| UNIPROT | P08575 |
Anti-CD45/PTPRC Antibody (R3A99) (RHC34003)
Реактивность подтвержденная:
человек
Источник (хозяин):
мышь
Валидировано для:
IHC
Характеристики
Техническое описание
| Русское название | RHC34003 Моноклональное антитело к CD45/PTPRC (R3A99) <AntibodySystem,Китай> |
| Каталожный номер | RHC34003 |
| Название антигена | Protein Tyrosine Phosphatase Receptor Type C (PTPRC) |
| UNIPROT | P08575 |
| Английские синонимы | CD45, CD 45, CD-45, PTPR-C, LCA, B220, GP180, LY5, T200, Leukocyte common antigen |
| Русские синонимы | Дифференцировочный антиген CD45 и LCA |
Реактивность подтвержденная Нужна другая реактивность? |
человек |
| Источник (хозяин) | мышь |
| Изотип | IgG1 |
| Клональность | моноклональное |
| Клон | R3A99 |
| Рекомбинантное | да |
| Готовое к использованию | нет |
| Концентрация | 1 мг/мл |
| Конъюгат | нет |
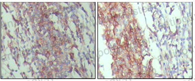
| Валидировано для | IHC Иммуногистохимия |
| Рекомендуемые разведения | IHC: 1:200-1:1000 |
| Метод очистки | Очистка с белками A/G из супернатанта клеточной культуры |
| Чистота | >95% |
| Состав буфера | 0.01M PBS, pH 7.4, 0.05% натрия азид |
| Условия доставки | термобокс с аккумуляторами холода |
| Условия хранения | Хранить при 4°C не более 1-2 недель. Хранить при -20°C - 12 месяцев |
| Срок хранения | 12 месяцев |
| Производитель | AntibodySystem |
| Ссылка на страницу товара на сайте производителя | https://www.antibodysystem.com/product/34781.html |
|
Артикул
|
Наименование |
Производитель
|
|---|
|
Артикул
|
Наименование |
Производитель
|
|---|
|
Артикул
|
Наименование |
Производитель
|
|---|
|
Артикул
|
Наименование |
Производитель
|
|---|
|
Артикул
|
Наименование |
Производитель
|
|---|
Акции и предложения
Популярные продукты:
Anti-Laminin Gamma 2 (LAMC2) Polyclonal Antibody (FAC083Hu03)
Источник (хозяин): кролик
Реактивность подтвержденная: человек
Валидировано для: FCM
Реактивность подтвержденная: человек
Валидировано для: FCM
ELISA Kit DIY Materials for Cluster Of Differentiation 8a (CD8a) (KSB099Mu01)
Организм: мышь
Диапазон определения: 0.156-10 нг/мл
Чувствительность: 0.059 нг/мл
Диапазон определения: 0.156-10 нг/мл
Чувствительность: 0.059 нг/мл
Chicken Neuritin ELISA kit (E12N0599)
Организм: курица

