| UNIPROT | P06729 |
Anti-CD2 Antibody (R2Z80) (RHC20802)
Реактивность подтвержденная:
человек
Источник (хозяин):
мышь
Валидировано для:
ELISA
FCM
IHC
WB
Характеристики
Техническое описание
| Русское название | RHC20802 Моноклональное антитело к CD2 (R2Z80) <AntibodySystem,Китай> |
| Каталожный номер | RHC20802 |
| Название антигена | Lymphocyte Function Associated Antigen 2 (LFA2) |
| UNIPROT | P06729 |
| Английские синонимы | CD-2, CD2, CD 2, SRBC, T11, T-Cell Surface Antigen T11/Leu-5, LFA-3 Receptor, Erythrocyte Receptor, Rosette Receptor, Sheep Red Blood Cell Receptor |
| Русские синонимы | T-клеточный поверхностный антиген T11/Leu-5, рецептор к LFA-3 |
Реактивность подтвержденная Нужна другая реактивность? |
человек |
| Источник (хозяин) | мышь |
| Изотип | IgG1 |
| Клональность | моноклональное |
| Клон | R2Z80 |
| Рекомбинантное | да |
| Готовое к использованию | нет |
| Концентрация | 1 мг/мл |
| Конъюгат | нет |
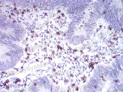
| Валидировано для | ELISA FCM IHC WB Иммуноферментный анализ; Проточная цитометрия; Иммуногистохимия; Вестерн-блоттинг |
| Рекомендуемые разведения | ELISA: 1:10000, FCM: 1:200-1:400, IHC: 1:200-1:1000, WB: 1:500-1:2000 |
| Метод очистки | Очистка с белками A/G из супернатанта клеточной культуры |
| Чистота | >95% |
| Состав буфера | 0.01M PBS, pH 7.4, 0.05% натрия азид |
| Условия доставки | термобокс с аккумуляторами холода |
| Условия хранения | Хранить при 4°C не более 1-2 недель. Хранить при -20°C - 12 месяцев |
| Срок хранения | 12 месяцев |
| Производитель | AntibodySystem |
| Ссылка на страницу товара на сайте производителя | https://www.antibodysystem.com/product/34663.html |
|
Артикул
|
Наименование |
Производитель
|
|---|
|
Артикул
|
Наименование |
Производитель
|
|---|
|
Артикул
|
Наименование |
Производитель
|
|---|
|
Артикул
|
Наименование |
Производитель
|
|---|
|
Артикул
|
Наименование |
Производитель
|
|---|
Акции и предложения
Популярные продукты:
ELISA Kit DIY Materials for Prokineticin 2 (PK2) (KSA115Hu11)
Организм: человек
Диапазон определения: 246.9-20000 пг/мл
Чувствительность: 90.9 пг/мл
Диапазон определения: 246.9-20000 пг/мл
Чувствительность: 90.9 пг/мл
Bovine Sentan(SNTN) ELISA kit (E11S0388)
Организм: корова
Canine 14-3-3 protein zeta/delta(YWHAZ) ELISA kit (E08Y0009)
Организм: собака
Goat Paired Box Gene 5 ELISA kit (E06P1023)
Организм: коза
Guinea Pig C Jun amino terminal kinase interacting protein 4(SPAG9) ELISA kit (E05C2446)
Организм: морская свинка

