| UNIPROT | P13987 |
Anti-CD59 Antibody (R3D49) (RHD02501)
Реактивность подтвержденная:
человек
Источник (хозяин):
мышь
Валидировано для:
ELISA
FCM
IF
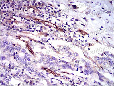
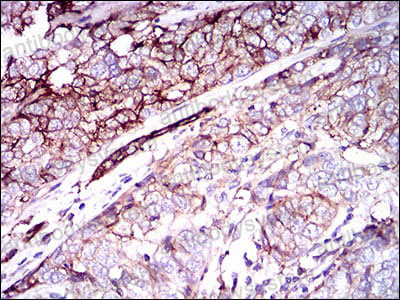
IHC
Характеристики
Техническое описание
| Русское название | RHD02501 Моноклональное антитело к CD59 (R3D49) <AntibodySystem,Китай> |
| Каталожный номер | RHD02501 |
| Название антигена | Protectin (CD59) |
| UNIPROT | P13987 |
| Английские синонимы | CD 59, CD-59, MIC11, MIN1, MIN2, MIN3, MSK21, MAC-IP, MACIF, MIRL, HRF20, Complement Regulatory Protein, 20 kDa homologous restriction factor, Membrane attack complex inhibition factor |
| Русские синонимы | Гликопротеин CD59, ингибитор мембраноатакующего комплекса |
Реактивность подтвержденная Нужна другая реактивность? |
человек |
| Источник (хозяин) | мышь |
| Изотип | IgG1 |
| Клональность | моноклональное |
| Клон | R3D49 |
| Рекомбинантное | да |
| Готовое к использованию | нет |
| Концентрация | 1 мг/мл |
| Конъюгат | нет |
| Валидировано для | ELISA FCM IF IHC Иммуноферментный анализ; Проточная цитометрия; Иммунофлуоресценция; Иммуногистохимия |
| Рекомендуемые разведения | ELISA: 1:10000, FCM: 1:200-1:400, IF: 1:50-1:200, IHC: 1:200-1:1000 |
| Метод очистки | Очистка с белками A/G из супернатанта клеточной культуры |
| Чистота | >95% |
| Состав буфера | 0.01M PBS, pH 7.4, 0.05% натрия азид |
| Условия доставки | термобокс с аккумуляторами холода |
| Условия хранения | Хранить при 4°C не более 1-2 недель. Хранить при -20°C - 12 месяцев |
| Срок хранения | 12 месяцев |
| Производитель | AntibodySystem |
| Ссылка на страницу товара на сайте производителя | https://www.antibodysystem.com/product/35028.html |
|
Артикул
|
Наименование |
Производитель
|
|---|
|
Артикул
|
Наименование |
Производитель
|
|---|
|
Артикул
|
Наименование |
Производитель
|
|---|
|
Артикул
|
Наименование |
Производитель
|
|---|
|
Артикул
|
Наименование |
Производитель
|
|---|
|
Артикул
|
Наименование |
Производитель
|
|---|
|
Артикул
|
Наименование |
Производитель
|
|---|
Акции и предложения
Популярные продукты:
Mouse Keyhole limpet hemocyanin ELISA kit (E03K0068)
Организм: мышь
Диапазон определения: 0.5-10 нг/мл
Чувствительность: 0.1 нг/мл
Диапазон определения: 0.5-10 нг/мл
Чувствительность: 0.1 нг/мл
Mouse Phenylalanine Hydroxylase ELISA kit (E03P1249)
Организм: мышь
Mouse Growth Regulated Oncogene β ELISA kit (E03G0261)
Организм: мышь
Mouse Islet amyloid polypeptide ELISA kit (E03I0321)
Организм: мышь
Anti-Human ARHGDIA Polyclonal Antibody (PHE92301)
Источник (хозяин): кролик
Реактивность подтвержденная: человек
Валидировано для: ELISA, IHC, WB
Реактивность подтвержденная: человек
Валидировано для: ELISA, IHC, WB
Anti-Human ATP5F1B Polyclonal Antibody (PHC20301)
Источник (хозяин): кролик
Реактивность подтвержденная: человек
Валидировано для: ELISA, IHC, WB
Реактивность подтвержденная: человек
Валидировано для: ELISA, IHC, WB

