| UNIPROT | P28907 |
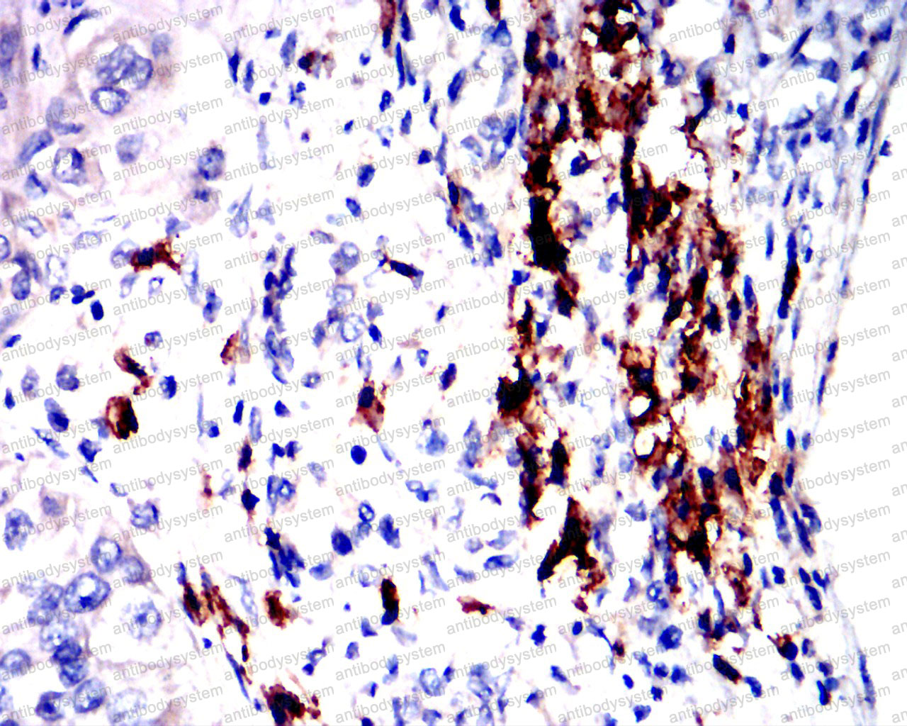
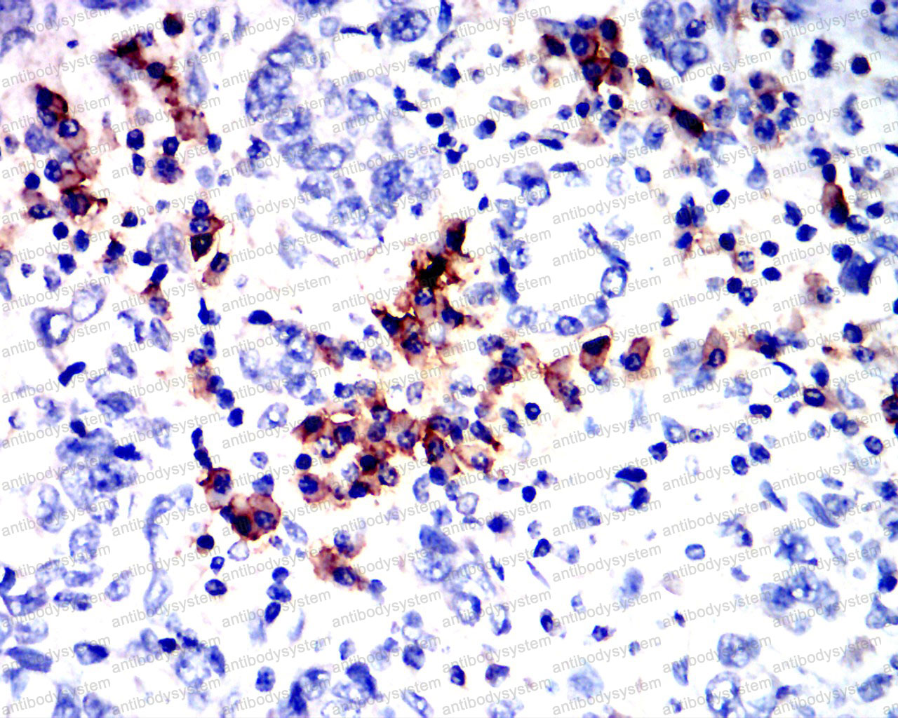
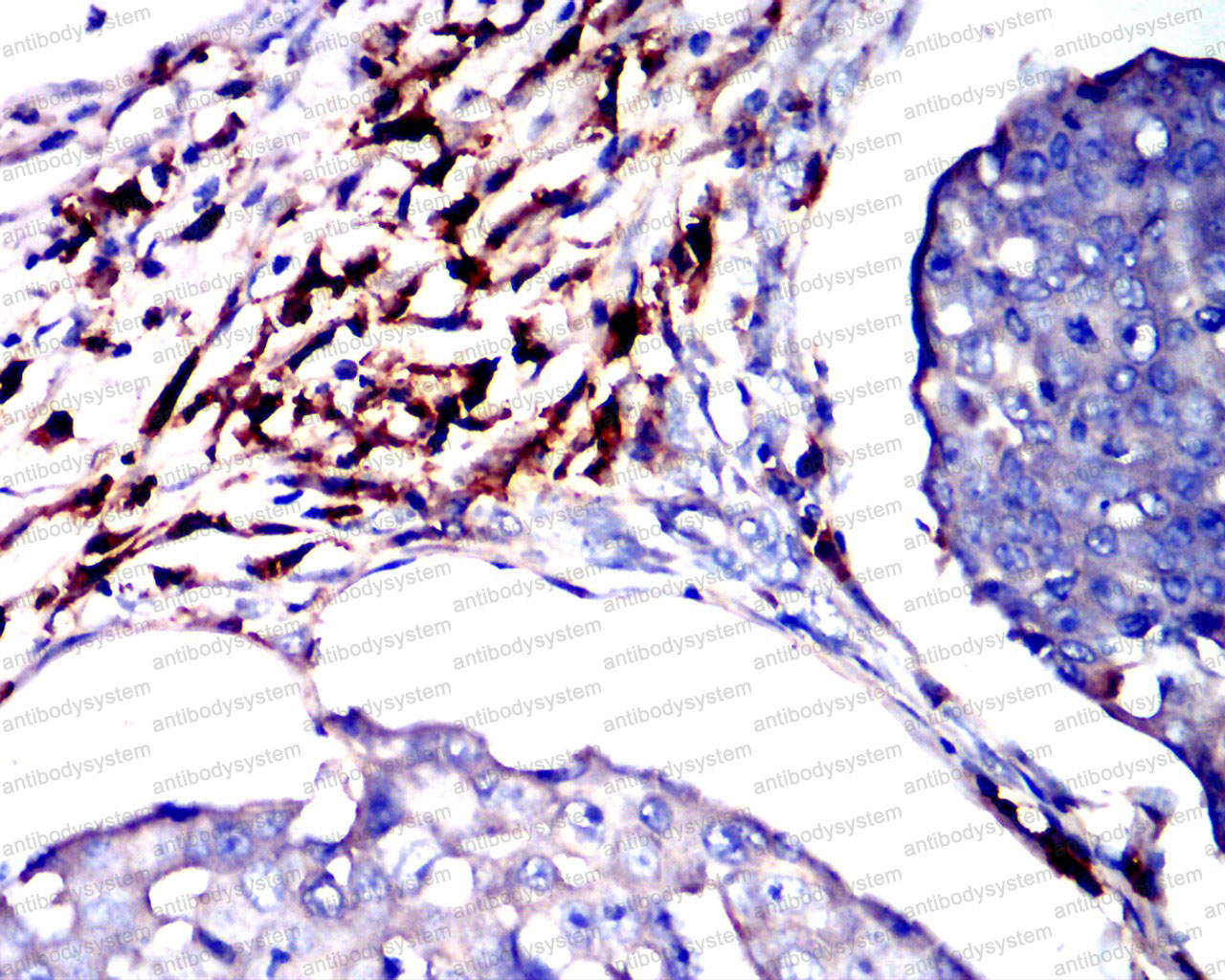
Anti-CD38/ADPRC 1 Antibody (R3H61) (RHD80809)
Реактивность подтвержденная:
человек
Источник (хозяин):
мышь
Валидировано для:
IHC
Характеристики
Техническое описание
| Русское название | RHD80809 Моноклональное антитело к CD38/ADPRC 1 (R3H61) <AntibodySystem,Китай> |
| Каталожный номер | RHD80809 |
| Название антигена | Cyclic ADP Ribose Hydrolase (cADPRH) |
| UNIPROT | P28907 |
| Английские синонимы | CD38, CD 38, CD-38, ADPRC 1, c-ADPRH, T10, p45, 2 |
| Русские синонимы | Кластер дифференцировки 38 |
Реактивность подтвержденная Нужна другая реактивность? |
человек |
| Источник (хозяин) | мышь |
| Изотип | IgG1 |
| Клональность | моноклональное |
| Клон | R3H61 |
| Рекомбинантное | да |
| Готовое к использованию | нет |
| Концентрация | 1 мг/мл |
| Конъюгат | нет |
| Валидировано для | IHC Иммуногистохимия |
| Рекомендуемые разведения | IHC: 1:100-1:200 |
| Метод очистки | Очистка с белками A/G из супернатанта клеточной культуры |
| Чистота | >95% |
| Состав буфера | 0.01M PBS, pH 7.4, 0.05% натрия азид |
| Условия хранения | Хранить при 4°C не более 1-2 недель. Хранить при -20°C - 12 месяцев |
| Срок хранения | 12 месяцев |
| Производитель | AntibodySystem |
| Ссылка на страницу товара на сайте производителя | https://www.antibodysystem.com/product/35436.html |
|
Артикул
|
Наименование |
Производитель
|
|---|
|
Артикул
|
Наименование |
Производитель
|
|---|
|
Артикул
|
Наименование |
Производитель
|
|---|
|
Артикул
|
Наименование |
Производитель
|
|---|
|
Артикул
|
Наименование |
Производитель
|
|---|
Акции и предложения
Популярные продукты:
Sheep Peroxiredoxin 5 (PRDX5) ELISA Kit (E14T0338)
Организм: овца
Monkey Cytochrome P450 2D6(CYP2D6) ELISA kit (E09C2242)
Организм: обезьяна
Chicken Renin ELISA kit (E12R0022)
Организм: курица

