| UNIPROT | P11912 |
Anti-CD79α/CD79A Antibody (R3C74) (RHC91003)
Реактивность подтвержденная:
человек
Источник (хозяин):
мышь
Валидировано для:
ELISA
FCM
IF
IHC
Характеристики
Техническое описание
| Русское название | RHC91003 Моноклональное антитело к CD79α/CD79A (R3C74) <AntibodySystem,Китай> |
| Каталожный номер | RHC91003 |
| Название антигена | Immunoglobulin Associated Alpha (Iga) |
| UNIPROT | P11912 |
| Английские синонимы | CD79a, CD 79a, CD-79a, MB-1, Membrane-bound immunoglobulin-associated protein, B-cell antigen receptor complex-associated protein alpha chain, MB-1 membrane glycoprotein |
| Русские синонимы | Кластер дифференцировки 79А, Белок, комплекс-ассоциированный с рецептором антигена В-клеток |
Реактивность подтвержденная Нужна другая реактивность? |
человек |
| Источник (хозяин) | мышь |
| Изотип | IgG1 |
| Клональность | моноклональное |
| Клон | R3C74 |
| Рекомбинантное | да |
| Готовое к использованию | нет |
| Концентрация | 1 мг/мл |
| Конъюгат | нет |
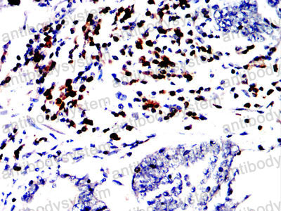
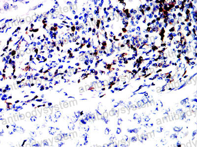
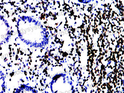
| Валидировано для | ELISA FCM IF IHC Иммуноферментный анализ; Проточная цитометрия; Иммунофлуоресценция; Иммуногистохимия |
| Рекомендуемые разведения | ELISA: 1:10000, FCM: 1:200-1:400, IF: 1:200-1:1000, IHC: 1:200-1:1000 |
| Метод очистки | Очистка с белками A/G из супернатанта клеточной культуры |
| Чистота | >95% |
| Состав буфера | 0.01M PBS, pH 7.4, 0.05% натрия азид |
| Условия доставки | термобокс с аккумуляторами холода |
| Условия хранения | Хранить при 4°C не более 1-2 недель. Хранить при -20°C - 12 месяцев |
| Срок хранения | 12 месяцев |
| Производитель | AntibodySystem |
| Ссылка на страницу товара на сайте производителя | https://www.antibodysystem.com/product/34954.html |
|
Артикул
|
Наименование |
Производитель
|
|---|
|
Артикул
|
Наименование |
Производитель
|
|---|
|
Артикул
|
Наименование |
Производитель
|
|---|
Акции и предложения
Популярные продукты:
Sheep Prothrombin ELISA kit (E14P0044)
Организм: овца
Goat Prothrombin ELISA kit (E06P0044)
Организм: коза
Rabbit Cyclin H(CCNH) ELISA kit (E04C1160)
Организм: кролик

