| UNIPROT | P22607 |
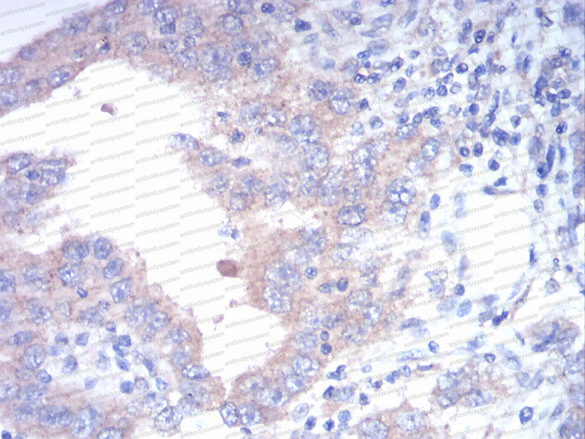
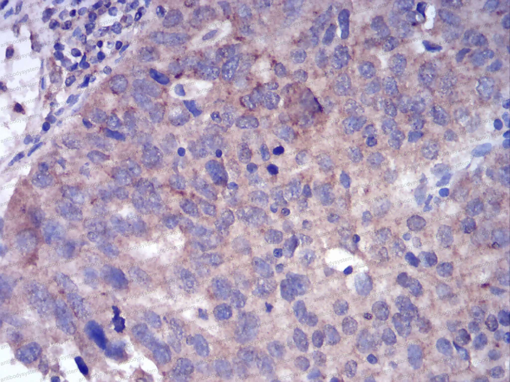
Anti-CD333/FGFR3 Antibody (R3G16) (RHD52903)
Реактивность подтвержденная:
человек
Источник (хозяин):
мышь
Валидировано для:
ELISA
FCM
IHC
Характеристики
Техническое описание
| Русское название | RHD52903 Моноклональное антитело к CD333/FGFR3 (R3G16) <AntibodySystem,Китай> |
| Каталожный номер | RHD52903 |
| Название антигена | Fibroblast Growth Factor Receptor 3 (FGFR3) |
| UNIPROT | P22607 |
| Английские синонимы | CD333, CD 333, CD-333, ACH, CEK2, JTK4, Achondroplasia, Thanatophoric Dwarfism |
| Русские синонимы | Кластер дифференцировки 333 |
Реактивность подтвержденная Нужна другая реактивность? |
человек |
| Источник (хозяин) | мышь |
| Изотип | IgG1 |
| Клональность | моноклональное |
| Клон | R3G16 |
| Рекомбинантное | да |
| Готовое к использованию | нет |
| Концентрация | 1 мг/мл |
| Конъюгат | нет |
| Валидировано для | ELISA FCM IHC Иммуноферментный анализ; Проточная цитометрия; Иммуногистохимия |
| Рекомендуемые разведения | ELISA: 1:10000, FCM: 1:200-1:400, IHC: 1:200-1:1000 |
| Метод очистки | Очистка с белками A/G из супернатанта клеточной культуры |
| Чистота | >95% |
| Состав буфера | 0.01M PBS, pH 7.4, 0.05% натрия азид |
| Условия хранения | Хранить при 4°C не более 1-2 недель. Хранить при -20°C - 12 месяцев |
| Срок хранения | 12 месяцев |
| Производитель | AntibodySystem |
| Ссылка на страницу товара на сайте производителя | https://www.antibodysystem.com/product/35292.html |
|
Артикул
|
Наименование |
Производитель
|
|---|
|
Артикул
|
Наименование |
Производитель
|
|---|
|
Артикул
|
Наименование |
Производитель
|
|---|
|
Артикул
|
Наименование |
Производитель
|
|---|
Акции и предложения
Популярные продукты:
Rat Interleukin-1 receptor 8 ELISA kit (E02I0814)
Организм: крыса
Monkey Cytoplasmic protein NCK2(NCK2) ELISA kit (E09C2360)
Организм: обезьяна
Goat Anti Endothelin 1 Antibody ELISA kit (E06E0177)
Организм: коза
Anti-Influenza B virus/Flu-B virus Monoclonal Antibody (1A261) (MVV99502)
Источник (хозяин): мышь
Реактивность подтвержденная: вирусы
Реактивность подтвержденная: вирусы
Anti-CD333/FGFR3 Antibody (R3G16) (RHD52903)
Источник (хозяин): мышь
Реактивность подтвержденная: человек
Валидировано для: ELISA, FCM, IHC
Реактивность подтвержденная: человек
Валидировано для: ELISA, FCM, IHC
Anti-CD333/FGFR3 Antibody (R1S08) (RHD52901)
Источник (хозяин): кролик
Реактивность подтвержденная: человек, мышь, крыса
Валидировано для: WB
Реактивность подтвержденная: человек, мышь, крыса
Валидировано для: WB

