| UNIPROT | P28907 |
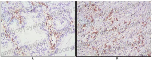
Anti-CD38/ADPRC 1 Antibody (R3H59) (RHD80807)
Реактивность подтвержденная:
человек
Источник (хозяин):
мышь
Валидировано для:
IHC
Характеристики
Техническое описание
| Русское название | RHD80807 Моноклональное антитело к CD38/ADPRC 1 (R3H59) <AntibodySystem,Китай> |
| Каталожный номер | RHD80807 |
| Название антигена | Cyclic ADP Ribose Hydrolase (cADPRH) |
| UNIPROT | P28907 |
| Английские синонимы | CD38, CD 38, CD-38, ADPRC 1, c-ADPRH, T10, p45, 2 |
| Русские синонимы | Кластер дифференцировки 38 |
Реактивность подтвержденная Нужна другая реактивность? |
человек |
| Источник (хозяин) | мышь |
| Изотип | IgG1 |
| Клональность | моноклональное |
| Клон | R3H59 |
| Рекомбинантное | да |
| Готовое к использованию | нет |
| Концентрация | 1 мг/мл |
| Конъюгат | нет |
| Валидировано для | IHC Иммуногистохимия |
| Рекомендуемые разведения | IHC: 1:200-1:1000 |
| Метод очистки | Очистка с белками A/G из супернатанта клеточной культуры |
| Чистота | >95% |
| Состав буфера | 0.01M PBS, pH 7.4, 0.05% натрия азид |
| Условия хранения | Хранить при 4°C не более 1-2 недель. Хранить при -20°C - 12 месяцев |
| Срок хранения | 12 месяцев |
| Производитель | AntibodySystem |
| Ссылка на страницу товара на сайте производителя | https://www.antibodysystem.com/product/35434.html |
|
Артикул
|
Наименование |
Производитель
|
|---|
|
Артикул
|
Наименование |
Производитель
|
|---|
|
Артикул
|
Наименование |
Производитель
|
|---|
|
Артикул
|
Наименование |
Производитель
|
|---|
|
Артикул
|
Наименование |
Производитель
|
|---|
Акции и предложения
Популярные продукты:
Recombinant Human ELAVL4/HuD/Hu-antigen D Protein, N-His (YHD70501)
Источник (хозяин): E.coli
Организм: человек
Фрагмент: Val2-Ser380
Теги: N-His
Биоактивность: нет
Организм: человек
Фрагмент: Val2-Ser380
Теги: N-His
Биоактивность: нет
Anti-CD38/ADPRC 1 Antibody (R3H59) (RHD80807)
Источник (хозяин): мышь
Реактивность подтвержденная: человек
Валидировано для: IHC
Реактивность подтвержденная: человек
Валидировано для: IHC
Multiplex Assay Kit for Interleukin 31 (IL31) (LMB179Ra)
Организм: крыса
Диапазон определения: 0.98-1000 пг/мл
Чувствительность: 0.327 пг/мл
Диапазон определения: 0.98-1000 пг/мл
Чувствительность: 0.327 пг/мл
ELISA Kit DIY Materials for Prolactin (PRL) (KSA846Bo01)
Организм: корова
Диапазон определения: 1.56-100 нг/мл
Чувствительность: 0.64 нг/мл
Диапазон определения: 1.56-100 нг/мл
Чувствительность: 0.64 нг/мл
ELISA Kit DIY Materials for Slit Homolog 3 (Slit3) (KSD353Ra01)
Организм: крыса
Диапазон определения: 0.156-10 нг/мл
Чувствительность: 0.065 нг/мл
Диапазон определения: 0.156-10 нг/мл
Чувствительность: 0.065 нг/мл
ELISA Kit DIY Materials for Insulin Like Growth Factor Binding Protein 1 (IGFBP1) (KSA052Po01)
Организм: свинья
Диапазон определения: 3.12-200 нг/мл
Чувствительность: 1.32 нг/мл
Диапазон определения: 3.12-200 нг/мл
Чувствительность: 1.32 нг/мл

