| UNIPROT | P04626 |
Anti-CD340/ERBB2/HER2/NEU Antibody (R2Y77) (RHC09608)
Реактивность подтвержденная:
человек
Источник (хозяин):
мышь
Валидировано для:
IHC
Характеристики
Техническое описание
| Русское название | RHC09608 Моноклональное антитело к CD340/ERBB2/HER2/NEU (R2Y77) <AntibodySystem,Китай> |
| Каталожный номер | RHC09608 |
| Название антигена | Epidermal Growth Factor Receptor 2 (EGFR2) |
| UNIPROT | P04626 |
| Английские синонимы | CD340, CD 340, CD-340, ErbB2, HER-2/neu, HER2, NEU, MLN 19, NGL, TKR1, p185, V-Erb-B2 Erythroblastic Leukemia Viral Oncogene Homolog 2, Neuro/Glioblastoma Derived Oncogene Homolog |
Реактивность подтвержденная Нужна другая реактивность? |
человек |
| Источник (хозяин) | мышь |
| Изотип | IgG2b |
| Клональность | моноклональное |
| Клон | R2Y77 |
| Рекомбинантное | да |
| Готовое к использованию | нет |
| Концентрация | 1 мг/мл |
| Конъюгат | нет |
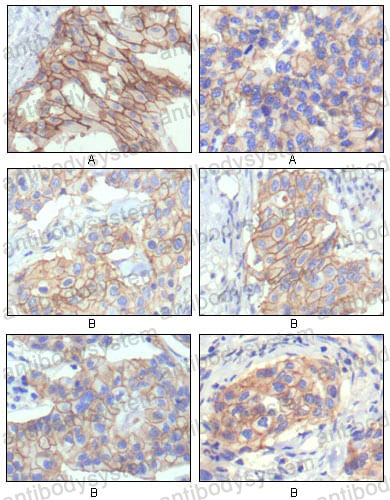
| Валидировано для | IHC Иммуногистохимия |
| Рекомендуемые разведения | IHC: 1:200-1:1000 |
| Метод очистки | Очистка с белками A/G из супернатанта клеточной культуры |
| Чистота | >95% |
| Состав буфера | 0.01M PBS, pH 7.4, 0.05% натрия азид |
| Условия доставки | термобокс с аккумуляторами холода |
| Условия хранения | Хранить при 4°C не более 1-2 недель. Хранить при -20°C - 12 месяцев |
| Срок хранения | 12 месяцев |
| Производитель | AntibodySystem |
| Ссылка на страницу товара на сайте производителя | https://www.antibodysystem.com/product/34561.html |
|
Артикул
|
Наименование |
Производитель
|
|---|
|
Артикул
|
Наименование |
Производитель
|
|---|
|
Артикул
|
Наименование |
Производитель
|
|---|
|
Артикул
|
Наименование |
Производитель
|
|---|
|
Артикул
|
Наименование |
Производитель
|
|---|
|
Артикул
|
Наименование |
Производитель
|
|---|
Акции и предложения
Популярные продукты:
Chicken Neuritin ELISA kit (E12N0599)
Организм: курица
Guinea Pig Tubulin folding cofactor B ELISA kit (E05T0768)
Организм: морская свинка
Bovine Anti-Ovary Antibody,AOAb ELISA Kit (E11A2099)
Организм: корова
Anti-4R-HNE/4-HNE Antibody (R310) (RHK61402)
Источник (хозяин): мышь
Реактивность подтвержденная: для всех
Валидировано для: ELISA, WB
Реактивность подтвержденная: для всех
Валидировано для: ELISA, WB
Recombinant Human KISS1R Protein, N-His (YHJ36401)
Источник (хозяин): E.coli
Организм: человек
Фрагмент: Ile279-Leu398
Теги: N-His
Биоактивность: нет
Организм: человек
Фрагмент: Ile279-Leu398
Теги: N-His
Биоактивность: нет
PE Anti-Human CD8a Antibody[OKT-8] (FCE2508)
Источник (хозяин): мышь
Реактивность подтвержденная: человек
Валидировано для: FCM
Реактивность подтвержденная: человек
Валидировано для: FCM

