| UNIPROT | P20138 |
Anti-CD33 Antibody (R3F51) (RHD37502)
Реактивность подтвержденная:
человек
Источник (хозяин):
мышь
Валидировано для:
ELISA
FCM
IHC
WB
Характеристики
Техническое описание
| Русское название | RHD37502 Моноклональное антитело к CD33 (R3F51) <AntibodySystem,Китай> |
| Каталожный номер | RHD37502 |
| Название антигена | Sialic Acid Binding Ig Like Lectin 3 (SIGLEC3) |
| UNIPROT | P20138 |
| Английские синонимы | CD33, CD 33, CD-33, Gp67, p67, Myeloid cell surface antigen CD33, Siglec-3 |
Реактивность подтвержденная Нужна другая реактивность? |
человек |
| Источник (хозяин) | мышь |
| Изотип | IgG1 |
| Клональность | моноклональное |
| Клон | R3F51 |
| Рекомбинантное | да |
| Готовое к использованию | нет |
| Концентрация | 1 мг/мл |
| Конъюгат | нет |
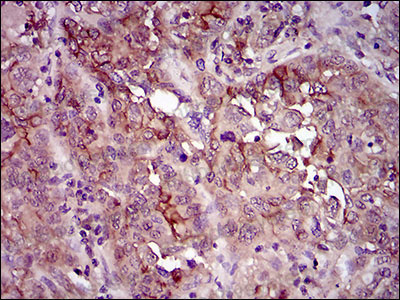
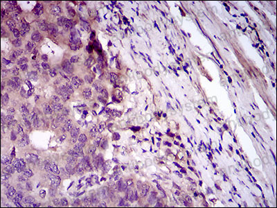
| Валидировано для | ELISA FCM IHC WB Иммуноферментный анализ; Проточная цитометрия; Иммуногистохимия; Вестерн-блоттинг |
| Рекомендуемые разведения | ELISA: 1:10000, FCM: 1:200-1:400, IHC: 1:200-1:1000, WB: 1:500-1:2000 |
| Метод очистки | Очистка с белками A/G из супернатанта клеточной культуры |
| Чистота | >95% |
| Состав буфера | 0.01M PBS, pH 7.4, 0.05% натрия азид |
| Условия хранения | Хранить при 4°C не более 1-2 недель. Хранить при -20°C - 12 месяцев |
| Срок хранения | 12 месяцев |
| Производитель | AntibodySystem |
| Ссылка на страницу товара на сайте производителя | https://www.antibodysystem.com/product/35228.html |
|
Артикул
|
Наименование |
Производитель
|
|---|
|
Артикул
|
Наименование |
Производитель
|
|---|
|
Артикул
|
Наименование |
Производитель
|
|---|
|
Артикул
|
Наименование |
Производитель
|
|---|
|
Артикул
|
Наименование |
Производитель
|
|---|
|
Артикул
|
Наименование |
Производитель
|
|---|
Акции и предложения
Популярные продукты:
ELISA Kit DIY Materials for Cytochrome P450 11B1 (CYP11B1) (KSD546Mu01)
Организм: мышь
Диапазон определения: 0.156-10 нг/мл
Чувствительность: 0.057 нг/мл
Диапазон определения: 0.156-10 нг/мл
Чувствительность: 0.057 нг/мл
Canine A kinase anchor protein 14(AKAP14) ELISA kit (E08A1354)
Организм: собака
Porcine Galanin Receptor 2 ELISA kit (E07G0078)
Организм: свинья
Canine Carboxylesterase 1 ELISA kit (E08C0060)
Организм: собака

