| UNIPROT | Q10589 |
Anti-CD317/BST2 Antibody (R3R82) (RHG26701)
Реактивность подтвержденная:
человек
Источник (хозяин):
мышь
Валидировано для:
ELISA
FCM
IHC
Характеристики
Техническое описание
| Русское название | RHG26701 Моноклональное антитело к CD317/BST2 (R3R82) <AntibodySystem,Китай> |
| Каталожный номер | RHG26701 |
| Название антигена | Bone Marrow Stromal Cell Antigen 2 (BST2) |
| UNIPROT | Q10589 |
| Английские синонимы | CD317, CD 317, CD-317, Tetherin, HM1.24 antigen |
| Русские синонимы | Костномозговой стромальный клеточный антиген 2 |
Реактивность подтвержденная Нужна другая реактивность? |
человек |
| Источник (хозяин) | мышь |
| Изотип | IgG2b |
| Клональность | моноклональное |
| Клон | R3R82 |
| Рекомбинантное | да |
| Готовое к использованию | нет |
| Концентрация | 1 мг/мл |
| Конъюгат | нет |
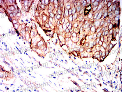
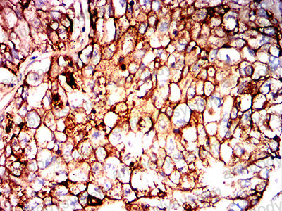
| Валидировано для | ELISA FCM IHC Иммуноферментный анализ; Проточная цитометрия; Иммуногистохимия |
| Рекомендуемые разведения | ELISA: 1:10000, FCM: 1:200-1:400, IHC: 1:200-1:1000 |
| Метод очистки | Очистка с белками A/G из супернатанта клеточной культуры |
| Чистота | >95% |
| Состав буфера | 0.01M PBS, pH 7.4, 0.05% натрия азид |
| Условия хранения | Хранить при 4°C не более 1-2 недель. Хранить при -20°C - 12 месяцев |
| Срок хранения | 12 месяцев |
| Производитель | AntibodySystem |
| Ссылка на страницу товара на сайте производителя | https://www.antibodysystem.com/product/36248.html |
|
Артикул
|
Наименование |
Производитель
|
|---|
|
Артикул
|
Наименование |
Производитель
|
|---|
|
Артикул
|
Наименование |
Производитель
|
|---|
|
Артикул
|
Наименование |
Производитель
|
|---|
Акции и предложения
Популярные продукты:
Anti-Monkey CD3E Antibody (Fs0316) (FWC27720)
Источник (хозяин): мышь
Реактивность подтвержденная: обезьяна
Валидировано для: ELISA, FCM
Реактивность подтвержденная: обезьяна
Валидировано для: ELISA, FCM
Recombinant Mouse SDF2 Protein (His Tag) (PKSM040783)
Источник (хозяин): клетки насекомых
Организм: мышь
Фрагмент: Met 1-Leu 211
Теги: C-His
Биоактивность: нет
Организм: мышь
Фрагмент: Met 1-Leu 211
Теги: C-His
Биоактивность: нет
Recombinant Human SDF2 Protein, N-His (YHJ43701)
Источник (хозяин): E.coli
Организм: человек
Фрагмент: Ser19-Leu211
Теги: N-His
Биоактивность: нет
Организм: человек
Фрагмент: Ser19-Leu211
Теги: N-His
Биоактивность: нет
Anti-CD317/BST2 Antibody (R3R82) (RHG26701)
Источник (хозяин): мышь
Реактивность подтвержденная: человек
Валидировано для: ELISA, FCM, IHC
Реактивность подтвержденная: человек
Валидировано для: ELISA, FCM, IHC
IL18 Antibody (DF6252)
Источник (хозяин): кролик
Реактивность подтвержденная: человек, мышь, крыса
Валидировано для: IHC, WB, IF, ICC
Реактивность подтвержденная: человек, мышь, крыса
Валидировано для: IHC, WB, IF, ICC
EDNRB Antibody (DF2788)
Источник (хозяин): кролик
Реактивность подтвержденная: человек, мышь, крыса
Валидировано для: WB, IF, ICC
Реактивность подтвержденная: человек, мышь, крыса
Валидировано для: WB, IF, ICC

