| UNIPROT | Q9Y624 |
Anti-CD321/F11R/JAM-A Antibody (R2L25) (RHJ90502)
Реактивность подтвержденная:
человек
Источник (хозяин):
кролик
Валидировано для:
IHC
WB
Характеристики
Техническое описание
| Русское название | RHJ90502 Моноклональное антитело к CD321/F11R/JAM-A (R2L25) <AntibodySystem,Китай> |
| Каталожный номер | RHJ90502 |
| Название антигена | Junctional Adhesion Molecule 1 (JAM1) |
| UNIPROT | Q9Y624 |
| Английские синонимы | CD321, CD 321, CD-321, F11R, KAT, JAM-A, JAMA, JCAM, PAM1, Coagulation Factor XI Receptor, Platelet F11 receptor, Platelet adhesion molecule 1 |
| Русские синонимы | Кластер дифференцировки 321 |
Реактивность подтвержденная Нужна другая реактивность? |
человек |
| Источник (хозяин) | кролик |
| Изотип | IgG |
| Клональность | моноклональное |
| Клон | R2L25 |
| Рекомбинантное | да |
| Готовое к использованию | нет |
| Концентрация | 1 мг/мл |
| Конъюгат | нет |
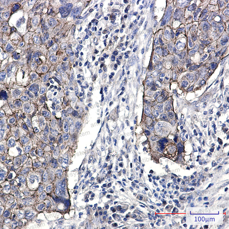
| Валидировано для | IHC WB Иммуногистохимия; Вестерн-блоттинг |
| Рекомендуемые разведения | IHC: 1:50-1:100, WB: 1:500-1:1000 |
| Метод очистки | Очистка с белками A/G из супернатанта клеточной культуры |
| Чистота | >95% |
| Состав буфера | 0.01M PBS, pH 7.4, 0.05% БСА, 50% глицерин, 0.05% азид натрия |
| Условия доставки | термобокс с аккумуляторами холода |
| Условия хранения | Хранить при -20 С -12 месяцев |
| Срок хранения | 12 месяцев |
| Производитель | AntibodySystem |
| Ссылка на страницу товара на сайте производителя | https://www.antibodysystem.com/product/33044.html |
|
Артикул
|
Наименование |
Производитель
|
|---|
|
Артикул
|
Наименование |
Производитель
|
|---|
|
Артикул
|
Наименование |
Производитель
|
|---|
Акции и предложения
Популярные продукты:
Rabbit Sulfite oxidase, mitochondrial(SUOX) ELISA kit (E04S0425)
Организм: кролик
Bovine Adenosine receptor A2a(ADORA2A) ELISA kit (E11A1280)
Организм: корова
Canine Endothelin 3(EDN3) ELISA kit (E08E0367)
Организм: собака
Porcine Actinin Alpha 3 ELISA kit (E07A0383)
Организм: свинья
Anti-Human CD321/F11R/JAM-A Antibody (SAA1942) (RHJ90501)
Источник (хозяин): мышь
Реактивность подтвержденная: человек
Валидировано для: ELISA
Реактивность подтвержденная: человек
Валидировано для: ELISA
Anti-Human ITGA9 Antibody (SAA1586) (RHG65101)
Источник (хозяин): мышь
Реактивность подтвержденная: человек
Валидировано для: ELISA
Реактивность подтвержденная: человек
Валидировано для: ELISA

