| UNIPROT | P16070 |
Anti-CD44 Antibody (R3E22) (RHD14802)
Реактивность подтвержденная:
человек, мышь, крыса, обезьяна
Источник (хозяин):
мышь
Валидировано для:
FCM
IF
IHC
WB
Характеристики
Техническое описание
| Русское название | RHD14802 Моноклональное антитело к CD44 (R3E22) <AntibodySystem,Китай> |
| Каталожный номер | RHD14802 |
| Название антигена | Homing Associated Cell Adhesion Molecule (HCAM) |
| UNIPROT | P16070 |
| Английские синонимы | CDW44, CD44, CD 44, CD-44, CSPG8, ECMR-III, HCELL, IN, LHR, MC56, MDU2, MDU3, MIC4, MUTCH-I, Pgp1, Hematopoietic Cell E- And L-Selectin Ligand, Chondroitin Sulfate Proteoglycan 8 |
Реактивность подтвержденная Нужна другая реактивность? |
человек, мышь, крыса, обезьяна |
| Источник (хозяин) | мышь |
| Изотип | IgG1 |
| Клональность | моноклональное |
| Клон | R3E22 |
| Рекомбинантное | да |
| Готовое к использованию | нет |
| Концентрация | 1 мг/мл |
| Конъюгат | нет |
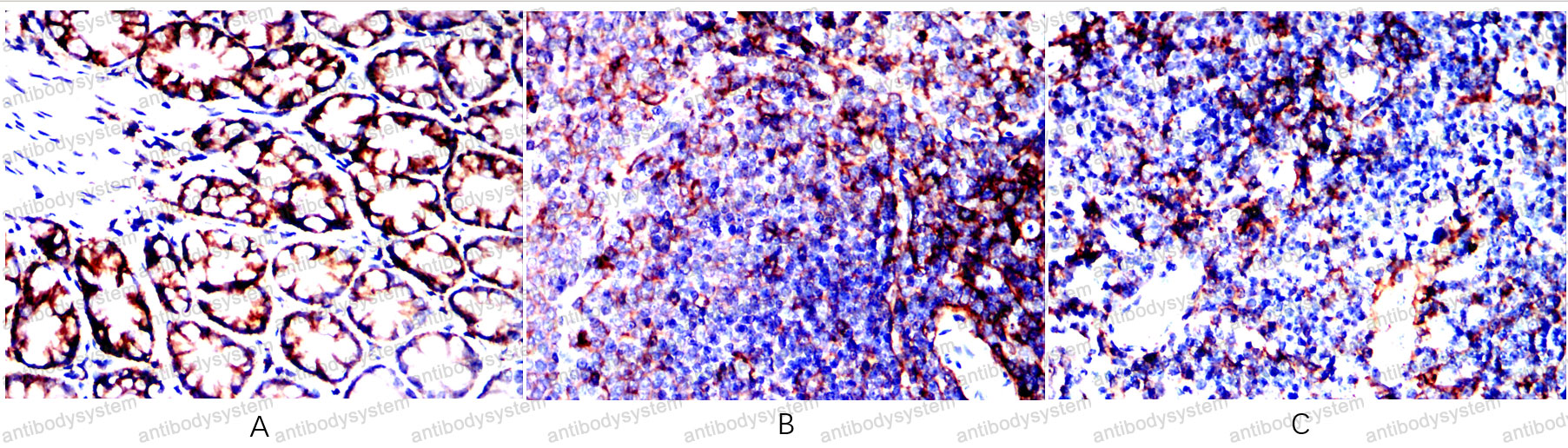
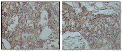
| Валидировано для | FCM IF IHC WB Проточная цитометрия; Иммунофлуоресценция; Иммуногистохимия; Вестерн-блоттинг |
| Рекомендуемые разведения | FCM: 1:200-1:400, IF: 1:200-1:1000, IHC: 1:200-1:1000, WB: 1:500-1:1000 |
| Метод очистки | Очистка с белками A/G из супернатанта клеточной культуры |
| Чистота | >95% |
| Состав буфера | 0.01M PBS, pH 7.4, 0.05% натрия азид |
| Условия доставки | термобокс с аккумуляторами холода |
| Условия хранения | Хранить при 4°C не более 1-2 недель. Хранить при -20°C - 12 месяцев |
| Срок хранения | 12 месяцев |
| Производитель | AntibodySystem |
| Ссылка на страницу товара на сайте производителя | https://www.antibodysystem.com/product/35100.html |
|
Артикул
|
Наименование |
Производитель
|
|---|
|
Артикул
|
Наименование |
Производитель
|
|---|
|
Артикул
|
Наименование |
Производитель
|
|---|
|
Артикул
|
Наименование |
Производитель
|
|---|
|
Артикул
|
Наименование |
Производитель
|
|---|
Акции и предложения
Популярные продукты:
Rabbit Condensin 2 complex subunit D3(NCAPD3) ELISA kit (E04C2354)
Организм: кролик
Bovine Cluster of differentiation 44 ELISA kit (E11C0718)
Организм: корова
Recombinant Human CD44 Protein, N-His (YHD14801)
Источник (хозяин): E.coli
Организм: человек
Фрагмент: Gln21-Pro220
Теги: N-His
Биоактивность: нет
Организм: человек
Фрагмент: Gln21-Pro220
Теги: N-His
Биоактивность: нет
APC Anti-Rat CD44H Antibody[OX-49] (FCE3530)
Источник (хозяин): мышь
Реактивность подтвержденная: крыса
Валидировано для: FCM
Реактивность подтвержденная: крыса
Валидировано для: FCM
APC Anti-Human/Mouse CD44 Antibody[IM7] (FCE2338)
Источник (хозяин): крыса
Реактивность подтвержденная: человек, мышь
Валидировано для: FCM
Реактивность подтвержденная: человек, мышь
Валидировано для: FCM
FITC Anti-Human/Mouse CD44 Antibody[IM7] (FCE2336)
Источник (хозяин): крыса
Реактивность подтвержденная: человек, мышь
Валидировано для: FCM
Реактивность подтвержденная: человек, мышь
Валидировано для: FCM

