| UNIPROT | P21453 |
Anti-CD363/S1PR1 Antibody (R3F85) (RHD45801)
Реактивность подтвержденная:
человек
Источник (хозяин):
мышь
Валидировано для:
ELISA
FCM
IHC
WB
Характеристики
Техническое описание
| Русское название | RHD45801 Моноклональное антитело к CD363/S1PR1 (R3F85) <AntibodySystem,Китай> |
| Каталожный номер | RHD45801 |
| Название антигена | Sphingosine 1 Phosphate Receptor 1 (S1PR1) |
| UNIPROT | P21453 |
| Английские синонимы | CD363, CD 363, CD-363, EDG1, S1-PR1, S1P1, ECGF1, CHEDG1, Endothelial differentiation G-protein coupled receptor 1, Sphingolipid G-Protein-Coupled Receptor 1 |
Реактивность подтвержденная Нужна другая реактивность? |
человек |
| Источник (хозяин) | мышь |
| Изотип | IgG2a |
| Клональность | моноклональное |
| Клон | R3F85 |
| Рекомбинантное | да |
| Готовое к использованию | нет |
| Концентрация | 1 мг/мл |
| Конъюгат | нет |
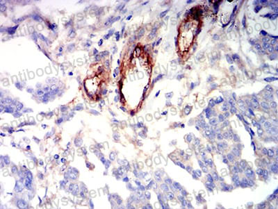
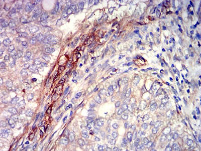
| Валидировано для | ELISA FCM IHC WB Иммуноферментный анализ; Проточная цитометрия; Иммуногистохимия; Вестерн-блоттинг |
| Рекомендуемые разведения | ELISA: 1:10000, FCM: 1:200-1:400, IHC: 1:200-1:1000, WB: 1:500-1:2000 |
| Метод очистки | Очистка с белками A/G из супернатанта клеточной культуры |
| Чистота | >95% |
| Состав буфера | 0.01M PBS, pH 7.4, 0.05% натрия азид |
| Условия хранения | Хранить при 4°C не более 1-2 недель. Хранить при -20°C - 12 месяцев |
| Срок хранения | 12 месяцев |
| Производитель | AntibodySystem |
| Ссылка на страницу товара на сайте производителя | https://www.antibodysystem.com/product/35262.html |
|
Артикул
|
Наименование |
Производитель
|
|---|
|
Артикул
|
Наименование |
Производитель
|
|---|
|
Артикул
|
Наименование |
Производитель
|
|---|
|
Артикул
|
Наименование |
Производитель
|
|---|
|
Артикул
|
Наименование |
Производитель
|
|---|
Акции и предложения
Популярные продукты:
Phytic Acid Colorimetric Assay Kit (E-BC-K1210-M)
Организм: для всех
Диапазон определения: 6.05 мкмоль/л
Чувствительность: 6.05-500 мкмоль/л
Диапазон определения: 6.05 мкмоль/л
Чувствительность: 6.05-500 мкмоль/л
Monoclonal Antibody to Keratin 6A (KRT6A) (MAD234Hu28)
Источник (хозяин): мышь
Реактивность подтвержденная: человек
Валидировано для: WB
Реактивность подтвержденная: человек
Валидировано для: WB
Rabbit LIM/homeobox protein Lhx4(LHX4) ELISA kit (E04L0103)
Организм: кролик
Chicken Cystatin B (CSTB/CST6/STFB) ELISA kit (E12C2130)
Организм: курица

