| UNIPROT | P14770 |
Anti-CD42a/GP9 Antibody (R3D67) (RHD06601)
Реактивность подтвержденная:
человек, мышь
Источник (хозяин):
мышь
Валидировано для:
ELISA
FCM
IHC
WB
Характеристики
Техническое описание
| Русское название | RHD06601 Моноклональное антитело к CD42a/GP9 (R3D67) <AntibodySystem,Китай> |
| Каталожный номер | RHD06601 |
| Название антигена | Glycoprotein IX, Platelet (GP9) |
| UNIPROT | P14770 |
| Английские синонимы | CD42-A, CD42a, CD 42a, CD-42a, GPIX, Glycoprotein 9 |
Реактивность подтвержденная Нужна другая реактивность? |
человек, мышь |
| Источник (хозяин) | мышь |
| Изотип | IgG1 |
| Клональность | моноклональное |
| Клон | R3D67 |
| Рекомбинантное | да |
| Готовое к использованию | нет |
| Концентрация | 1 мг/мл |
| Конъюгат | нет |
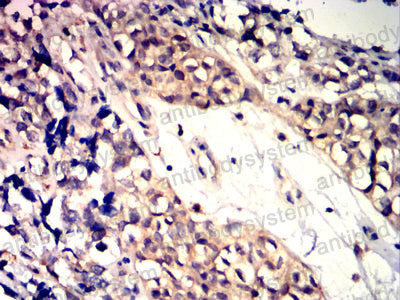
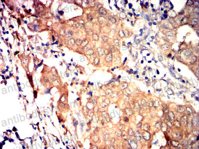
| Валидировано для | ELISA FCM IHC WB Иммуноферментный анализ; Проточная цитометрия; Иммуногистохимия; Вестерн-блоттинг |
| Рекомендуемые разведения | ELISA: 1:10000, FCM: 1:200-1:400, IHC: 1:200-1:1000, WB: 1:500-1:2000 |
| Метод очистки | Очистка с белками A/G из супернатанта клеточной культуры |
| Чистота | >95% |
| Состав буфера | 0.01M PBS, pH 7.4, 0.05% натрия азид |
| Условия доставки | термобокс с аккумуляторами холода |
| Условия хранения | Хранить при 4°C не более 1-2 недель. Хранить при -20°C - 12 месяцев |
| Срок хранения | 12 месяцев |
| Производитель | AntibodySystem |
| Ссылка на страницу товара на сайте производителя | https://www.antibodysystem.com/product/35046.html |
|
Артикул
|
Наименование |
Производитель
|
|---|
|
Артикул
|
Наименование |
Производитель
|
|---|
|
Артикул
|
Наименование |
Производитель
|
|---|
|
Артикул
|
Наименование |
Производитель
|
|---|
Акции и предложения
Популярные продукты:
TLR5 Mouse Monoclonal Antibody (BF8309)
Источник (хозяин): мышь
Реактивность подтвержденная: человек, мышь, крыса
Валидировано для: WB
Реактивность подтвержденная: человек, мышь, крыса
Валидировано для: WB
ELISA Kit for Telomerase Reverse Transcriptase (TERT) (RC241S-Ra)
Организм: крыса
Диапазон определения: 31.2-2000 пг/мл
Чувствительность: 12.2 пг/мл
Диапазон определения: 31.2-2000 пг/мл
Чувствительность: 12.2 пг/мл
Bovine Aldolase,ALD ELISA Kit (E11A1389)
Организм: корова
Recombinant Mouse IL4RA/CD124 Protein (Fc Tag) (PKSM041368)
Источник (хозяин): HEK293
Организм: мышь
Фрагмент: Ile26-Arg233
Теги: C-Fc
Биоактивность: нет
Организм: мышь
Фрагмент: Ile26-Arg233
Теги: C-Fc
Биоактивность: нет
Anti-Human CD285/TLR5 Polyclonal Antibody (PHA95402)
Источник (хозяин): кролик
Реактивность подтвержденная: человек
Валидировано для: ELISA, IHC, WB
Реактивность подтвержденная: человек
Валидировано для: ELISA, IHC, WB
Anti-Human TLR5 Polyclonal Antibody (PHA95401)
Источник (хозяин): кролик
Реактивность подтвержденная: человек
Валидировано для: ELISA, IHC, WB
Реактивность подтвержденная: человек
Валидировано для: ELISA, IHC, WB

