| UNIPROT | P19022 |
Anti-CD325/CDH2 Antibody (R3F14) (RHD31902)
Реактивность подтвержденная:
человек, мышь, крыса, кролик, обезьяна
Источник (хозяин):
мышь
Валидировано для:
FCM
IF
IHC
WB
Характеристики
Техническое описание
| Русское название | RHD31902 Моноклональное антитело к CD325/CDH2 (R3F14) <AntibodySystem,Китай> |
| Каталожный номер | RHD31902 |
| Название антигена | Cadherin, Neuronal (CDH2) |
| UNIPROT | P19022 |
| Английские синонимы | CDw325, CD325, CD 325, CD-325, CDHN, NCAD, Cadherin 2 Type 1, N-Cadherin |
| Русские синонимы | Нейрональный кадгерин, кадгерин-2, 1-го типа |
Реактивность подтвержденная Нужна другая реактивность? |
человек, мышь, крыса, кролик, обезьяна |
| Источник (хозяин) | мышь |
| Изотип | IgG1 |
| Клональность | моноклональное |
| Клон | R3F14 |
| Рекомбинантное | да |
| Готовое к использованию | нет |
| Концентрация | 1 мг/мл |
| Конъюгат | нет |
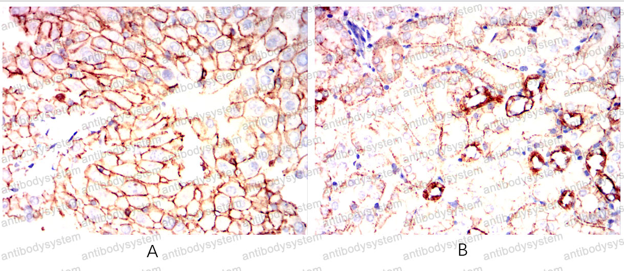
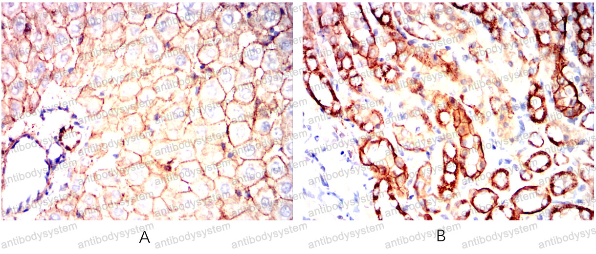
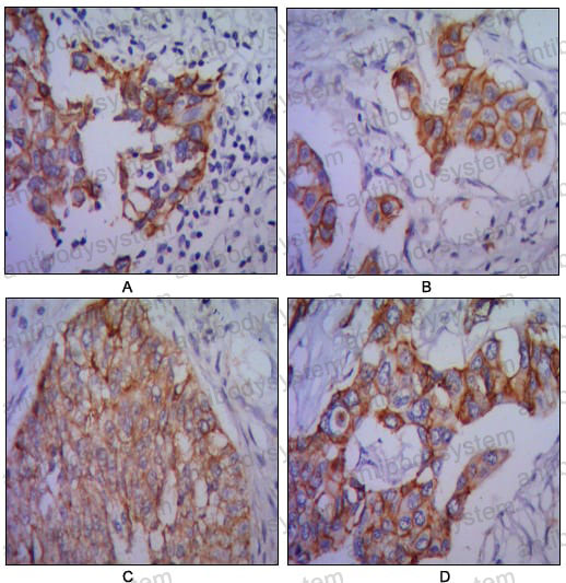
| Валидировано для | FCM IF IHC WB Проточная цитометрия; Иммунофлуоресценция; Иммуногистохимия; Вестерн-блоттинг |
| Рекомендуемые разведения | FCM: 1:200-1:400, IF: 1:200-1:1000, IHC: 1:200-1:1000, WB: 1:500-1:2000 |
| Метод очистки | Очистка с белками A/G из супернатанта клеточной культуры |
| Чистота | >95% |
| Состав буфера | 0.01M PBS, pH 7.4, 0.05% натрия азид |
| Условия доставки | термобокс с аккумуляторами холода |
| Условия хранения | Хранить при 4°C не более 1-2 недель. Хранить при -20°C - 12 месяцев |
| Срок хранения | 12 месяцев |
| Производитель | AntibodySystem |
| Ссылка на страницу товара на сайте производителя | https://www.antibodysystem.com/product/35191.html |
|
Артикул
|
Наименование |
Производитель
|
|---|
|
Артикул
|
Наименование |
Производитель
|
|---|
|
Артикул
|
Наименование |
Производитель
|
|---|
|
Артикул
|
Наименование |
Производитель
|
|---|
Акции и предложения
Популярные продукты:
Bovine Jun Dimerization Protein 2 ELISA kit (E11J0010)
Организм: корова
Porcine 11 cis retinol dehydrogenase ELISA kit (E07R0428)
Организм: свинья
Goat Glutamate receptor 1(GRIA1) ELISA kit (E06G0390)
Организм: коза
Human Glutamate receptor 1(GRIA1) ELISA kit (E01G0390)
Организм: человек
Диапазон определения: 0.5-10 нг/мл
Чувствительность: 0.1 нг/мл
Диапазон определения: 0.5-10 нг/мл
Чувствительность: 0.1 нг/мл
Mouse Annexin Ⅲ(ANX Ⅲ) ELISA kit (E03A1545)
Организм: мышь

