| UNIPROT | P06729 |
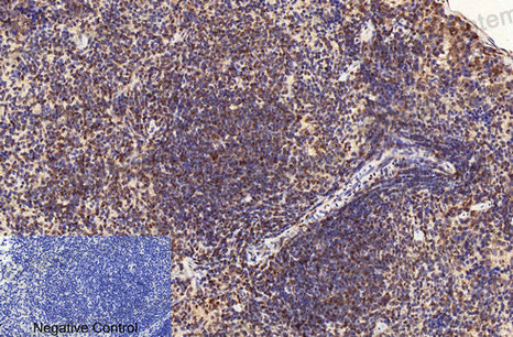
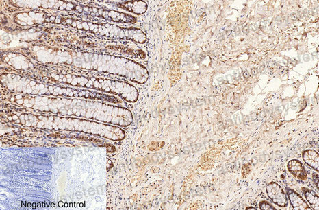
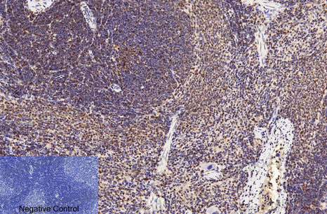
Anti-CD2 Antibody (R2Z82) (RHC20801)
Реактивность подтвержденная:
человек, мышь, крыса
Источник (хозяин):
мышь
Валидировано для:
IHC
Характеристики
Техническое описание
| Русское название | RHC20801 Моноклональное антитело к CD2 (R2Z82) <AntibodySystem,Китай> |
| Каталожный номер | RHC20801 |
| Название антигена | Lymphocyte Function Associated Antigen 2 (LFA2) |
| UNIPROT | P06729 |
| Английские синонимы | CD-2, CD2, CD 2, SRBC, T11, T-Cell Surface Antigen T11/Leu-5, LFA-3 Receptor, Erythrocyte Receptor, Rosette Receptor, Sheep Red Blood Cell Receptor |
| Русские синонимы | T-клеточный поверхностный антиген T11/Leu-5, рецептор к LFA-3 |
Реактивность подтвержденная Нужна другая реактивность? |
человек, мышь, крыса |
| Источник (хозяин) | мышь |
| Изотип | IgG1 |
| Клональность | моноклональное |
| Клон | R2Z82 |
| Рекомбинантное | да |
| Готовое к использованию | нет |
| Концентрация | 1 мг/мл |
| Конъюгат | нет |
| Валидировано для | IHC Иммуногистохимия |
| Рекомендуемые разведения | IHC: 1:50-1:100 |
| Метод очистки | Очистка с белками A/G из супернатанта клеточной культуры |
| Чистота | >95% |
| Состав буфера | 0.01M PBS, pH 7.4, 0.5% БСА, 0.05% натрия азид,50% глицерин |
| Условия доставки | термобокс с аккумуляторами холода |
| Условия хранения | Хранить при 4°C не более 1-2 недель. Хранить при -20°C - 12 месяцев |
| Срок хранения | 12 месяцев |
| Производитель | AntibodySystem |
| Ссылка на страницу товара на сайте производителя | https://www.antibodysystem.com/product/34665.html |
|
Артикул
|
Наименование |
Производитель
|
|---|
|
Артикул
|
Наименование |
Производитель
|
|---|
|
Артикул
|
Наименование |
Производитель
|
|---|
|
Артикул
|
Наименование |
Производитель
|
|---|
|
Артикул
|
Наименование |
Производитель
|
|---|
Акции и предложения
Популярные продукты:
Sheep Anti Filaggrin Antibody ELISA kit (E14A0428)
Организм: овца
Guinea Pig Anti Filaggrin Antibody ELISA kit (E05A0428)
Организм: морская свинка
Canine Enhancer of zeste homolog 2 ELISA kit (E08E0069)
Организм: собака
Guinea Pig T cell leukemia homeobox protein 3(TLX3) ELISA kit (E05T0696)
Организм: морская свинка
Porcine Filaggrin ELISA kit (E07F0028)
Организм: свинья

