| UNIPROT | P36894 |
Anti-CD292/BMPR1A Antibody (R3K08) (RHE19201)
Реактивность подтвержденная:
человек
Источник (хозяин):
мышь
Валидировано для:
ELISA
FCM
IHC
Характеристики
Техническое описание
| Русское название | RHE19201 Моноклональное антитело к CD292/BMPR1A (R3K08) <AntibodySystem,Китай> |
| Каталожный номер | RHE19201 |
| Название антигена | Bone Morphogenetic Protein Receptor 1A (BMPR1A) |
| UNIPROT | P36894 |
| Английские синонимы | CD292, CD 292, CD-292, ACVRLK3, ALK3, SKR5, BMPR1-A, Activin A Receptor, Type Ii-Like Kinase 3, Activin Receptor-Like Kinase 3, Serine/Threonine-Protein Kinase Receptor R5 |
Реактивность подтвержденная Нужна другая реактивность? |
человек |
| Источник (хозяин) | мышь |
| Изотип | IgG1 |
| Клональность | моноклональное |
| Клон | R3K08 |
| Рекомбинантное | да |
| Готовое к использованию | нет |
| Концентрация | 1 мг/мл |
| Конъюгат | нет |
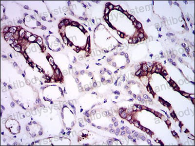
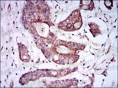
| Валидировано для | ELISA FCM IHC Иммуноферментный анализ; Проточная цитометрия; Иммуногистохимия |
| Рекомендуемые разведения | ELISA: 1:10000, FCM: 1:200-1:400, IHC: 1:200-1:1000 |
| Метод очистки | Очистка с белками A/G из супернатанта клеточной культуры |
| Чистота | >95% |
| Состав буфера | 0.01M PBS, pH 7.4, 0.05% натрия азид |
| Условия хранения | Хранить при 4°C не более 1-2 недель. Хранить при -20°C - 12 месяцев |
| Срок хранения | 12 месяцев |
| Производитель | AntibodySystem |
| Ссылка на страницу товара на сайте производителя | https://www.antibodysystem.com/product/35581.html |
|
Артикул
|
Наименование |
Производитель
|
|---|
|
Артикул
|
Наименование |
Производитель
|
|---|
|
Артикул
|
Наименование |
Производитель
|
|---|
|
Артикул
|
Наименование |
Производитель
|
|---|
|
Артикул
|
Наименование |
Производитель
|
|---|
Акции и предложения
Популярные продукты:
Mouse Glia-activating factor(FGF9) ELISA kit (E03G0407)
Организм: мышь
Anti-CD292/BMPR1A Antibody (R3K08) (RHE19201)
Источник (хозяин): мышь
Реактивность подтвержденная: человек
Валидировано для: ELISA, FCM, IHC
Реактивность подтвержденная: человек
Валидировано для: ELISA, FCM, IHC
ELISA Kit for Ubiquitin Associated Protein 2 (UBAP2) (RE593S-Hu)
Организм: человек
Диапазон определения: 0.312-20 нг/мл
Чувствительность: 0.136 нг/мл
Диапазон определения: 0.312-20 нг/мл
Чувствительность: 0.136 нг/мл
ELISA Kit for A Disintegrin And Metalloproteinase With Thrombospondin 4 (ADAMTS4) (RK204S-Hu)
Организм: человек
Диапазон определения: 0.312-20 нг/мл
Чувствительность: 0.115 нг/мл
Диапазон определения: 0.312-20 нг/мл
Чувствительность: 0.115 нг/мл
Rabbit Anti-NeuN Antibody (SAA2241) (RHA00601)
Источник (хозяин): кролик
Реактивность подтвержденная: человек, мышь, крыса
Валидировано для: FCM, ICC, IF, IHC, WB
Реактивность подтвержденная: человек, мышь, крыса
Валидировано для: FCM, ICC, IF, IHC, WB
Mouse Anti-SARS-CoV-2 S/Spike glycoprotein IgA Antibody (SAA2227) (RVV00326)
Источник (хозяин): мышь
Реактивность подтвержденная: вирусы
Валидировано для: ELISA
Реактивность подтвержденная: вирусы
Валидировано для: ELISA

