| UNIPROT | Q9Y286 |
Anti-CD328/SIGLEC7 Antibody (R3X65) (RHJ85502)
Реактивность подтвержденная:
человек
Источник (хозяин):
мышь
Валидировано для:
ELISA
FCM
IHC
Характеристики
Техническое описание
| Русское название | RHJ85502 Моноклональное антитело к CD328/SIGLEC7 (R3X65) <AntibodySystem,Китай> |
| Каталожный номер | RHJ85502 |
| Название антигена | Sialic Acid Binding Ig Like Lectin 7 (SIGLEC7) |
| UNIPROT | Q9Y286 |
| Английские синонимы | CDw328, CD328, CD 328, CD-328, p75, AIRM1, D-Siglec, QA79, SIGLEC-7, P75/AIRM1, Adhesion inhibitory receptor molecule 1, QA79 membrane protein |
Реактивность подтвержденная Нужна другая реактивность? |
человек |
| Источник (хозяин) | мышь |
| Изотип | IgG1 |
| Клональность | моноклональное |
| Клон | R3X65 |
| Рекомбинантное | да |
| Готовое к использованию | нет |
| Концентрация | 1 мг/мл |
| Конъюгат | нет |
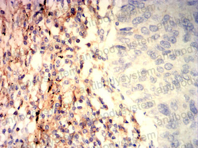
| Валидировано для | ELISA FCM IHC Иммуноферментный анализ; Проточная цитометрия; Иммуногистохимия |
| Рекомендуемые разведения | ELISA: 1:10000, FCM: 1:200-1:400, IHC: 1:200-1:1000 |
| Метод очистки | Очистка с белками A/G из супернатанта клеточной культуры |
| Чистота | >95% |
| Состав буфера | 0.01M PBS, pH 7.4, 0.05% натрия азид |
| Условия хранения | Хранить при 4°C не более 1-2 недель. Хранить при -20°C - 12 месяцев |
| Срок хранения | 12 месяцев |
| Производитель | AntibodySystem |
| Ссылка на страницу товара на сайте производителя | https://www.antibodysystem.com/product/36825.html |
|
Артикул
|
Наименование |
Производитель
|
|---|
|
Артикул
|
Наименование |
Производитель
|
|---|
Акции и предложения
Популярные продукты:
OR5D3 Mouse Monoclonal Antibody (BF9376)
Источник (хозяин): мышь
Реактивность подтвержденная: человек, мышь
Валидировано для: WB
Реактивность подтвержденная: человек, мышь
Валидировано для: WB
Monkey Proteasome subunit β type 7(PSMB7) ELISA kit (E09P0872)
Организм: обезьяна
Rat Secreted Frizzled Related Protein 1 ELISA kit (E02S0018)
Организм: крыса
Anti-CD328/SIGLEC7 Antibody (R3X65) (RHJ85502)
Источник (хозяин): мышь
Реактивность подтвержденная: человек
Валидировано для: ELISA, FCM, IHC
Реактивность подтвержденная: человек
Валидировано для: ELISA, FCM, IHC
Anti-Human CTGF/CCN2 Antibody (SAA0452), FITC (FHD82311)
Источник (хозяин): мышь
Реактивность подтвержденная: человек
Валидировано для: ELISA, FCM
Реактивность подтвержденная: человек
Валидировано для: ELISA, FCM
RANKL Antibody (AF0313)
Источник (хозяин): кролик
Реактивность подтвержденная: человек, мышь, крыса
Валидировано для: IHC, WB, IF, ICC
Реактивность подтвержденная: человек, мышь, крыса
Валидировано для: IHC, WB, IF, ICC

