| UNIPROT | P30203 |
Anti-CD6 Antibody (R3H95) (RHD87601)
Реактивность подтвержденная:
человек
Источник (хозяин):
мышь
Валидировано для:
ELISA
FCM
IF
IHC
Характеристики
Техническое описание
| Русское название | RHD87601 Моноклональное антитело к CD6 (R3H95) <AntibodySystem,Китай> |
| Каталожный номер | RHD87601 |
| Название антигена | Cluster Of Differentiation 6 (CD6) |
| UNIPROT | P30203 |
| Английские синонимы | CD-6, CD 6, TP120, T12, T-cell differentiation antigen CD6 |
| Русские синонимы | Кластер дифференцировки 6 |
Реактивность подтвержденная Нужна другая реактивность? |
человек |
| Источник (хозяин) | мышь |
| Изотип | IgG2b |
| Клональность | моноклональное |
| Клон | R3H95 |
| Рекомбинантное | да |
| Готовое к использованию | нет |
| Концентрация | 1 мг/мл |
| Конъюгат | нет |
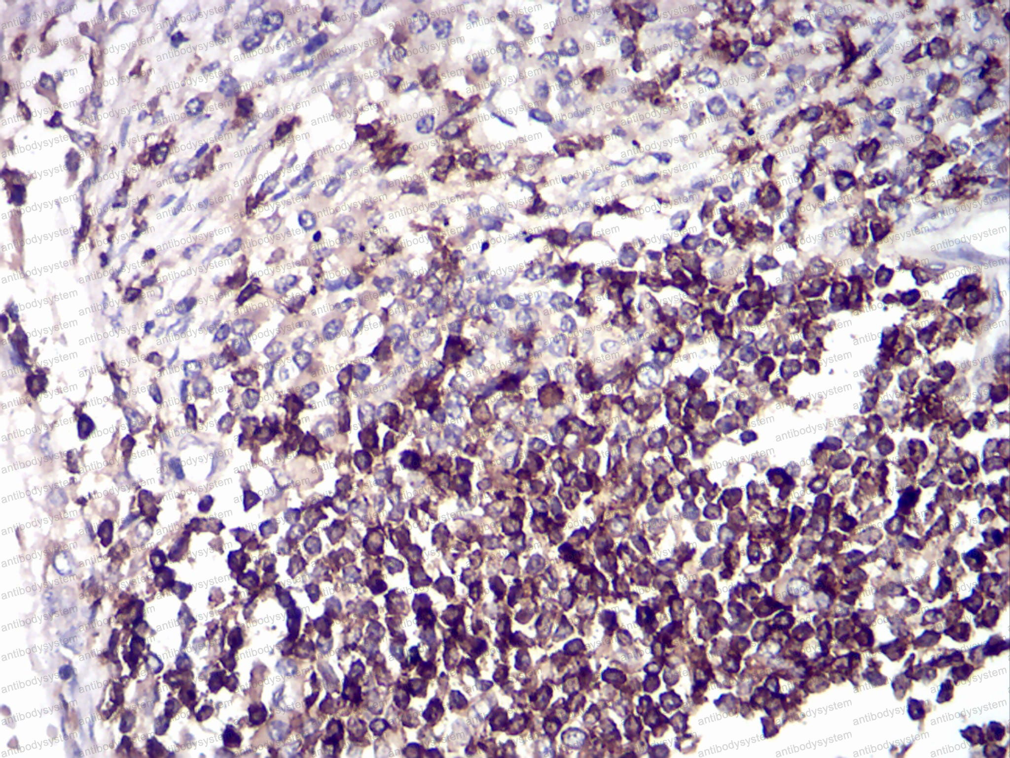
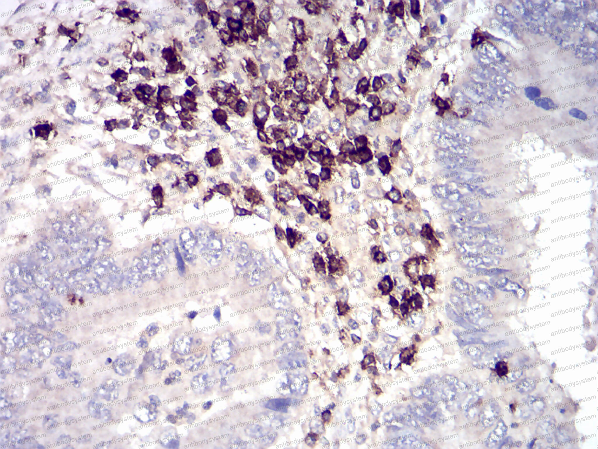
| Валидировано для | ELISA FCM IF IHC Иммуноферментный анализ; Проточная цитометрия; Иммунофлуоресценция; Иммуногистохимия |
| Рекомендуемые разведения | ELISA: 1:10000, FCM: 1:200-1:400, IF: 1:200-1:1000, IHC: 1:200-1:1000 |
| Метод очистки | Очистка с белками A/G из супернатанта клеточной культуры |
| Чистота | >95% |
| Состав буфера | 0.01M PBS, pH 7.4, 0.05% натрия азид |
| Условия хранения | Хранить при 4°C не более 1-2 недель. Хранить при -20°C - 12 месяцев |
| Срок хранения | 12 месяцев |
| Производитель | AntibodySystem |
| Ссылка на страницу товара на сайте производителя | https://www.antibodysystem.com/product/35470.html |
|
Артикул
|
Наименование |
Производитель
|
|---|
|
Артикул
|
Наименование |
Производитель
|
|---|
|
Артикул
|
Наименование |
Производитель
|
|---|
Акции и предложения
Популярные продукты:
Porcine Lymphocyte antigen 86 ELISA kit (E07L1200)
Организм: свинья
Guinea Pig Progesterone receptor membrane component 2 ELISA kit (E05P1255)
Организм: морская свинка
Monkey Carboxypeptidase E(CPE) ELISA kit (E09C1997)
Организм: обезьяна
Canine 40S ribosomal protein S9(RPS9) ELISA kit (E08R0152)
Организм: собака
Mouse Prolactin Inducible Protein ELISA kit (E03P0010)
Организм: мышь
Bovine P selectin ELISA kit (E11P0111)
Организм: корова
Диапазон определения: 2.5-50 нг/мл
Чувствительность: 0.1 нг/мл
Диапазон определения: 2.5-50 нг/мл
Чувствительность: 0.1 нг/мл

