| UNIPROT | P04216 |
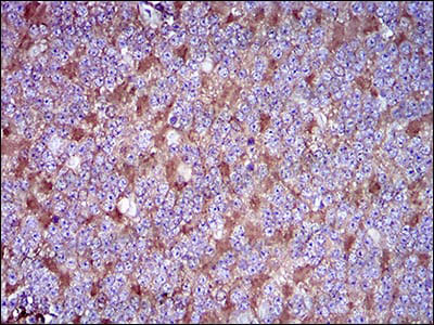
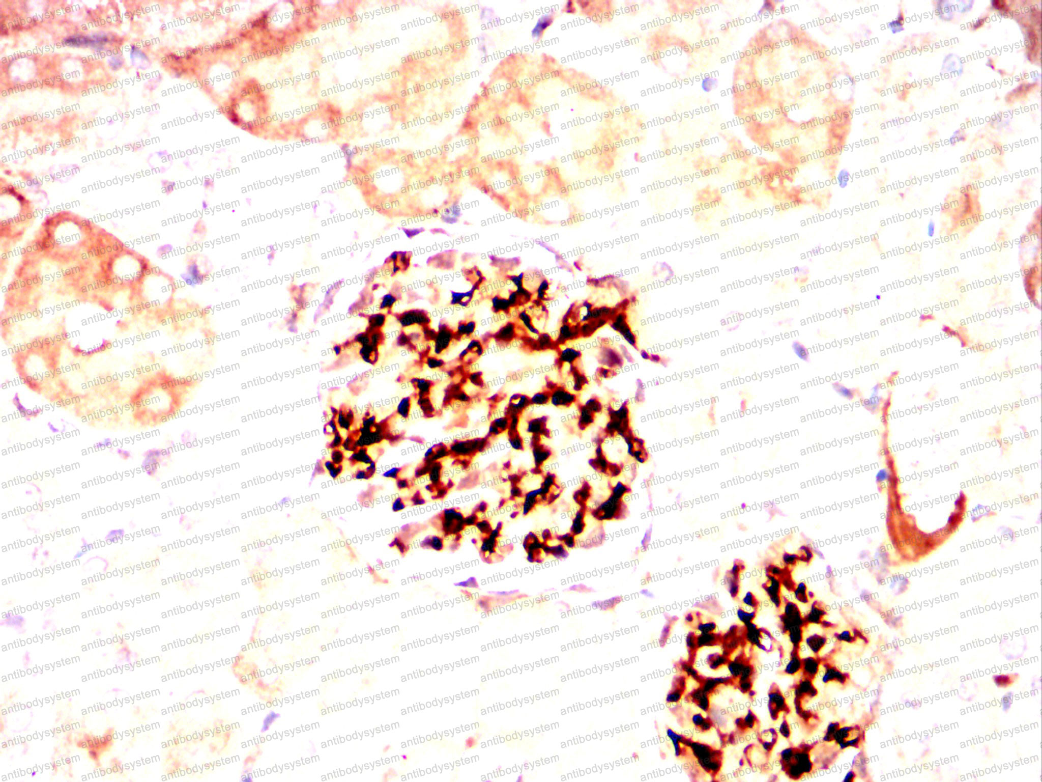
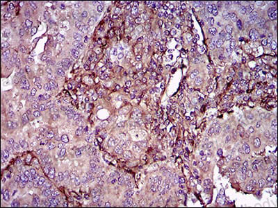
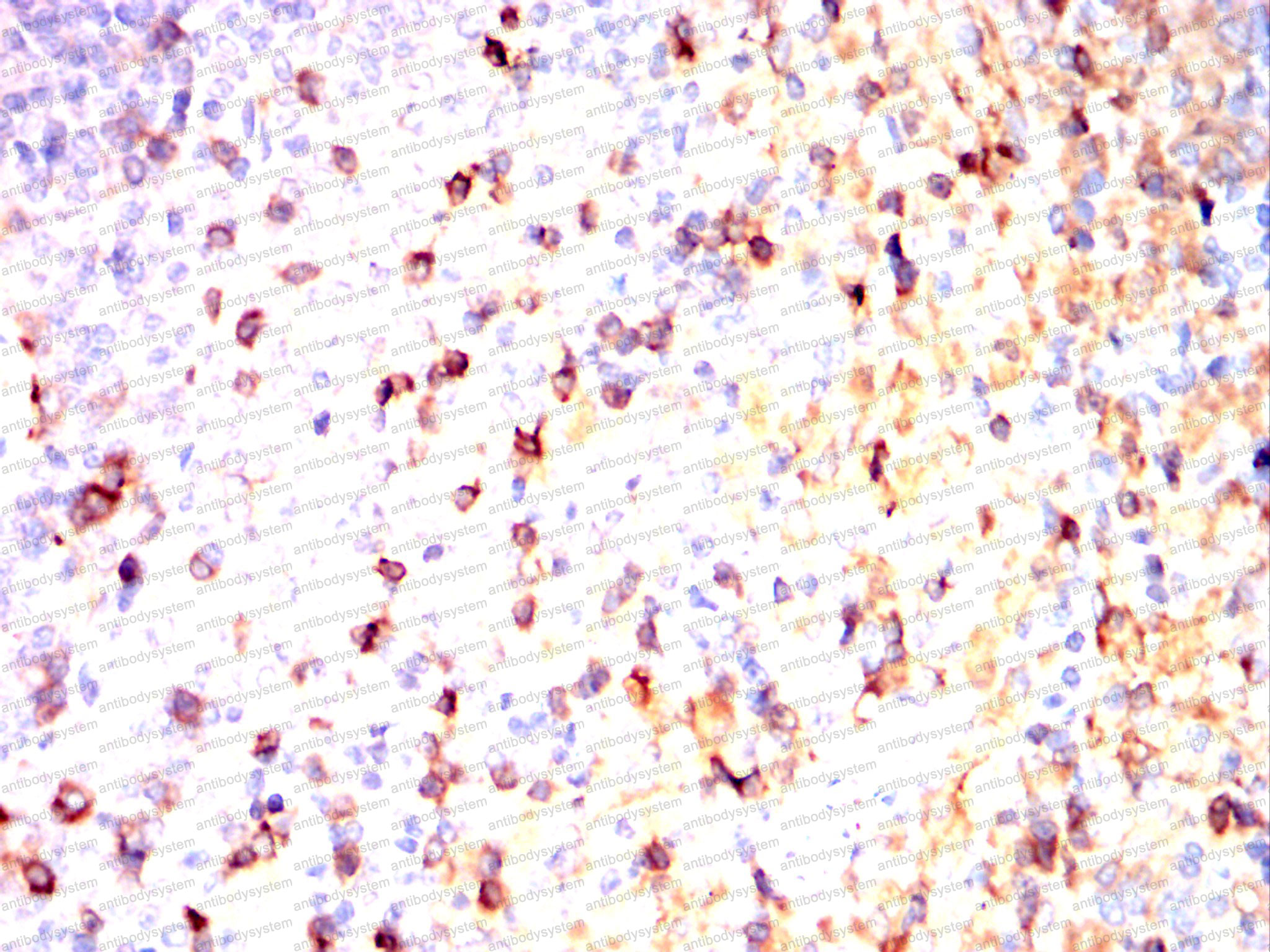
Anti-CD90/THY1 Antibody (R2Y64) (RHC07802)
Реактивность подтвержденная:
человек, крыса
Источник (хозяин):
мышь
Валидировано для:
ELISA
IF
IHC
WB
Характеристики
Техническое описание
| Русское название | RHC07802 Моноклональное антитело к CD90/THY1 (R2Y64) <AntibodySystem,Китай> |
| Каталожный номер | RHC07802 |
| Название антигена | Thy1 Cell Surface Antigen (Thy1) |
| UNIPROT | P04216 |
| Английские синонимы | CD90, CD 90, CD-90, CDw90, THY mocyte differentiation antigen 1 |
| Русские синонимы | Кластер дифференцировки 90 |
Реактивность подтвержденная Нужна другая реактивность? |
человек, крыса |
| Источник (хозяин) | мышь |
| Изотип | IgG1 |
| Клональность | моноклональное |
| Клон | R2Y64 |
| Рекомбинантное | да |
| Готовое к использованию | нет |
| Концентрация | 1 мг/мл |
| Конъюгат | нет |
| Валидировано для | ELISA IF IHC WB Иммуноферментный анализ; Иммунофлуоресценция; Иммуногистохимия; Вестерн-блоттинг |
| Рекомендуемые разведения | ELISA: 1:10000, IF: 1:200-1:1000, IHC: 1:200-1:1000, WB: 1:500-1:2000 |
| Метод очистки | Очистка с белками A/G из супернатанта клеточной культуры |
| Чистота | >95% |
| Состав буфера | 0.01M PBS, pH 7.4, 0.05% натрия азид |
| Условия доставки | термобокс с аккумуляторами холода |
| Условия хранения | Хранить при 4°C не более 1-2 недель. Хранить при -20°C - 12 месяцев |
| Срок хранения | 12 месяцев |
| Производитель | AntibodySystem |
| Ссылка на страницу товара на сайте производителя | https://www.antibodysystem.com/product/34548.html |
|
Артикул
|
Наименование |
Производитель
|
|---|
|
Артикул
|
Наименование |
Производитель
|
|---|
|
Артикул
|
Наименование |
Производитель
|
|---|
|
Артикул
|
Наименование |
Производитель
|
|---|
|
Артикул
|
Наименование |
Производитель
|
|---|
|
Артикул
|
Наименование |
Производитель
|
|---|
|
Артикул
|
Наименование |
Производитель
|
|---|
Акции и предложения
Популярные продукты:
ELISA Kit DIY Materials for ATP Binding Cassette Transporter A1 (ABCA1) (KSB242Mu01)
Организм: мышь
Диапазон определения: 0.156-10 нг/мл
Чувствительность: 0.062 нг/мл
Диапазон определения: 0.156-10 нг/мл
Чувствительность: 0.062 нг/мл
Canine Neuronal Nitric Oxide Synthase ELISA kit (E08N0069)
Организм: собака
Anti-Fentanyl Antibody (F9.6) (RGK12905)
Источник (хозяин): мышь
Реактивность подтвержденная: для всех
Валидировано для: ELISA
Реактивность подтвержденная: для всех
Валидировано для: ELISA
Anti-CD90/THY1 Antibody (R2Y64) (RHC07802)
Источник (хозяин): мышь
Реактивность подтвержденная: человек, крыса
Валидировано для: ELISA, IF, IHC, WB
Реактивность подтвержденная: человек, крыса
Валидировано для: ELISA, IF, IHC, WB
Anti-CYB5R3 Antibody (R1H11) (RHB85402)
Источник (хозяин): кролик
Реактивность подтвержденная: человек, крыса
Валидировано для: IHC, WB
Реактивность подтвержденная: человек, крыса
Валидировано для: IHC, WB

