| UNIPROT | P11802 |
Anti-CDK4 Antibody (R3C71) (RHC90506)
Реактивность подтвержденная:
человек, мышь, обезьяна
Источник (хозяин):
мышь
Валидировано для:
ELISA
FCM
IHC
WB
Характеристики
Техническое описание
| Русское название | RHC90506 Моноклональное антитело к CDK4 (R3C71) <AntibodySystem,Китай> |
| Каталожный номер | RHC90506 |
| Название антигена | Cyclin Dependent Kinase 4 (CDK4) |
| UNIPROT | P11802 |
| Английские синонимы | CMM3, PSK-J3, Cell division protein kinase 4 |
Реактивность подтвержденная Нужна другая реактивность? |
человек, мышь, обезьяна |
| Источник (хозяин) | мышь |
| Изотип | IgG2a |
| Клональность | моноклональное |
| Клон | R3C71 |
| Рекомбинантное | да |
| Готовое к использованию | нет |
| Концентрация | 1 мг/мл |
| Конъюгат | нет |
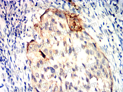
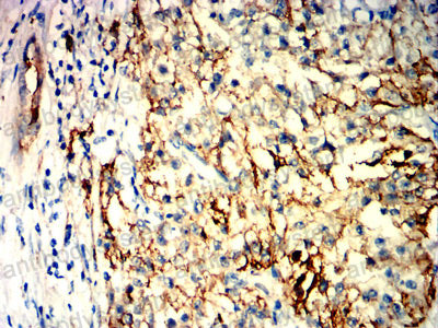
| Валидировано для | ELISA FCM IHC WB Иммуноферментный анализ; Проточная цитометрия; Иммуногистохимия; Вестерн-блоттинг |
| Рекомендуемые разведения | ELISA: 1:10000, FCM: 1:200-1:400, IHC: 1:200-1:1000, WB: 1:500-1:2000 |
| Метод очистки | Очистка с белками A/G из супернатанта клеточной культуры |
| Чистота | >95% |
| Состав буфера | 0.01M PBS, pH 7.4, 0.05% натрия азид |
| Условия доставки | термобокс с аккумуляторами холода |
| Условия хранения | Хранить при 4°C не более 1-2 недель. Хранить при -20°C - 12 месяцев |
| Срок хранения | 12 месяцев |
| Производитель | AntibodySystem |
| Ссылка на страницу товара на сайте производителя | https://www.antibodysystem.com/product/34951.html |
|
Артикул
|
Наименование |
Производитель
|
|---|
|
Артикул
|
Наименование |
Производитель
|
|---|
|
Артикул
|
Наименование |
Производитель
|
|---|
|
Артикул
|
Наименование |
Производитель
|
|---|
|
Артикул
|
Наименование |
Производитель
|
|---|
Акции и предложения
Популярные продукты:
Bovine Cystinosin(CTNS) ELISA kit (E11C2155)
Организм: корова
Human Phosphatidylinositol 3 kinase ELISA kit (E01P0185)
Организм: человек
Диапазон определения: 2.5-50 нг/мл
Чувствительность: 0.1 нг/мл
Диапазон определения: 2.5-50 нг/мл
Чувствительность: 0.1 нг/мл
Mouse Triosephosphate isomerase(TPI1) ELISA kit (E03T0727)
Организм: мышь
Canine F box only protein 7(FBXO7) ELISA kit (E08F0308)
Организм: собака
Canine Hyaluronan Binding Protein 2 ELISA kit (E08H1456)
Организм: собака
Rat Deoxyribonuclease-1(DNASE1) ELISA kit (E02D0290)
Организм: крыса

