантное | да |
| Готовое к использованию | нет |
| Концентрация | 1 мг/мл |
| Конъюгат | нет |
| Валидировано для | IHC Иммуногистохимия |
| Рекомендуемые разведения | IHC: 1:50-1:100 |
| Метод очистки | Очистка с белками A/G из супернатанта клеточной культуры |
| Чистота | >95% |
| Состав буфера | 0.01M PBS, pH 7.4, 0.5% БСА, 0.05% натрия азид,50% глицерин |
| Условия доставки | термобокс с аккумуляторами холода |
| Условия хранения | Хранить при 4°C не более 1-2 недель. Хранить при -20°C - 12 месяцев |
| Срок хранения | 12 месяцев |
| Производитель | AntibodySystem |
| Ссылка на страницу товара на сайте производителя | https://www.antibodysystem.com/product/34436.html |
|
Артикул
|
Наименование |
Производитель
|
|---|
|
Артикул
|
Наименование |
Производитель
|
|---|
|
Артикул
|
Наименование |
Производитель
|
|---|
|
Артикул
|
Наименование |
Производитель
|
|---|
|
Артикул
|
Наименование |
Производитель
|
|---|
|
Артикул
|
Наименование |
Производитель
|
|---|
|
Артикул
|
Наименование |
Производитель
|
|---|
|
Артикул
|
Наименование |
Производитель
|
|---|
Акции и предложения
Популярные продукты:
Free Thyroxine/fT4 ELISA Kit (KGN27303)
Организм: для всех
ELISA Kit DIY Materials for Deoxyribonuclease II (DNASEII) (KSC247Hu01)
Организм: человек
Диапазон определения: 0.312-20 нг/мл
Чувствительность: 0.117 нг/мл
Диапазон определения: 0.312-20 нг/мл
Чувствительность: 0.117 нг/мл
ELISA Kit DIY Materials for Tumor Necrosis Factor Beta (TNFb) (KSA134Hu01)
Организм: человек
Диапазон определения: 15.6-1000 пг/мл
Чувствительность: 5.8 пг/мл
Диапазон определения: 15.6-1000 пг/мл
Чувствительность: 5.8 пг/мл
Human ADP ribosylation factor like protein 3(ARL3) ELISA kit (E01A1016)
Организм: человек
Диапазон определения: 50-1000 пг/мл
Чувствительность: 1 пг/мл
Диапазон определения: 50-1000 пг/мл
Чувствительность: 1 пг/мл
Monkey Chemokine like receptor 1(CMKLR1) ELISA kit (E09C1829)
Организм: обезьяна

