| UNIPROT | P11802 |
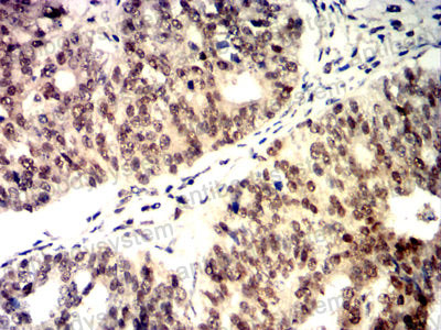
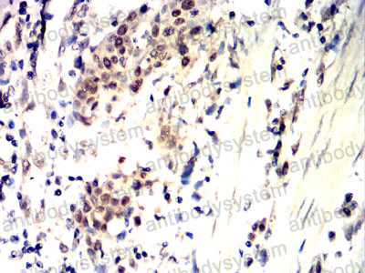
Anti-CDK4 Antibody (R3C70) (RHC90505)
Реактивность подтвержденная:
человек
Источник (хозяин):
мышь
Валидировано для:
ELISA
FCM
IF
IHC
Характеристики
Техническое описание
| Русское название | RHC90505 Моноклональное антитело к CDK4 (R3C70) <AntibodySystem,Китай> |
| Каталожный номер | RHC90505 |
| Название антигена | Cyclin Dependent Kinase 4 (CDK4) |
| UNIPROT | P11802 |
| Английские синонимы | CMM3, PSK-J3, Cell division protein kinase 4 |
Реактивность подтвержденная Нужна другая реактивность? |
человек |
| Источник (хозяин) | мышь |
| Изотип | IgG1 |
| Клональность | моноклональное |
| Клон | R3C70 |
| Рекомбинантное | да |
| Готовое к использованию | нет |
| Концентрация | 1 мг/мл |
| Конъюгат | нет |
| Валидировано для | ELISA FCM IF IHC Иммуноферментный анализ; Проточная цитометрия; Иммунофлуоресценция; Иммуногистохимия |
| Рекомендуемые разведения | ELISA: 1:10000, FCM: 1:200-1:400, IF: 1:200-1:1000, IHC: 1:200-1:1000 |
| Метод очистки | Очистка с белками A/G из супернатанта клеточной культуры |
| Чистота | >95% |
| Состав буфера | 0.01M PBS, pH 7.4, 0.05% натрия азид |
| Условия доставки | термобокс с аккумуляторами холода |
| Условия хранения | Хранить при 4°C не более 1-2 недель. Хранить при -20°C - 12 месяцев |
| Срок хранения | 12 месяцев |
| Производитель | AntibodySystem |
| Ссылка на страницу товара на сайте производителя | https://www.antibodysystem.com/product/34950.html |
|
Артикул
|
Наименование |
Производитель
|
|---|
|
Артикул
|
Наименование |
Производитель
|
|---|
|
Артикул
|
Наименование |
Производитель
|
|---|
|
Артикул
|
Наименование |
Производитель
|
|---|
|
Артикул
|
Наименование |
Производитель
|
|---|
|
Артикул
|
Наименование |
Производитель
|
|---|
Акции и предложения
Популярные продукты:
Porcine Galectin 3 ELISA kit (E07G0052)
Организм: свинья
Диапазон определения: 0.5-10 нг/мл
Чувствительность: 0.1 нг/мл
Диапазон определения: 0.5-10 нг/мл
Чувствительность: 0.1 нг/мл
Anti-MSLN/Mesothelin Antibody (R3S43) (RHG52004)
Источник (хозяин): мышь
Реактивность подтвержденная: человек
Валидировано для: ELISA, FCM
Реактивность подтвержденная: человек
Валидировано для: ELISA, FCM
Anti-MSLN/Mesothelin Antibody (R3S42) (RHG52003)
Источник (хозяин): мышь
Реактивность подтвержденная: человек, обезьяна
Валидировано для: ELISA, FCM, WB
Реактивность подтвержденная: человек, обезьяна
Валидировано для: ELISA, FCM, WB
Anti-LGALS3/Galectin-3 Antibody (R3E89) (RHD27111)
Источник (хозяин): мышь
Реактивность подтвержденная: человек, мышь
Валидировано для: IF, IHC, WB
Реактивность подтвержденная: человек, мышь
Валидировано для: IF, IHC, WB
Anti-CDK4 Antibody (R3C70) (RHC90505)
Источник (хозяин): мышь
Реактивность подтвержденная: человек
Валидировано для: ELISA, FCM, IF, IHC
Реактивность подтвержденная: человек
Валидировано для: ELISA, FCM, IF, IHC
OxLDL Monoclonal Antibody(Capture) (AN001320P)
Источник (хозяин): мышь
Реактивность подтвержденная: человек
Валидировано для: ELISA
Реактивность подтвержденная: человек
Валидировано для: ELISA

