| UNIPROT | P07766 |
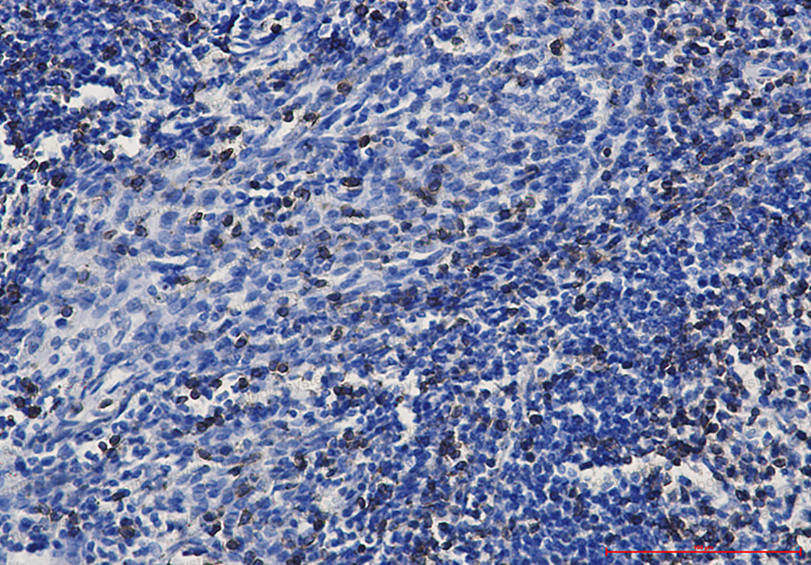
Anti-CD3E Antibody (R1L15) (RHC27703)
Реактивность подтвержденная:
человек
Источник (хозяин):
кролик
Валидировано для:
IHC
IP
WB
Характеристики
Техническое описание
| Русское название | RHC27703 Моноклональное антитело к CD3E (R1L15) <AntibodySystem,Китай> |
| Каталожный номер | RHC27703 |
| Название антигена | T-Cell Surface Glycoprotein CD3 Epsilon (CD3e) |
| UNIPROT | P07766 |
| Английские синонимы | T3E, TCRE, CD3-E Molecule,Epsilon(CD3-TCR Complex), T-cell surface antigen T3/Leu-4 epsilon chain |
Реактивность подтвержденная Нужна другая реактивность? |
человек |
| Источник (хозяин) | кролик |
| Изотип | IgG |
| Клональность | моноклональное |
| Клон | R1L15 |
| Рекомбинантное | да |
| Готовое к использованию | нет |
| Концентрация | 1 мг/мл |
| Конъюгат | нет |
| Валидировано для | IHC IP WB Иммуногистохимия; Иммунопреципитация; Вестерн-блоттинг |
| Рекомендуемые разведения | IHC: 1:50-1:100, IP: 1:20, WB: 1:500-1:1000 |
| Метод очистки | Очистка с белками A/G из супернатанта клеточной культуры |
| Чистота | >95% |
| Состав буфера | 0.01M PBS, pH 7.4, 0.05% БСА, 50% глицерин, 0.05% азид натрия |
| Условия доставки | термобокс с аккумуляторами холода |
| Условия хранения | Хранить при -20 С -12 месяцев |
| Срок хранения | 12 месяцев |
| Производитель | AntibodySystem |
| Ссылка на страницу товара на сайте производителя | https://www.antibodysystem.com/product/30658.html |
|
Артикул
|
Наименование |
Производитель
|
|---|
|
Артикул
|
Наименование |
Производитель
|
|---|
|
Артикул
|
Наименование |
Производитель
|
|---|
|
Артикул
|
Наименование |
Производитель
|
|---|
Акции и предложения
Популярные продукты:
Anti-Human CD261/TNFRSF10A/DR4 Antibody (Fs0356) (FHA05920)
Источник (хозяин): мышь
Реактивность подтвержденная: человек
Валидировано для: ELISA, FCM
Реактивность подтвержденная: человек
Валидировано для: ELISA, FCM
Monkey Argininosuccinate lyase(ASL) ELISA kit (E09A1722)
Организм: обезьяна
Bovine Cystatin F(CST7) ELISA kit (E11C2126)
Организм: корова
Goat Thymine DNA Glycosylase ELISA kit (E06T0890)
Организм: коза
Monkey Aquaporin-6(AQP6) ELISA kit (E09A1616)
Организм: обезьяна

