| UNIPROT | P32970 |
Anti-CD70 Antibody (R3J48) (RHE01902)
Реактивность подтвержденная:
человек
Источник (хозяин):
мышь
Валидировано для:
IHC
Характеристики
Техническое описание
| Русское название | RHE01902 Моноклональное антитело к CD70 (R3J48) <AntibodySystem,Китай> |
| Каталожный номер | RHE01902 |
| Название антигена | Tumor Necrosis Factor Ligand Superfamily, Member 7 (TNFSF7) |
| UNIPROT | P32970 |
| Английские синонимы | CD70, CD 70, CD-70, CD27L, CD27LG, TNFSF7, CD27 Ligand |
Реактивность подтвержденная Нужна другая реактивность? |
человек |
| Источник (хозяин) | мышь |
| Изотип | IgG2b |
| Клональность | моноклональное |
| Клон | R3J48 |
| Рекомбинантное | да |
| Готовое к использованию | нет |
| Концентрация | 1 мг/мл |
| Конъюгат | нет |
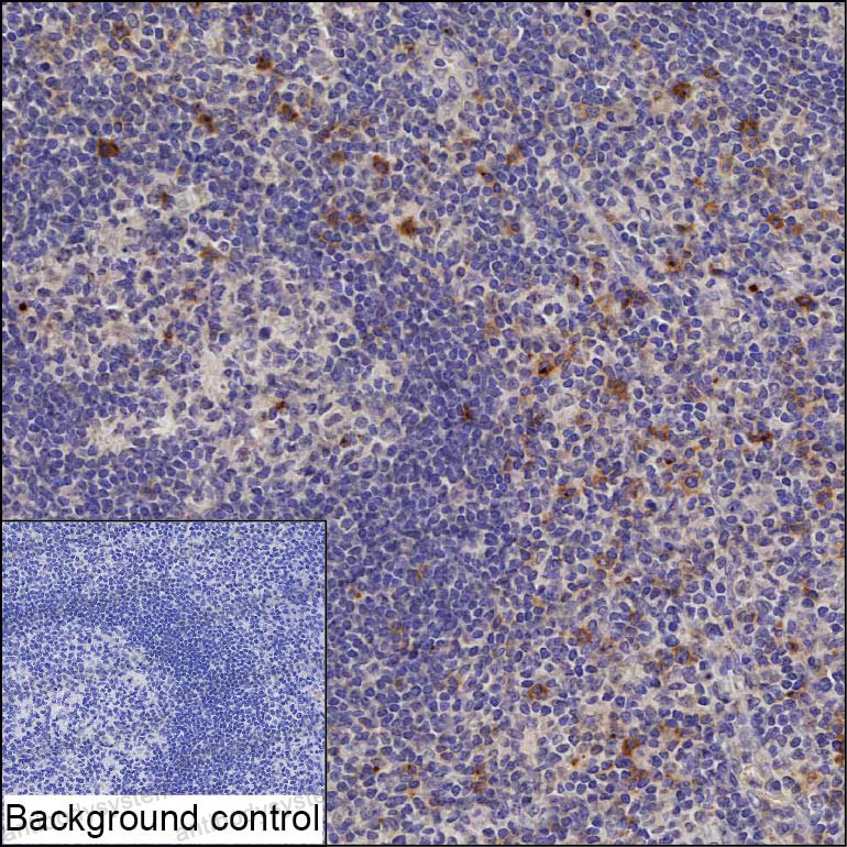
| Валидировано для | IHC Иммуногистохимия |
| Рекомендуемые разведения | IHC: 1:20-1:100 |
| Метод очистки | Очистка с белками A/G из супернатанта клеточной культуры |
| Чистота | >95% |
| Состав буфера | 0.01M PBS, pH 7.4, 0.05% натрия азид |
| Условия хранения | Хранить при 4°C не более 1-2 недель. Хранить при -20°C - 12 месяцев |
| Срок хранения | 12 месяцев |
| Производитель | AntibodySystem |
| Ссылка на страницу товара на сайте производителя | https://www.antibodysystem.com/product/35522.html |
|
Артикул
|
Наименование |
Производитель
|
|---|
|
Артикул
|
Наименование |
Производитель
|
|---|
|
Артикул
|
Наименование |
Производитель
|
|---|
|
Артикул
|
Наименование |
Производитель
|
|---|
Акции и предложения
Популярные продукты:
Human AT rich interactive domain containing protein 5B(ARID5B) ELISA kit (E01A1646)
Организм: человек
Диапазон определения: 5-100 нг/мл
Чувствительность: 1 нг/мл
Диапазон определения: 5-100 нг/мл
Чувствительность: 1 нг/мл
Guinea Pig Cdc42 effector protein 5(CDC42EP5) ELISA kit (E05C1519)
Организм: морская свинка
Rat Adrenocorticotropic Hormone receptor ELISA kit (E02A0016)
Организм: крыса
Anti-CD70 Antibody (R3J48) (RHE01902)
Источник (хозяин): мышь
Реактивность подтвержденная: человек
Валидировано для: IHC
Реактивность подтвержденная: человек
Валидировано для: IHC
Anti-Human CD70 Antibody (27B3), PerCP (FHE01914)
Источник (хозяин): мышь
Реактивность подтвержденная: человек
Валидировано для: FCM
Реактивность подтвержденная: человек
Валидировано для: FCM

