| UNIPROT | Q9NR96 |
Anti-CD289/TLR9 Antibody (R3W91) (RHJ65504)
Реактивность подтвержденная:
человек
Источник (хозяин):
мышь
Валидировано для:
ELISA
FCM
IF
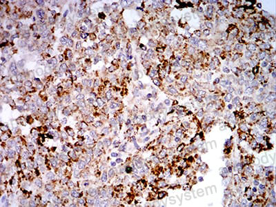
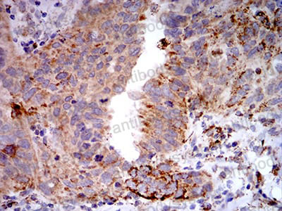
IHC
Характеристики
Техническое описание
| Русское название | RHJ65504 Моноклональное антитело к CD289/TLR9 (R3W91) <AntibodySystem,Китай> |
| Каталожный номер | RHJ65504 |
| Название антигена | Toll Like Receptor 9 (TLR9) |
| UNIPROT | Q9NR96 |
| Английские синонимы | CD289, CD 289, CD-289 |
Реактивность подтвержденная Нужна другая реактивность? |
человек |
| Источник (хозяин) | мышь |
| Изотип | IgG2a |
| Клональность | моноклональное |
| Клон | R3W91 |
| Рекомбинантное | да |
| Готовое к использованию | нет |
| Концентрация | 1 мг/мл |
| Конъюгат | нет |
| Валидировано для | ELISA FCM IF IHC Иммуноферментный анализ; Проточная цитометрия; Иммунофлуоресценция; Иммуногистохимия |
| Рекомендуемые разведения | ELISA: 1:10000, FCM: 1:200-1:400, IF: 1:200-1:1000, IHC: 1:200-1:1000 |
| Метод очистки | Очистка с белками A/G из супернатанта клеточной культуры |
| Чистота | >95% |
| Состав буфера | 0.01M PBS, pH 7.4, 0.05% натрия азид |
| Условия хранения | Хранить при 4°C не более 1-2 недель. Хранить при -20°C - 12 месяцев |
| Срок хранения | 12 месяцев |
| Производитель | AntibodySystem |
| Ссылка на страницу товара на сайте производителя | https://www.antibodysystem.com/product/36752.html |
|
Артикул
|
Наименование |
Производитель
|
|---|
|
Артикул
|
Наименование |
Производитель
|
|---|
|
Артикул
|
Наименование |
Производитель
|
|---|
|
Артикул
|
Наименование |
Производитель
|
|---|
|
Артикул
|
Наименование |
Производитель
|
|---|
|
Артикул
|
Наименование |
Производитель
|
|---|
Акции и предложения
Популярные продукты:
Porcine Cystatin F(CST7) ELISA kit (E07C2126)
Организм: свинья
Sheep Cytohesin 1 ELISA kit (E14C0479)
Организм: овца
Anti-Bovine ALB Polyclonal Antibody (PBC01402)
Источник (хозяин): кролик
Реактивность подтвержденная: корова
Валидировано для: ELISA, IHC, WB
Реактивность подтвержденная: корова
Валидировано для: ELISA, IHC, WB
Anti-Human PAX8 Antibody (SAA1660) (RHG10001)
Источник (хозяин): мышь
Реактивность подтвержденная: человек
Валидировано для: ELISA
Реактивность подтвержденная: человек
Валидировано для: ELISA
Anti-Human CD132/IL2RG Nanobody (SAA1050) (RHD96701)
Источник (хозяин): альпака
Реактивность подтвержденная: человек
Валидировано для: ELISA
Реактивность подтвержденная: человек
Валидировано для: ELISA
Anti-CD289/TLR9 Antibody (R3W91) (RHJ65504)
Источник (хозяин): мышь
Реактивность подтвержденная: человек
Валидировано для: ELISA, FCM, IF, IHC
Реактивность подтвержденная: человек
Валидировано для: ELISA, FCM, IF, IHC

