| UNIPROT | P34810 |
Anti-CD68 Antibody (R3J56) (RHE04901)
Реактивность подтвержденная:
человек, мышь
Источник (хозяин):
мышь
Валидировано для:
IF
IHC
Характеристики
Техническое описание
| Русское название | RHE04901 Моноклональное антитело к CD68 (R3J56) <AntibodySystem,Китай> |
| Каталожный номер | RHE04901 |
| Название антигена | Scavenger Receptor Class D Member 1 (SCARD1) |
| UNIPROT | P34810 |
| Английские синонимы | CD-68, CD 68, CD68, GP110, Macrosialin, Macrophage Antigen CD68 |
| Русские синонимы | Макросиалин |
Реактивность подтвержденная Нужна другая реактивность? |
человек, мышь |
| Источник (хозяин) | мышь |
| Изотип | IgG1 |
| Клональность | моноклональное |
| Клон | R3J56 |
| Рекомбинантное | да |
| Готовое к использованию | нет |
| Концентрация | 1 мг/мл |
| Конъюгат | нет |
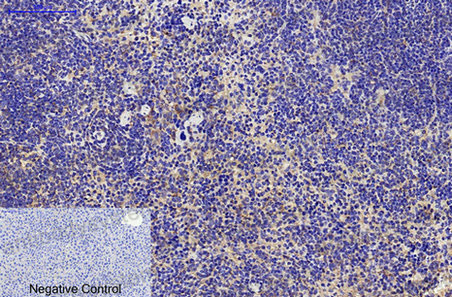
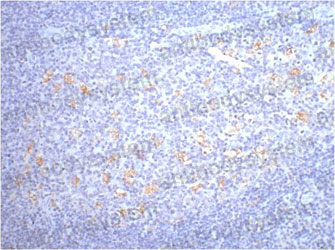
| Валидировано для | IF IHC Иммунофлуоресценция; Иммуногистохимия |
| Рекомендуемые разведения | IF: 1:50-1:200, IHC: 1:50-1:100 |
| Метод очистки | Очистка с белками A/G из супернатанта клеточной культуры |
| Чистота | >95% |
| Состав буфера | 0.01M PBS, pH 7.4, 0.5% БСА, 0.05% натрия азид,50% глицерин |
| Условия хранения | Хранить при 4°C не более 1-2 недель. Хранить при -20°C - 12 месяцев |
| Срок хранения | 12 месяцев |
| Производитель | AntibodySystem |
| Ссылка на страницу товара на сайте производителя | https://www.antibodysystem.com/product/35530.html |
|
Артикул
|
Наименование |
Производитель
|
|---|
|
Артикул
|
Наименование |
Производитель
|
|---|
|
Артикул
|
Наименование |
Производитель
|
|---|
|
Артикул
|
Наименование |
Производитель
|
|---|
|
Артикул
|
Наименование |
Производитель
|
|---|
|
Артикул
|
Наименование |
Производитель
|
|---|
Акции и предложения
Популярные продукты:
Canine Interleukin 33 ELISA kit (E08I0204)
Организм: собака
Goat Interleukin 33 ELISA kit (E06I0204)
Организм: коза
Biotin-Linked Monoclonal Antibody to Interleukin 33 (IL33) (LAB980Hu76)
Источник (хозяин): мышь
Реактивность подтвержденная: человек
Валидировано для: IHC, WB
Реактивность подтвержденная: человек
Валидировано для: IHC, WB
Polyclonal Antibody to Interleukin 33 (IL33) (PAB980Mu01)
Источник (хозяин): кролик
Реактивность подтвержденная: мышь
Валидировано для: WB
Реактивность подтвержденная: мышь
Валидировано для: WB
Sheep Interleukin 33 ELISA kit (E14I0204)
Организм: овца

